• Tel: 858.663.9055
  • SeparatorEmail: info@nsjbio.com
  • Tel: 858.663.9055
  • Email: info@nsjbio.com
Home >> Antibodies >> NAPSA Antibody / Protein Processing Antibody

NAPSA Antibody / Protein Processing Antibody [clone NAPSA/4400R] (V8740)

  Catalog No Formulation Size Price (USD)  
Image V8740-100UG 0.2 mg/ml in 1X PBS with 0.1 mg/ml BSA (US sourced) and 0.05% sodium azide 100 ug 559
Image
V8740-20UG 0.2 mg/ml in 1X PBS with 0.1 mg/ml BSA (US sourced) and 0.05% sodium azide 20 ug 259
Image
V8740SAF-100UG 1 mg/ml in 1X PBS; BSA free, sodium azide free 100 ug 559
Microvalidated Recrabbitmono
Bulk quote request
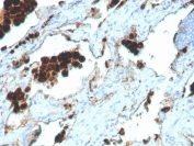
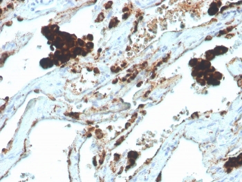
NAPSA Antibody for IHC. Immunohistochemistry analysis of Napsin A (NAPSA) expression in FFPE human lung adenocarcinoma demonstrates strong granular cytoplasmic HRP-DAB brown staining in tumor epithelial cells with minimal background in surrounding stromal regions. Clone NAPSA/4400R highlights Napsin A expression consistent with its role in proteolytic maturation and epithelial protein processing, supporting its use as a protein processing marker in pulmonary tissues. HIER was performed by boiling tissue sections in pH 9 10mM Tris with 1mM EDTA for 20 minutes followed by cooling prior to staining.
IHC staining of FFPE human lung adenocarcinoma with recombinant Napsin A antibody (clone NAPSA/4400R). HIER: boil tissue sections in pH 9 10mM Tris with 1mM EDTA for 20 min and allow to cool before testing.
Analysis of HuProt(TM) microarray containing more than 19,000 full-length human proteins using recombinant Napsin A antibody (clone NAPSA/4400R). These results demonstrate the foremost specificity of the NAPSA/4400R mAb. Z- and S- score: The Z-score represents the strength of a signal that an antibody (in combination with a fluorescently-tagged anti-IgG secondary Ab) produces when binding to a particular protein on the HuProt(TM) array. Z-scores are described in units of standard deviations (SD's) above the mean value of all signals generated on that array. If the targets on the HuProt(TM) are arranged in descending order of the Z-score, the S-score is the difference (also in units of SD's) between the Z-scores. The S-score therefore represents the relative target specificity of an Ab to its intended target.
NAPSA Antibody for WB. Western blot analysis of Napsin A (NAPSA) expression in human kidney tissue lysate demonstrates a band at approximately 38-45 kDa, consistent with the predicted molecular weight of this glycosylated lysosomal aspartic protease. Clone NAPSA/4400R detects Napsin A with a defined band corresponding to processed protein species, reflecting proteolytic maturation associated with its role in epithelial protein processing.
Availability 1-3 business days
Species Reactivity Human
Format Purified
Host Rabbit
Clonality Recombinant Rabbit Monoclonal
Isotype Rabbit IgG
Clone Name NAPSA/4400R
Purity Protein A affinity chromatography
UniProt O96009
Localization Cytoplasmic
Applications Immunohistochemistry (FFPE) : 1-2ug/ml for 30 min at RT
Western Blot : 2-4ug/ml
Limitations This NAPSA Antibody / Protein Processing Antibody is available for research use only.
Review this product on BioCompare and get a $20 Amazon gift card

Related Products

Description

Napsin A (NAPSA) is a lysosomal aspartic protease primarily expressed in lung alveolar epithelial cells and renal tubular epithelium, where it functions in proteolytic processing within secretory and lysosomal pathways. NAPSA Antibody / Protein Processing Antibody is designed to detect Napsin A in studies focused on protease-mediated maturation and intracellular protein processing dynamics. NAPSA antibody clone NAPSA/4400R, also known as Napsin A antibody, is widely used in investigations of epithelial protease function and regulated protein cleavage.

Napsin A is synthesized as an inactive precursor that undergoes proteolytic cleavage to generate its mature enzymatically active form, a defining feature of its biological function. This maturation process produces distinct molecular species that reflect different processing states, providing a useful readout for studying enzyme activation and intracellular protein handling. The ability to resolve precursor and processed forms makes NAPSA a valuable target in analyses of proteolytic regulation and protein maturation pathways.

Within the cell, Napsin A is localized to lysosomal and secretory vesicles, where it contributes to the controlled processing of proteins involved in epithelial cell function. Its best-characterized role is in the maturation of surfactant protein B in type II pneumocytes, linking its enzymatic activity directly to pulmonary physiology. This functional role places NAPSA at a critical interface between intracellular trafficking, protease activation, and tissue-specific protein processing.

NAPSA antibody reagents used as protein processing antibodies enable detection of distinct Napsin A species associated with different maturation states, supporting analysis of proteolytic cleavage efficiency and intracellular processing mechanisms. This is particularly informative in experimental contexts where altered protein processing, enzyme activation, or vesicular trafficking may impact protein function and stability.

The expression pattern of Napsin A is strongly enriched in lung and kidney tissues, providing a biologically relevant framework for interpreting protein processing data. In pulmonary epithelial cells, its role in surfactant maturation underscores its importance in respiratory function, while its restricted distribution enhances its value as a lineage-associated protease marker.

Overall, NAPSA antibody reagents used as protein processing antibodies provide mechanistic insight into proteolytic maturation, enzyme activation, and intracellular protein handling, supporting detailed studies of epithelial biology and protease-driven regulatory pathways.

This antibody is part of a comprehensive NAPSA antibody collection developed to support Napsin A detection across IHC, WB, IF, and FACS applications in lung cancer and epithelial biology research.

Application Notes

Optimal dilution of the NAPSA Antibody / Protein Processing Antibody should be determined by the researcher.

Immunogen

A portion of amino acids 50-150 from the human protein was used as the immunogen for the recombinant Napsin A antibody.

Storage

Store the recombinant Napsin A antibody at 2-8oC (with azide) or aliquot and store at -20oC or colder (without azide).

Alternate Names

Napsin A antibody, NAPSA protein antibody, Aspartic protease Napsin A antibody, NAPSA processing enzyme antibody

Cross
Bulk Quote Request Form
Name*:
Organization*:
Email*:
Phone Number*:
Catalog No.*:
Comments and Specifics(amount, formulation, etc.)*:
Validation code: Captchapackage Image


Can't read the image? click here to refresh.
    *required field

Your bulk quote request has been submitted successfully!

Please contact us if you have any questions.