• Tel: 858.663.9055
  • SeparatorEmail: info@nsjbio.com
  • Tel: 858.663.9055
  • Email: info@nsjbio.com
Home >> Antibodies >> KRT18 Antibody / Cytokeratin 18

KRT18 Antibody / Cytokeratin 18 [clone rKRT18/7299] (V4280)

  Catalog No Formulation Size Price (USD)  
Image V4280-100UG 0.2 mg/ml in 1X PBS with 0.1 mg/ml BSA (US sourced), 0.05% sodium azide 100 ug 559
Image
V4280-20UG 0.2 mg/ml in 1X PBS with 0.1 mg/ml BSA (US sourced), 0.05% sodium azide 20 ug 259
Image
V4280SAF-100UG 1 mg/ml in 1X PBS; BSA free, sodium azide free 100 ug 559
Microvalidated Recmousemono
Bulk quote request
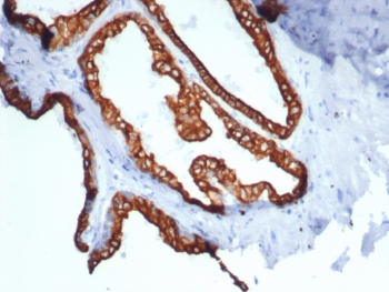
Immunohistochemistry analysis of KRT18 / Cytokeratin 18 antibody (clone rKRT18/7299) in human prostate carcinoma tissue. Formalin-fixed, paraffin-embedded human prostate carcinoma tissue was stained using recombinant KRT18 / Cytokeratin 18 antibody (clone rKRT18/7299). Heat-induced epitope retrieval was performed by boiling tissue sections in 10 mM Tris with 1 mM EDTA, pH 9.0, followed by cooling prior to antibody incubation. Brown chromogenic signal is observed in tumor epithelial cells forming glandular structures, with strong cytoplasmic staining outlining malignant epithelial cells, while surrounding stromal components show little to no staining. This staining pattern reflects epithelial cell-associated expression of Cytokeratin 18 in prostate carcinoma.
IHC staining of FFPE human prostate carcinoma tissue with recombinant KRT18 antibody (clone rKRT18/7299). HIER: boil tissue sections in pH 9 10mM Tris with 1mM EDTA for 20 min and allow to cool before testing.
Availability 1-3 business days
Species Reactivity Human
Format Purified
Host Mouse
Clonality Recombinant Mouse Monoclonal
Isotype Mouse IgG1, kappa
Clone Name rKRT18/7299
Purity Protein A/G affinity
UniProt P05783
Localization Cytoplasm
Applications Immunohistochemistry (FFPE) : 1-2ug/ml
Limitations This recombinant KRT18 antibody is available for research use only.
Review this product on BioCompare and get a $20 Amazon gift card

Related Products

Description

KRT18 Antibody recognizes Cytokeratin 18, also known as Keratin 18 (KRT18), a type I intermediate filament protein that is broadly expressed in simple epithelial cells and epithelial-derived tissues. Cytokeratin 18 is a cytoplasmic structural protein that typically forms obligate heterodimers with type II keratins, most prominently Keratin 8, to assemble the intermediate filament network that maintains epithelial cell architecture, intracellular organization, and mechanical stability. KRT18 Antibody is commonly used in research and pathology contexts and is frequently referred to in the literature as Cytokeratin 18 antibody or CK18 antibody.

Cytokeratin 18 expression is characteristic of simple and glandular epithelia lining internal organs, including liver, pancreas, gastrointestinal tract, kidney, lung, and prostate. In these tissues, KRT18 is predominantly localized to luminal and secretory epithelial cells rather than basal cell compartments. This expression pattern distinguishes Cytokeratin 18 from basal keratins such as Cytokeratin 14 or Cytokeratin 15 and makes KRT18 Antibody useful for identifying epithelial cells of simple epithelial origin and for differentiating epithelial structures from surrounding stromal or mesenchymal tissue components.

Alterations in Cytokeratin 18 expression and organization have been documented in a range of pathological contexts. Changes in CK18 distribution, expression intensity, or filament organization have been observed in epithelial injury, cellular stress responses, and epithelial-derived malignancies. As a result, Cytokeratin 18 antibody staining patterns are frequently evaluated in research studies focused on epithelial differentiation, tissue remodeling, and carcinoma biology, particularly in tumors arising from glandular or ductal epithelia.

At the cellular level, Cytokeratin 18 contributes to the organization of the intermediate filament cytoskeleton and supports epithelial cell shape and resilience to mechanical and metabolic stress. Its broad expression across simple epithelial tissues makes KRT18 Antibody a valuable tool for studies of epithelial lineage identification, tissue architecture, and epithelial biology. The KRT18 Antibody (clone rKRT18/7299) is designed to detect Cytokeratin 18 expression in research applications where assessment of epithelial cell populations is required.

Application Notes

Optimal dilution of the recombinant KRT18 antibody should be determined by the researcher.

Immunogen

Recombinant full-length human protein was used as the immunogen for the recombinant KRT18 antibody.

Storage

Aliquot the recombinant KRT18 antibody and store frozen at -20oC or colder. Avoid repeated freeze-thaw cycles.

Cross
Bulk Quote Request Form
Name*:
Organization*:
Email*:
Phone Number*:
Catalog No.*:
Comments and Specifics(amount, formulation, etc.)*:
Validation code: Captchapackage Image


Can't read the image? click here to refresh.
    *required field

Your bulk quote request has been submitted successfully!

Please contact us if you have any questions.