• Tel: 858.663.9055
  • SeparatorEmail: info@nsjbio.com
  • Tel: 858.663.9055
  • Email: info@nsjbio.com
Home >> Antibodies >> KRT7 Antibody / Cytokeratin 7

KRT7 Antibody / Cytokeratin 7 [clone rKRT7/8763] (V4281)

  Catalog No Formulation Size Price (USD)  
Image V4281-100UG 0.2 mg/ml in 1X PBS with 0.1 mg/ml BSA (US sourced), 0.05% sodium azide 100 ug 559
Image
V4281-20UG 0.2 mg/ml in 1X PBS with 0.1 mg/ml BSA (US sourced), 0.05% sodium azide 20 ug 259
Image
V4281SAF-100UG 1 mg/ml in 1X PBS; BSA free, sodium azide free 100 ug 559
Microvalidated Recmousemono
Bulk quote request
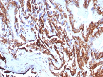
IHC staining of FFPE human prostate carcinoma tissue with recombinant KRT7 antibody (clone rKRT7/8763). HIER: boil tissue sections in pH 9 10mM Tris with 1mM EDTA for 20 min and allow to cool before testing.
SDS-PAGE analysis of purified, BSA-free recombinant KRT7 antibody (clone rKRT7/8763) as confirmation of integrity and purity.
Availability 1-3 business days
Species Reactivity Human
Format Purified
Host Mouse
Clonality Recombinant Mouse Monoclonal
Isotype Mouse IgG2b, kappa
Clone Name rKRT7/8763
Purity Protein A/G affinity
UniProt P08729
Localization Cytoplasm
Applications Immunohistochemistry (FFPE) : 1-2ug/ml for 30 minutes at RT
Limitations This recombinant KRT7 antibody is available for research use only.
Review this product on BioCompare and get a $20 Amazon gift card

Related Products

Description

KRT7 antibody targets Keratin 7, also known as Cytokeratin 7 or type II cytoskeletal keratin 7, an intermediate filament protein that plays a central role in maintaining epithelial cell structure. Keratin 7 is encoded by the KRT7 gene and is predominantly expressed in simple and glandular epithelial tissues. Within cells, Keratin 7 localizes to the cytoplasm, where it forms heteropolymeric filaments with type I keratins, contributing to epithelial stability, polarity, and intracellular organization.

Keratin 7 expression is a defining feature of many epithelial cell types, including those lining the respiratory tract, biliary system, pancreatic ducts, breast ducts, female reproductive tract, and urinary epithelium. In contrast, normal colorectal epithelium and stratified squamous epithelium typically lack Keratin 7 expression. This restricted distribution has made KRT7 antibody an important reagent for distinguishing epithelial lineages and assessing tissue origin in research-focused histological studies. CK7-positive staining patterns are frequently observed in epithelial-derived tumors such as lung adenocarcinoma, breast carcinoma, ovarian carcinoma, cholangiocarcinoma, and urothelial carcinoma, while gastrointestinal adenocarcinomas often remain CK7 negative.

Beyond its value as an epithelial marker, Keratin 7 participates in dynamic cytoskeletal remodeling during epithelial differentiation, regeneration, and disease progression. Alterations in KRT7 expression have been linked to changes in epithelial phenotype, glandular differentiation, and cellular stress responses. These expression shifts reflect broader reprogramming of the keratin network that accompanies epithelial transformation and tumor development.

KRT7 antibody is widely used in research applications to evaluate epithelial differentiation patterns, investigate tumor heterogeneity, and characterize epithelial cell populations in complex tissues. Its consistent cytoplasmic localization and lineage-specific expression profile support its utility in studies of epithelial biology, cancer research, and tissue organization.

Application Notes

Optimal dilution of the recombinant KRT7 antibody should be determined by the researcher.

Immunogen

Recombinant full-length human KRT7 protein was used as the immunogen for the recombinant KRT7 antibody.

Storage

Aliquot the recombinant KRT7 antibody and store frozen at -20oC or colder. Avoid repeated freeze-thaw cycles.

Cross
Bulk Quote Request Form
Name*:
Organization*:
Email*:
Phone Number*:
Catalog No.*:
Comments and Specifics(amount, formulation, etc.)*:
Validation code: Captchapackage Image


Can't read the image? click here to refresh.
    *required field

Your bulk quote request has been submitted successfully!

Please contact us if you have any questions.