• Tel: 858.663.9055
  • SeparatorEmail: info@nsjbio.com
  • Tel: 858.663.9055
  • Email: info@nsjbio.com
Home >> Antibodies >> NKX2.1 Antibody / Forebrain Thyroid Development Marker Antibody

NKX2.1 Antibody / Forebrain Thyroid Development Marker Antibody [clone NX2.1/1855R] (V3655)

  Catalog No Formulation Size Price (USD)  
Image V3655-100UG 0.2 mg/ml in 1X PBS with 0.1 mg/ml BSA (US sourced) and 0.05% sodium azide 100 ug 559
Image
V3655-20UG 0.2 mg/ml in 1X PBS with 0.1 mg/ml BSA (US sourced) and 0.05% sodium azide 20 ug 259
Image
V3655SAF-100UG 1 mg/ml in 1X PBS; BSA free, sodium azide free 100 ug 559
Image
V3655IHC-7ML Prediluted in 1X PBS with 0.1 mg/ml BSA (US sourced) and 0.05% sodium azide; *For IHC use only* 7 ml 559
Microvalidated Recrabbitmono
Bulk quote request
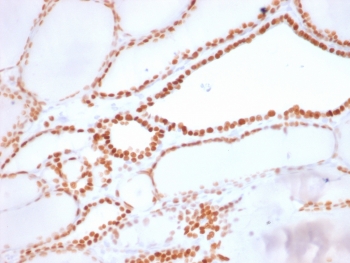
NKX2.1 Antibody / Forebrain Thyroid Development Marker Antibody (clone NX2.1/1855R). Immunohistochemistry analysis of human thyroid tissue. FFPE human thyroid sections demonstrate strong HRP-DAB brown nuclear staining in thyroid follicular epithelial cells lining the thyroid follicles, consistent with expression of the NKX2.1 developmental homeobox transcription factor. The nuclear staining pattern highlights NKX2.1 as a transcription factor involved in thyroid organogenesis and early thyroid epithelial lineage specification. Positive nuclei are distributed throughout follicular epithelial cells surrounding colloid-filled follicles, reflecting transcriptional programs associated with thyroid developmental regulation. This staining pattern is consistent with NKX2.1 activity as a marker of thyroid developmental lineage identity. Surrounding stromal elements show minimal staining. Required HIER: boil tissue sections in pH6, 10mM citrate buffer, for 10-20 minutes followed by cooling at room temperature for 20 minutes prior to antibody incubation.
NKX2.1 Antibody / Forebrain Thyroid Development Marker Antibody (clone NX2.1/1855R). Immunohistochemistry analysis of human lung adenocarcinoma tissue. FFPE human lung adenocarcinoma sections demonstrate strong HRP-DAB brown nuclear staining in tumor epithelial cells, consistent with expression of the NKX2.1 developmental homeobox transcription factor that participates in early lineage specification programs shared between lung and thyroid developmental pathways. Positive tumor cell nuclei are distributed throughout the carcinoma cell population, reflecting transcriptional programs associated with NKX2.1-mediated developmental regulation of epithelial lineage identity. The nuclear staining pattern highlights the role of NKX2.1 as a developmental transcription factor originally characterized in studies of ventral forebrain patterning and thyroid organogenesis. Surrounding stromal cells and non-epithelial elements show minimal staining. Required HIER: boil tissue sections in pH6, 10mM citrate buffer, for 10-20 minutes followed by cooling at room temperature for 20 minutes prior to antibody incubation.
SDS-PAGE analysis of purified, BSA-free recombinant NKX2.1 antibody (clone NX2.1/1855R) as confirmation of integrity and purity.
Availability 1-3 business days
Species Reactivity Human, Mouse, and Rat
Format Purified
Host Rabbit
Clonality Recombinant Rabbit Monoclonal
Isotype Rabbit IgG, kappa
Clone Name NX2.1/1855R
Purity Protein A affinity chromatography
UniProt P43699
Localization Nuclear
Applications Immunohistochemistry (FFPE) : 1-2ug/ml for 30 min at RT
Limitations This NKX2.1 antibody is available for research use only.
Review this product on BioCompare and get a $20 Amazon gift card

Related Products

Description

NKX2.1 (NK2 homeobox 1) is a homeobox transcription factor that plays a central role in embryonic development of the thyroid gland, lung, and ventral forebrain. NKX2.1 Antibody / Forebrain Thyroid Development Marker Antibody (clone NX2.1/1855R) recognizes this developmental transcription factor, which regulates gene expression programs guiding early tissue specification during embryogenesis. NKX2.1 is also widely known as Thyroid transcription factor 1 (TTF-1), and NKX2.1 antibody reagents are frequently used to investigate developmental lineage specification in thyroid and forebrain tissues.

During embryonic thyroid development, NKX2.1 functions as a key transcriptional regulator controlling formation of the thyroid primordium and early thyroid epithelial differentiation. Expression of NKX2.1 is detected in the developing thyroid anlage where it activates transcriptional networks required for thyroid organogenesis and establishment of thyroid follicular epithelial cell lineage identity. Because NKX2.1 expression appears during the earliest stages of thyroid gland formation, detection of NKX2.1 protein provides an effective marker for studying transcriptional mechanisms regulating thyroid developmental specification.

NKX2.1 also plays an important role in patterning of the ventral forebrain during embryogenesis. In the developing brain, NKX2.1 regulates transcriptional programs that guide neuronal differentiation and establish ventral forebrain regional identity. These developmental regulatory functions position NKX2.1 as an important molecular marker of early neurodevelopmental processes involved in forebrain morphogenesis. Detection of NKX2.1 protein therefore supports studies examining transcription factor activity controlling neuronal lineage specification within the ventral forebrain.

Because NKX2.1 participates in transcriptional networks directing formation of multiple organs, NKX2.1 antibody reagents are widely used to investigate developmental homeobox transcription factors that control embryonic tissue differentiation. Detection of NKX2.1 protein allows investigators to examine transcriptional regulation during early stages of thyroid gland development and forebrain formation.

As a result, NKX2.1 antibody tools provide a useful marker for studying thyroid organogenesis, ventral forebrain development, and molecular pathways controlling embryonic lineage specification during vertebrate development.

Application Notes

Optimal dilution of the rNKX2.1 Antibody / Forebrain Thyroid Development Marker Antibody should be determined by the researcher.

1. The prediluted format is supplied in a dropper bottle and is optimized for use in IHC. After epitope retrieval step (if required), drip mAb solution onto the tissue section and incubate at RT for 30 min.

Immunogen

Recombinant protein was used as the immunogen for the recombinant NKX2.1 antibody.

Storage

Store the NKX2.1 antibody at 2-8oC (with azide) or aliquot and store at -20oC or colder (without azide).

Alternate Names

TTF-1 antibody, Thyroid transcription factor 1 antibody, NKX2.1 transcription factor antibody, Developmental homeobox transcription factor antibody

Cross
Bulk Quote Request Form
Name*:
Organization*:
Email*:
Phone Number*:
Catalog No.*:
Comments and Specifics(amount, formulation, etc.)*:
Validation code: Captchapackage Image


Can't read the image? click here to refresh.
    *required field

Your bulk quote request has been submitted successfully!

Please contact us if you have any questions.