• Tel: 858.663.9055
  • SeparatorEmail: info@nsjbio.com
  • Tel: 858.663.9055
  • Email: info@nsjbio.com
Home >> Antibodies >> Recombinant Nuclear Marker Antibody

Recombinant Nuclear Marker Antibody [clone NM2984R] (V7504)

  Catalog No Formulation Size Price (USD)  
Image V7504-100UG 0.2 mg/ml in 1X PBS with 0.1 mg/ml BSA (US sourced) and 0.05% sodium azide 100 ug 559
Image
V7504-20UG 0.2 mg/ml in 1X PBS with 0.1 mg/ml BSA (US sourced) and 0.05% sodium azide 20 ug 259
Image
V7504SAF-100UG 1 mg/ml in 1X PBS; BSA free, sodium azide free 100 ug 559
Image
V7504IHC-7ML Prediluted in 1X PBS with 0.1 mg/ml BSA (US sourced) and 0.05% sodium azide; *For IHC use only* 7 ml 559
Microvalidated Recrabbitmono
Bulk quote request
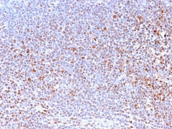
IHC staining of FFPE human tonsil with Nuclear Marker antibody (clone NM2984R). HIER: boil tissue sections in pH6, 10mM citrate buffer, for 10-20 min and allow to cool prior to testing.
IHC staining of FFPE human tonsil with Nuclear Marker antibody (clone NM2984R). HIER: boil tissue sections in pH6, 10mM citrate buffer, for 10-20 min and allow to cool prior to testing.
SDS-PAGE analysis of purified, BSA-free recombinant Nuclear Marker antibody (clone NM2984R) as confirmation of integrity and purity.
Availability 1-3 business days
Species Reactivity Human
Format Purified
Host Rabbit
Clonality Recombinant Rabbit Monoclonal
Isotype Rabbit IgG, kappa
Clone Name NM2984R
Purity Protein G affinity chromatography
Localization Nuclei
Applications Immunohistochemistry (FFPE) : 0.25-0.5ug/ml for 30 min at RT
Limitations This recombinant Nuclear Marker antibody is available for research use only.
Review this product on BioCompare and get a $20 Amazon gift card

Related Products

Description

This MAb is an excellent marker for all nuclei in cells in tissues. It is a part of a new panel of reagents, which recognizes subcellular organelles or compartments of cells. These markers may be useful in identification of these organelles in cells, tissues, and biochemical preparations. This MAb recognizes an antigen associated with the nuclei in all cells. It can be used to stain the nuclei in cell or tissue preparations and can be used as a nuclear marker in subcellular fractions. It produces a speckled pattern in normal and malignant cells.

Application Notes

Optimal dilution of the recombinant Nuclear Marker antibody should be determined by the researcher.

1. The prediluted format is supplied in a dropper bottle and is optimized for use in IHC. After epitope retrieval step (if required), drip mAb solution onto the tissue section and incubate at RT for 30 min.

Immunogen

Nuclei of HL60 cells were used as the immunogen for the recombinant Nuclear Marker antibody.

Storage

Store the recombinant Nuclear Marker antibody at 2-8oC (with azide) or aliquot and store at -20oC or colder (without azide).

Cross
Bulk Quote Request Form
Name*:
Organization*:
Email*:
Phone Number*:
Catalog No.*:
Comments and Specifics(amount, formulation, etc.)*:
Validation code: Captchapackage Image


Can't read the image? click here to refresh.
    *required field

Your bulk quote request has been submitted successfully!

Please contact us if you have any questions.