• Tel: 858.663.9055
  • SeparatorEmail: info@nsjbio.com
  • Tel: 858.663.9055
  • Email: info@nsjbio.com
Home >> Antibodies >> OLIG2 Antibody for IHC / Oligodendrocyte Lineage Marker Antibody

OLIG2 Antibody for IHC / Oligodendrocyte Lineage Marker Antibody [clone OLIG2/6695R] (V9366)

  Catalog No Formulation Size Price (USD)  
Image V9366-100UG 0.2 mg/ml in 1X PBS with 0.1 mg/ml BSA (US sourced), 0.05% sodium azide 100 ug 559
Image
V9366-20UG 0.2 mg/ml in 1X PBS with 0.1 mg/ml BSA (US sourced), 0.05% sodium azide 20 ug 259
Image
V9366SAF-100UG 1 mg/ml in 1X PBS; BSA free, sodium azide free 100 ug 559
Microvalidated Recrabbitmono
Bulk quote request
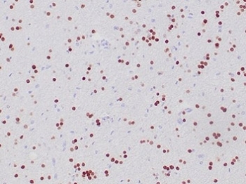
OLIG2 Antibody Oligodendroglioma IHC. Immunohistochemical analysis of Oligodendrocyte transcription factor 2 (OLIG2) in formalin-fixed, paraffin-embedded human oligodendroglioma tissue using OLIG2 antibody clone OLIG2/6695R. Strong nuclear staining is observed in tumor cells distributed throughout the tissue, consistent with oligodendrocyte lineage origin and the role of OLIG2 as a neural lineage transcription factor. The widespread nuclear signal highlights tumor cell populations and supports identification of glial-derived neoplastic cells. Required HIER: boil tissue sections in pH 9 10mM Tris with 1mM EDTA for 20 min and allow to cool before testing.
OLIG2 Antibody Glioma IHC. Immunohistochemical analysis of Oligodendrocyte transcription factor 2 (OLIG2) in formalin-fixed, paraffin-embedded human glioma tissue using OLIG2 antibody clone OLIG2/6695R. Diffuse nuclear staining is observed in tumor cells throughout the section, consistent with OLIG2 expression in glial-derived neoplastic cells and its role as an oligodendrocyte lineage transcription factor. The widespread nuclear signal supports identification of neural lineage tumor populations. Required HIER: boil tissue sections in pH 9 10mM Tris with 1mM EDTA for 20 min and allow to cool before testing.
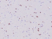
OLIG2 Antibody Cerebellum IHC. Immunohistochemical analysis of Oligodendrocyte transcription factor 2 (OLIG2) in formalin-fixed, paraffin-embedded human cerebellum tissue using OLIG2 antibody clone OLIG2/6695R. Scattered nuclear staining is observed in glial cells within the cerebellar parenchyma, consistent with OLIG2 expression in oligodendrocyte lineage cells. The distribution of positive nuclei reflects normal glial cell populations in brain tissue. Required HIER: boil tissue sections in pH 9 10mM Tris with 1mM EDTA for 20 min and allow to cool before testing.
OLIG2 Antibody Cerebrum IHC. Immunohistochemical analysis of Oligodendrocyte transcription factor 2 (OLIG2) in formalin-fixed, paraffin-embedded human cerebrum tissue using OLIG2 antibody clone OLIG2/6695R. Scattered nuclear staining is observed in glial cells throughout the cerebral parenchyma, consistent with OLIG2 expression in oligodendrocyte lineage cells. The distribution of positive nuclei reflects normal glial cell populations within brain tissue. Required HIER: boil tissue sections in pH 9 10mM Tris with 1mM EDTA for 20 min and allow to cool before testing.
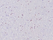
OLIG2 Antibody Brain IHC. Immunohistochemical analysis of Oligodendrocyte transcription factor 2 (OLIG2) in formalin-fixed, paraffin-embedded human brain tissue using OLIG2 antibody clone OLIG2/6695R. Scattered nuclear staining is observed in glial cells within the brain parenchyma, consistent with OLIG2 expression in oligodendrocyte lineage cells. The distribution of positive nuclei reflects normal neural tissue architecture. The antibody was applied at 2 ug/ml in PBS for 30 min at room temperature. Inset: PBS used in place of primary antibody serves as a negative control for secondary antibody binding. Required HIER: boil tissue sections in pH 9 10mM Tris with 1mM EDTA for 20 min and allow to cool before testing.
Availability 1-3 business days
Species Reactivity Human
Format Purified
Host Rabbit
Clonality Recombinant Rabbit Monoclonal
Isotype Rabbit IgG, kappa
Clone Name OLIG2/6695R
Purity Protein A/G affinity
UniProt Q13516
Localization Nucleus, Cytoplasm
Applications Immunohistochemistry (FFPE) : 1-2ug/ml
Limitations This OLIG2 Antibody for IHC / Oligodendrocyte Lineage Marker Antibody is available for research use only.
Review this product on BioCompare and get a $20 Amazon gift card

