• Tel: 858.663.9055
  • SeparatorEmail: info@nsjbio.com
  • Tel: 858.663.9055
  • Email: info@nsjbio.com
Home >> Antibodies >> Recombinant MSH6 Antibody

Recombinant MSH6 Antibody [clone MSH6/4592R] (V9344)

  Catalog No Formulation Size Price (USD)  
Image V9344-100UG 0.2 mg/ml in 1X PBS with 0.1 mg/ml BSA (US sourced), 0.05% sodium azide 100 ug 559
Image
V9344-20UG 0.2 mg/ml in 1X PBS with 0.1 mg/ml BSA (US sourced), 0.05% sodium azide 20 ug 259
Image
V9344SAF-100UG 1 mg/ml in 1X PBS; BSA free, sodium azide free 100 ug 559
Microvalidated Recrabbitmono
Bulk quote request
Western blot testing of human HCT-116 cell lysate using recombinant MSH6 antibody (clone MSH6/4592R). Expected molecular weight: 120-160 kDa depending on phosphorylation level.
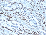
IHC staining of FFPE human colon tissue with recombinant MSH6 antibody (clone MSH6/4592R). HIER: boil tissue sections in pH 9 10mM Tris with 1mM EDTA for 20 min and allow to cool before testing.
IHC staining of FFPE human colon tissue with recombinant MSH6 antibody (clone MSH6/4592R). HIER: boil tissue sections in pH 9 10mM Tris with 1mM EDTA for 20 min and allow to cool before testing.
Availability 1-3 business days
Species Reactivity Human
Format Purified
Host Rabbit
Clonality Recombinant Rabbit Monoclonal
Isotype Rabbit IgG
Clone Name MSH6/4592R
Purity Protein A/G affinity
UniProt P52701
Localization Nuclear
Applications ELISA (order BSA-free Format For Coating) :
Western Blot : 1-2ug/ml
Immunohistochemistry (FFPE) : 1-2ug/ml
Limitations This recombinant MSH6 antibody is available for research use only.
Review this product on BioCompare and get a $20 Amazon gift card

Related Products

Description

MSH6 is a component of the post-replicative DNA mismatch repair system (MMR). [UniProt]

Application Notes

Optimal dilution of the recombinant MSH6 antibody should be determined by the researcher.

Immunogen

A portion of amino acids 374-540 was used as the immunogen for the recombinant MSH6 antibody.

Storage

Aliquot the recombinant MSH6 antibody and store frozen at -20oC or colder. Avoid repeated freeze-thaw cycles.

Cross
Bulk Quote Request Form
Name*:
Organization*:
Email*:
Phone Number*:
Catalog No.*:
Comments and Specifics(amount, formulation, etc.)*:
Validation code: Captchapackage Image


Can't read the image? click here to refresh.
    *required field

Your bulk quote request has been submitted successfully!

Please contact us if you have any questions.