• Tel: 858.663.9055
  • SeparatorEmail: info@nsjbio.com
  • Tel: 858.663.9055
  • Email: info@nsjbio.com
Home >> Antibodies >> Recombinant LEF1 Antibody / Lymphoid enhancer-binding factor 1 / TCF1 alpha

Recombinant LEF1 Antibody / Lymphoid enhancer-binding factor 1 / TCF1 alpha [clone rLEF1/6906] (V8943)

  Catalog No Formulation Size Price (USD)  
Image V8943-100UG 0.2 mg/ml in 1X PBS with 0.1 mg/ml BSA (US sourced), 0.05% sodium azide 100 ug 559
Image
V8943-20UG 0.2 mg/ml in 1X PBS with 0.1 mg/ml BSA (US sourced), 0.05% sodium azide 20 ug 259
Image
V8943SAF-100UG 1 mg/ml in 1X PBS; BSA free, sodium azide free 100 ug 559
Microvalidated Recmousemono
Bulk quote request
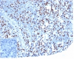
IHC staining of FFPE human lymph node with recombinant LEF1 antibody (clone rLEF1/6906) at 2ug/ml in PBS for 30min RT. Strong nuclear staining of non-germinal center observed. HIER: boil tissue sections in pH 9 10mM Tris with 1mM EDTA for 20 min and allow to cool before testing.
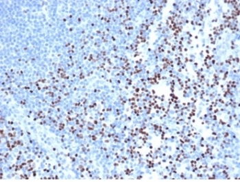
IHC staining of FFPE human lymph node tissue with recombinant LEF1 antibody (clone rLEF1/6906) at 2ug/ml in PBS for 30min RT. Strong nuclear staining of non-germinal center cells is observed. Negative control inset: PBS instead of primary antibody to control for secondary binding. HIER: boil tissue sections in pH 9 10mM Tris with 1mM EDTA for 20 min and allow to cool before testing.
Availability 1-3 business days
Species Reactivity Human
Format Purified
Host Mouse
Clonality Recombinant Mouse Monoclonal
Isotype Mouse IgG1, kappa
Clone Name rLEF1/6906
Purity Protein A/G affinity
UniProt Q9UJU2
Localization Nucleus
Applications Immunohistochemistry (FFPE) : 2-4ug/ml
Limitations This recombinant LEF1 antibody is available for research use only.
Review this product on BioCompare and get a $20 Amazon gift card

Related Products

Description

Lymphoid Enhancing Factor 1 (LEF1), also called T cell-specific transcription factor 1-alpha (TCF1 alpha) is a transcription factor that belongs to the TCF/LEF family. LEF1 participates as a regulator in Wnt signaling pathways. LEF1 is an important factor in lymphopoiesis and is expressed normally in T and pro-B cells but not expressed in mature B cells. Anti-LEF1 may be used as an aid for differentiation of chronic lymphocytic leukemia/small lymphocytic lymphoma from other small B cell lymphomas.

Application Notes

Optimal dilution of the recombinant LEF1 antibody should be determined by the researcher.

Immunogen

A portion of amino acids 100-200 was used as the immunogen for the recombinant LEF1 antibody.

Storage

Aliquot the recombinant LEF1 antibody and store frozen at -20oC or colder. Avoid repeated freeze-thaw cycles.

Cross
Bulk Quote Request Form
Name*:
Organization*:
Email*:
Phone Number*:
Catalog No.*:
Comments and Specifics(amount, formulation, etc.)*:
Validation code: Captchapackage Image


Can't read the image? click here to refresh.
    *required field

Your bulk quote request has been submitted successfully!

Please contact us if you have any questions.