• Tel: 858.663.9055
  • SeparatorEmail: info@nsjbio.com
  • Tel: 858.663.9055
  • Email: info@nsjbio.com
Home >> Antibodies >> MLANA Antibody / Melanocyte Lineage Marker Antibody

MLANA Antibody / Melanocyte Lineage Marker Antibody [clone rMLANA/9404] (V5603)

  Catalog No Formulation Size Price (USD)  
Image V5603-100UG 0.2 mg/ml in 1X PBS with 0.1 mg/ml BSA (US sourced), 0.05% sodium azide 100 ug 559
Image
V5603-20UG 0.2 mg/ml in 1X PBS with 0.1 mg/ml BSA (US sourced), 0.05% sodium azide 20 ug 259
Image
V5603SAF-100UG 1 mg/ml in 1X PBS; BSA free, sodium azide free 100 ug 559
Microvalidated Recmousemono
Bulk quote request
MLANA Antibody human COLO-38 cell WB analysis. Western blot analysis of Melan A (MLANA) in human COLO-38 cell lysate using MLANA Antibody / Melanocyte Lineage Marker Antibody clone rMLANA/9404 shows a band at approximately 20 kDa. A band is detected at approximately 20 kDa, consistent with the predicted molecular weight of Melan A (MLANA), with a possible doublet representing isoform variation or post-translational processing. The observed signal aligns with the known expression of this melanocyte lineage marker in melanoma-derived cell lines.
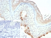
MLANA Antibody human skin IHC staining. Immunohistochemistry analysis of Melan A (MLANA) in FFPE human skin using MLANA Antibody / Melanocyte Lineage Marker Antibody clone rMLANA/9404 demonstrates cytoplasmic HRP-DAB brown staining in melanocytes localized along the basal layer of the epidermis, consistent with melanocyte lineage distribution, while surrounding keratinocytes and dermal cells remain largely negative. The staining pattern highlights discrete melanocyte populations with clear localization and minimal background signal. The inset shows a negative control with PBS in place of the primary antibody, confirming staining specificity. Heat-induced epitope retrieval was performed using pH 9 Tris-EDTA buffer for 20 min prior to staining.
SDS-PAGE analysis of purified, BSA-free recombinant MLANA antibody (clone rMLANA/9404) as confirmation of integrity and purity.
Availability 1-3 business days
Species Reactivity Human
Format Purified
Host Mouse
Clonality Recombinant Mouse Monoclonal
Isotype Mouse IgG1, kappa
Clone Name rMLANA/9404
Purity Protein A/G affinity
UniProt Q16655
Localization Cytoplasm
Applications Immunohistochemistry (FFPE) : 1-2ug/ml
Western Blot : 2-4ug/ml
Limitations This MLANA Antibody / Melanocyte Lineage Marker Antibody is available for research use only.
Review this product on BioCompare and get a $20 Amazon gift card

Related Products

Description

Melan A (MLANA), also known as MART-1, is a melanocyte-specific protein involved in melanosome formation and pigment production and is widely recognized as a definitive marker of melanocyte lineage. Its expression is tightly restricted to melanocytes and melanocyte-derived cells, where it contributes to the structural organization and function of melanosomes. Because MLANA expression reflects lineage identity rather than general cellular activity, it is extensively used to identify melanocytic cells in both normal tissues and disease states. MLANA Antibody reagents are therefore critical tools for distinguishing melanocyte-derived populations from surrounding non-melanocytic cells.

MLANA antibody, also referred to as Melan A antibody or MART-1 antibody in the literature, recognizes a cytoplasmic protein with highly restricted expression in melanocytic cells. The MLANA Antibody clone rMLANA/9404 is particularly suited for studies focused on melanocyte lineage identification, where detection of MLANA expression enables clear separation of melanocytic cells from epithelial, mesenchymal, and lymphoid populations. In normal tissues, MLANA expression is confined to melanocytes located within the basal layer of the epidermis and related pigment-producing structures, while most other tissues remain negative, providing a high level of specificity for lineage determination.

From a developmental perspective, MLANA expression is closely linked to melanocyte differentiation and maturation. As neural crest-derived precursor cells commit to the melanocytic lineage, MLANA expression increases alongside other melanocyte-specific proteins involved in pigment synthesis and organelle formation. This makes MLANA a valuable marker for studying lineage commitment, cellular differentiation, and pigment cell development in both in vivo systems and experimental models. Detection of MLANA supports identification of mature melanocytes and evaluation of differentiation status in melanocyte biology research.

In cancer research, MLANA expression is strongly associated with melanoma and other melanocytic tumors, where cytoplasmic staining highlights tumor cells derived from melanocyte lineage. Its lineage specificity allows for clear identification of melanocytic tumors even in complex or poorly differentiated tumor environments. Unlike broader tumor-associated markers, MLANA provides direct insight into cellular origin, supporting accurate classification and interpretation of tumor phenotype in research settings.

The restricted expression profile of MLANA also minimizes background staining in non-melanocytic tissues, enabling clear visualization of melanocyte-derived cells in heterogeneous samples. This enhances interpretability and supports reliable identification of melanocytic populations across diverse experimental contexts.

Clone rMLANA/9404 enables consistent and reproducible detection of Melan A in applications requiring precise identification of melanocyte lineage. Its performance supports detailed analysis of melanocytic differentiation, cellular identity, and pigment cell biology, making it well suited for studies of melanoma, melanocyte development, and lineage-specific expression.

This antibody is part of the Melan-A antibody collection, where additional MLANA/MART-1 antibodies for various applications can be explored.

Application Notes

Optimal dilution of the MLANA Antibody / Melanocyte Lineage Marker Antibody should be determined by the researcher.

Immunogen

Recombinant full-length human MART-1/Melan-A protein was used as the immunogen for the recombinant MLANA antibody.

Storage

Aliquot the recombinant MLANA antibody and store frozen at -20oC or colder. Avoid repeated freeze-thaw cycles.

Alternate Names

MLANA antibody, Melan A antibody, MART-1 antibody, melanocyte marker antibody, melanoma lineage antibody, melanocytic differentiation antibody

Cross
Bulk Quote Request Form
Name*:
Organization*:
Email*:
Phone Number*:
Catalog No.*:
Comments and Specifics(amount, formulation, etc.)*:
Validation code: Captchapackage Image


Can't read the image? click here to refresh.
    *required field

Your bulk quote request has been submitted successfully!

Please contact us if you have any questions.