Related Products

Description

Oligodendrocyte transcription factor 2 (OLIG2) is a basic helix-loop-helix transcription factor that functions as a master regulator of neural lineage specification and oligodendrocyte development within the central nervous system. OLIG2 is predominantly localized to the nucleus of neural progenitor cells and oligodendrocyte precursor cells, where it controls transcriptional programs that govern proliferation, differentiation, and lineage commitment. The OLIG2 Antibody for IHC is designed to detect this nuclear transcription factor in tissue sections, providing clear and interpretable nuclear staining for identification of oligodendrocyte lineage cells and neural-derived tumor populations.

OLIG2 antibody, also referred to as Oligodendrocyte transcription factor 2 antibody in the literature, recognizes a protein that is highly enriched in brain tissue and selectively expressed in oligodendrocyte lineage cells and subsets of neural progenitors. In immunohistochemistry, OLIG2 is characteristically observed as strong nuclear staining, allowing precise localization of positive cells within complex tissue architecture. This distinct nuclear pattern provides a reliable readout for identifying oligodendroglial cells and distinguishing neural lineage populations in both normal and diseased tissue.

Structurally, OLIG2 contains a conserved basic helix-loop-helix domain that mediates DNA binding and dimerization, enabling it to regulate gene expression programs critical for neural development. Its activity is tightly controlled by post-translational modifications, including phosphorylation, which influence its transcriptional activity, stability, and subcellular localization. These regulatory mechanisms allow OLIG2 to dynamically control cell fate decisions during development and in response to cellular signaling cues.

Functionally, OLIG2 plays a pivotal role in directing neural progenitor cells toward oligodendrocyte and motor neuron lineages, making it essential for proper central nervous system development and myelination. It also contributes to the maintenance of progenitor-like states in certain cell populations, supporting ongoing tissue homeostasis. In adult brain tissue, OLIG2 expression marks oligodendrocyte lineage cells and provides insight into myelination status and neural cell composition.

OLIG2 is also a well-established marker in brain tumor biology, particularly in gliomas, where it is expressed in tumor cells and associated with proliferative capacity and lineage identity. Immunohistochemical detection of OLIG2 provides valuable information for identifying tumor cell populations of glial origin and assessing differentiation status. Its consistent nuclear staining pattern makes it especially useful for evaluating tumor architecture and cellular composition in tissue sections.

Clone OLIG2/6695R is a recombinant rabbit monoclonal antibody designed to detect OLIG2 with high specificity and sensitivity in immunohistochemistry applications. Its ability to generate strong, well-defined nuclear staining in tissue sections provides a robust and reliable tool for studies of neural development, oligodendrocyte biology, and central nervous system tumor research.

This antibody is part of a broader antibody panel offered by NSJ Bioreagents.

Application Notes

Optimal dilution of the OLIG2 Antibody for IHC / Oligodendrocyte Lineage Marker Antibody should be determined by the researcher.

Immunogen

A portion of amino acids 200-300 was used as the immunogen for the recombinant OLIG2 antibody.

Storage

Aliquot the OLIG2 antibody and store frozen at -20oC or colder. Avoid repeated freeze-thaw cycles.

Alternate Names

OLIG2 antibody, Oligodendrocyte transcription factor 2 antibody, OLIG2 IHC antibody, OLIG2 neural marker antibody, OLIG2 glioma marker antibody

Cross
Bulk Quote Request Form
Name*:
Organization*:
Email*:
Phone Number*:
Catalog No.*:
Comments and Specifics(amount, formulation, etc.)*:
Validation code: Captchapackage Image


Can't read the image? click here to refresh.
    *required field

Your bulk quote request has been submitted successfully!

Please contact us if you have any questions.