• Tel: 858.663.9055
  • SeparatorEmail: info@nsjbio.com
  • Tel: 858.663.9055
  • Email: info@nsjbio.com
Home >> Antibodies >> Recombinant Multi Cytokeratin Antibody / Rabbit Monoclonal

Recombinant Multi Cytokeratin Antibody / Rabbit Monoclonal [clone KRT/1877R] (V3699)

  Catalog No Formulation Size Price (USD)  
Image V3699-100UG 0.2 mg/ml in 1X PBS with 0.1 mg/ml BSA (US sourced) and 0.05% sodium azide 100 ug 559
Image
V3699-20UG 0.2 mg/ml in 1X PBS with 0.1 mg/ml BSA (US sourced) and 0.05% sodium azide 20 ug 259
Image
V3699SAF-100UG 1 mg/ml in 1X PBS; BSA free, sodium azide free 100 ug 559
Image
V3699IHC-7ML Prediluted in 1X PBS with 0.1 mg/ml BSA (US sourced) and 0.05% sodium azide; *For IHC use only* 7 ml 559
Microvalidated Recrabbitmono
Bulk quote request
Immunofluorescent staining of methanol-fixed human MCF7 cells with recombinant Multi Cytokeratin antibody antibody (clone KRT/1877R, green) and Reddot nuclear stain (red).
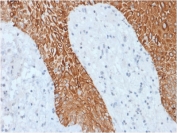
IHC staining of FFPE human skin with recombinant Multi Cytokeratin antibody (clone KRT/1877R). HIER: boil tissue sections in pH 9 10mM Tris with 1mM EDTA for 10-20 min followed by cooling at RT for 20 min.
SDS-PAGE analysis of purified, BSA-free recombinant Multi Cytokeratin antibody (clone KRT/1877R) as confirmation of integrity and purity.
Availability 1-3 business days
Species Reactivity Human
Format Purified
Host Rabbit
Clonality Recombinant Rabbit Monoclonal
Isotype Rabbit IgG, kappa
Clone Name KRT/1877R
Purity Protein A affinity chromatography
Localization Cytoplasmic
Applications Immunofluorescence : 1-2ug/ml
Immunohistochemistry (FFPE) : 1-2ug/ml for 30 min at RT
Limitations This recombinant Multi Cytokeratin antibody is available for research use only.
Review this product on BioCompare and get a $20 Amazon gift card

Related Products

Description

Recombinant Multi Cytokeratin antibody is a broad spectrum reagent designed to detect multiple members of the cytokeratin family, a group of intermediate filament proteins expressed in epithelial tissues. Cytokeratins provide mechanical support, contribute to cytoskeletal organization, and regulate signaling pathways that influence growth and differentiation. Because cytokeratins are differentially expressed across epithelial subtypes, antibodies recognizing multiple keratins are essential in pathology, cancer biology, and epithelial research.

Cytokeratins are divided into type I acidic and type II basic proteins, which pair to form heterodimers. These filaments assemble into networks that maintain epithelial integrity and resilience against stress. Distinct cytokeratins mark specific epithelia, such as cytokeratin 5 and 14 in basal cells, cytokeratin 8 and 18 in simple epithelia, and cytokeratin 20 in gastrointestinal tissues. A Recombinant Multi Cytokeratin antibody recognizes multiple keratins simultaneously, enabling detection of epithelial cells in diverse contexts.

The Recombinant Multi Cytokeratin antibody clone KRT/1877R ensures consistent and reproducible performance. Recombinant production eliminates batch variability, making it reliable for long term studies. Clone KRT/1877R has been widely used in oncology to confirm epithelial origin of tumors, in developmental biology to monitor epithelial differentiation, and in pathology to identify carcinomas. Its broad reactivity makes it an essential diagnostic and research tool.

Research with clone KRT/1877R has clarified how cytokeratin expression patterns define tissue type and disease state. Multi cytokeratin detection is often applied in carcinoma diagnostics, where it distinguishes epithelial cancers from mesenchymal or hematopoietic tumors. This antibody is particularly useful for detecting poorly differentiated carcinomas, where broad epithelial markers are needed for accurate classification.

Beyond oncology, clone KRT/1877R has been used to study epithelial repair, wound healing, and stem cell biology. Cytokeratin expression serves as a marker of lineage commitment, making this antibody valuable in regenerative research. It supports investigations into tissue development, organogenesis, and the behavior of progenitor cells.

NSJ Bioreagents supplies this Recombinant Multi Cytokeratin antibody to advance studies in epithelial biology and disease. Alternate terms include pan cytokeratin antibody, broad spectrum keratin antibody, epithelial cytoskeletal protein antibody, and multi keratin marker antibody, reflecting the various contexts in which cytokeratins are studied.

Twenty human keratins are resolved with two-dimensional gel electrophoresis into acidic (pI 6.0) subfamilies. This mAb recognizes acidic (Type I or LMW) and basic (Type II or HMW) cytokeratins, including 59kDa (CK4); 58kDa (CK5); 56kDa (CK6); 52kDa (CK8); 56.5kDa (CK10); 53kDa (CK13) and 45kDa (CK18). This is a broad-spectrum mAb which has been reported to differentiate epithelial tumors from non-epithelial tumors. Many studies have shown the usefulness of keratins as markers in cancer research and tumor diagnosis.

Application Notes

Optimal dilution of the recombinant Multi Cytokeratin antibody should be determined by the researcher.

1.The prediluted format is supplied in a dropper bottle and is optimized for use in IHC. After epitope retrieval step (if required), drip mAb solution onto the tissue section and incubate at RT for 30 min.

Immunogen

A Keratin-enriched preparation from cultured human epithelial cells was used as the immunogen for the recombinant Multi Cytokeratin antibody.

Storage

Store the recombinant Multi Cytokeratin antibody at 2-8oC (with azide) or aliquot and store at -20oC or colder (without azide).

Cross
Bulk Quote Request Form
Name*:
Organization*:
Email*:
Phone Number*:
Catalog No.*:
Comments and Specifics(amount, formulation, etc.)*:
Validation code: Captchapackage Image


Can't read the image? click here to refresh.
    *required field

Your bulk quote request has been submitted successfully!

Please contact us if you have any questions.