• Tel: 858.663.9055
  • SeparatorEmail: info@nsjbio.com
  • Tel: 858.663.9055
  • Email: info@nsjbio.com
Home >> Antibodies >> Recombinant MITF Antibody

Recombinant MITF Antibody [clone MPAF3-2R] (V7455)

  Catalog No Formulation Size Price (USD)  
Image V7455-100UG 0.2 mg/ml in 1X PBS with 0.1 mg/ml BSA (US sourced) and 0.05% sodium azide 100 ug 559
Image
V7455-20UG 0.2 mg/ml in 1X PBS with 0.1 mg/ml BSA (US sourced) and 0.05% sodium azide 20 ug 259
Image
V7455SAF-100UG 1 mg/ml in 1X PBS; BSA free, sodium azide free 100 ug 559
Image
V7455IHC-7ML Prediluted in 1X PBS with 0.1 mg/ml BSA (US sourced) and 0.05% sodium azide; *For IHC use only* 7 ml 559
Microvalidated Recrabbitmono
Bulk quote request
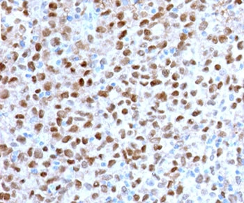
IHC staining of FFPE human melanoma with recombinant MITF antibody (clone MPAF3-2R). HIER: boil tissue sections in pH 9 10mM Tris with 1mM EDTA for 10-20 min and allow to cool before testing.
Availability 1-3 business days
Species Reactivity Human
Format Purified
Host Rabbit
Clonality Recombinant Rabbit Monoclonal
Isotype Rabbit IgG, kappa
Clone Name MPAF3-2R
Purity Protein A affinity chromatography
UniProt O75030
Localization Nuclear
Applications Immunohistochemistry (FFPE) : 1-2ug/ml for 30 min at RT
Prediluted IHC Only Format : incubate for 30 min at RT (1)
Limitations This recombinant MITF antibody is available for research use only.
Review this product on BioCompare and get a $20 Amazon gift card

Related Products

Description

MITF (microphthalmia transcription factor) is a transcription factor that regulates the expression of genes with essential roles in cell differentiation, proliferation and survival. Binds to symmetrical DNA sequences (E-boxes) (5'-CACGTG-3') found in the promoters of target genes, such as BCL2 and tyrosinase (TYR). Plays an important role in melanocyte development by regulating the expression of tyrosinase (TYR) and tyrosinase-related protein 1 (TYRP1). Plays a critical role in the differentiation of various cell types, such as neural crest-derived melanocytes, mast cells, osteoclasts and optic cup-derived retinal pigment epithelium. [UniProt]

Application Notes

The stated application concentrations are suggested starting points. Titration of the recombinant MITF antibody may be required due to differences in protocols and secondary/substrate sensitivity.

1. The prediluted format is supplied in a dropper bottle and is optimized for use in IHC. After epitope retrieval step (if required), drip mAb solution onto the tissue section and incubate at RT for 30 min.

Immunogen

Recombinant full-length human protein was used as the immunogen for the recombinant MITF antibody.

Storage

Store the recombinant MITF antibody at 2-8oC (with azide) or aliquot and store at -20oC or colder (without azide).

Cross
Bulk Quote Request Form
Name*:
Organization*:
Email*:
Phone Number*:
Catalog No.*:
Comments and Specifics(amount, formulation, etc.)*:
Validation code: Captchapackage Image


Can't read the image? click here to refresh.
    *required field

Your bulk quote request has been submitted successfully!

Please contact us if you have any questions.