• Tel: 858.663.9055
  • SeparatorEmail: info@nsjbio.com
  • Tel: 858.663.9055
  • Email: info@nsjbio.com
Home >> Antibodies >> Recombinant MUC1 Antibody / Mucin-1

Recombinant MUC1 Antibody / Mucin-1 [clone rMUC1/4418] (V8642)

  Catalog No Formulation Size Price (USD)  
Image V8642-100UG 0.2 mg/ml in 1X PBS with 0.1 mg/ml BSA (US sourced) and 0.05% sodium azide 100 ug 559
Image
V8642-20UG 0.2 mg/ml in 1X PBS with 0.1 mg/ml BSA (US sourced) and 0.05% sodium azide 20 ug 259
Image
V8642SAF-100UG 1 mg/ml in 1X PBS; BSA free, sodium azide free 100 ug 559
Microvalidated Recmousemono
Bulk quote request
Western blot testing of human MCF7 cell lysate with MUC1 antibody (clone rMUC1/4418). This glycoprotein is commonly visualized between 120~500 kDa.
Western blot testing of human T-47D cell lysate with MUC1 antibody (clone rMUC1/4418). This glycoprotein is commonly visualized between 120~500 kDa.
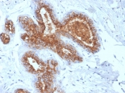
IHC staining of FFPE human breast carcinoma with recombinant MUC1 antibody. HIER: boil tissue sections in pH 9 10mM Tris with 1mM EDTA for 20 min and allow to cool before testing.
SDS-PAGE analysis of purified, BSA-free recombinant MUC1 antibody as confirmation of integrity and purity.
Availability 1-3 business days
Species Reactivity Human
Format Purified
Host Mouse
Clonality Recombinant Mouse Monoclonal
Isotype Mouse IgG2a, kappa
Clone Name rMUC1/4418
Purity Protein G affinity chromatography
UniProt P15941
Localization Cytoplasmic, cell surface
Applications Immunohistochemistry (FFPE) : 1-2ug/ml for 30 min at RT
Western Blot : 2-4ug/ml
Limitations This recombinant MUC1 antibody is available for research use only.
Review this product on BioCompare and get a $20 Amazon gift card

Related Products

Description

Mucin-1/MUC1/EMA may provide a protective layer on epithelial cells against bacterial and enzyme attack. In immunohistochemical assays, it superbly stains routine formalin/paraffin carcinomas. Anti-EMA antibody is a useful marker for staining many carcinomas. It stains normal and neoplastic cells from various tissues, including mammary epithelium, sweat glands and colorectal carcinoma. Hepatocellular carcinoma, adrenal carcinoma and embryonal carcinomas are consistently EMA negative, so keratin positivity with negative EMA favors one of these tumors. EMA is frequently positive in meningioma, which can be useful when distinguishing it from other intracranial neoplasms such as schwannomas. Antibody to EMA is useful as a pan-epithelial marker for detecting early metastatic loci of carcinoma in bone marrow or liver.

Application Notes

Optimal dilution of the recombinant MUC1 antibody should be determined by the researcher.

Immunogen

Recombinant full-length human MUC1 protein was used as the immunogen for the recombinant MUC1 antibody.

Storage

Store the recombinant MUC1 antibody at 2-8oC (with azide) or aliquot and store at -20oC or colder (without azide).

Cross
Bulk Quote Request Form
Name*:
Organization*:
Email*:
Phone Number*:
Catalog No.*:
Comments and Specifics(amount, formulation, etc.)*:
Validation code: Captchapackage Image


Can't read the image? click here to refresh.
    *required field

Your bulk quote request has been submitted successfully!

Please contact us if you have any questions.