• Tel: 858.663.9055
  • SeparatorEmail: info@nsjbio.com
  • Tel: 858.663.9055
  • Email: info@nsjbio.com
Home >> Antibodies >> Recombinant Ksp-Cadherin Antibody / Cadherin 16

Recombinant Ksp-Cadherin Antibody / Cadherin 16 [clone rCDH16/7343] (V5385)

  Catalog No Formulation Size Price (USD)  
Image V5385-100UG 0.2 mg/ml in 1X PBS with 0.1 mg/ml BSA (US sourced), 0.05% sodium azide 100 ug 559
Image
V5385-20UG 0.2 mg/ml in 1X PBS with 0.1 mg/ml BSA (US sourced), 0.05% sodium azide 20 ug 259
Image
V5385SAF-100UG 1 mg/ml in 1X PBS; BSA free, sodium azide free 100 ug 559
Microvalidated Recmousemono
Bulk quote request
Western blot testing of human kidney tissue lysate using recombinant Ksp-Cadherin antibody (clone rCDH16/7343). Expected molecular weight ~130 kDa.
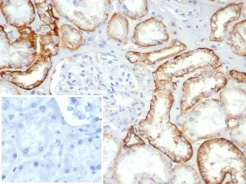
IHC staining of FFPE normal human kidney tissue using recombinant Ksp-Cadherin antibody (clone rCDH16/7343) at 2ug/ml in PBS for 30min RT. Inset: PBS used in place of primary Ab (secondary Ab negative control).
SDS-PAGE analysis of purified, BSA-free recombinant Ksp-Cadherin antibody (clone rCDH16/7343) as confirmation of integrity and purity.
Availability 1-3 business days
Species Reactivity Human
Format Purified
Host Mouse
Clonality Recombinant Mouse Monoclonal
Isotype Mouse IgG1, kappa
Clone Name rCDH16/7343
Purity Protein A/G affinity
UniProt O75309
Localization Cell Surface, Cytoplasm
Applications Immunohistochemistry (FFPE) : 1-2ug/ml
Western Blot : 2-4ug/ml
Limitations This recombinant Ksp-Cadherin antibody is available for research use only.
Review this product on BioCompare and get a $20 Amazon gift card

Related Products

Description

This MAb recognizes a protein of 130kDa, identified as Ksp-cadherin. Cadherins form a superfamily of related glycoproteins that mediate calcium-dependent cell adhesion and transmit signals from the extracellular matrix to the cytoplasm. Cadherins have been implicated in embryogenesis, tissue morphogenesis, tissue structure maintenance, cell polarization, neoplastic invasiveness and metastasis, and membrane transport. It is suggested that Ksp-cadherin is a marker for terminal differentiation of the basolateral membranes of renal tubular epithelial cells. Within the kidney, Ksp-Cadherin is found exclusively in the basolateral membrane of renal tubular epithelial cells and collecting duct cells, and not in glomeruli, renal interstitial cells, or blood vessels.Ksp-Cadherin has been suggested to distinguish Chromophobe Renal-Cell Carcinoma from Oncocytoma.

Application Notes

Optimal dilution of the recombinant Ksp-Cadherin antibody should be determined by the researcher.

Immunogen

Recombinant human full-length CDH16 protein was used as the immunogen for the recombinant Ksp-Cadherin antibody.

Storage

Aliquot the recombinant Ksp-Cadherin antibody and store frozen at -20oC or colder. Avoid repeated freeze-thaw cycles.

Cross
Bulk Quote Request Form
Name*:
Organization*:
Email*:
Phone Number*:
Catalog No.*:
Comments and Specifics(amount, formulation, etc.)*:
Validation code: Captchapackage Image


Can't read the image? click here to refresh.
    *required field

Your bulk quote request has been submitted successfully!

Please contact us if you have any questions.