• Tel: 858.663.9055
  • SeparatorEmail: info@nsjbio.com
  • Tel: 858.663.9055
  • Email: info@nsjbio.com
Home >> Antibodies >> Recombinant Keratin 18 Antibody / Cytokeratin 18

Recombinant Keratin 18 Antibody / Cytokeratin 18 [clone CTKN18-2R] (V7395)

  Catalog No Formulation Size Price (USD)  
Image V7395-100UG 0.2 mg/ml in 1X PBS with 0.1 mg/ml BSA (US sourced) and 0.05% sodium azide 100 ug 559
Image
V7395-20UG 0.2 mg/ml in 1X PBS with 0.1 mg/ml BSA (US sourced) and 0.05% sodium azide 20 ug 259
Image
V7395SAF-100UG 1 mg/ml in 1X PBS; BSA free, sodium azide free 100 ug 559
Image
V7395IHC-7ML Prediluted in 1X PBS with 0.1 mg/ml BSA (US sourced) and 0.05% sodium azide; *For IHC use only* 7 ml 559
Microvalidated Recrabbitmono
Bulk quote request
Western blot testing of human HCT116 antibody with recombinant Keratin 18 antibody (clone CTKN18-2R). Predicted molecular weight ~48 kDa.
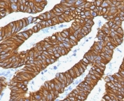
IHC staining of FFPE human colon carinoma with recombinant Keratin 18 antibody (clone CTKN18-2R). Required HIER: boil tissue sections in 10mM citrate buffer, pH 6, for 10-20 min and allow to cool before testing.
Flow cytometry testing of PFA-fixed human HeLa cells with recombinant Keratin 18 antibody (clone CTKN18-2R); Red=isotype control, Blue= recombinant Keratin 18 antibody.
Availability 1-3 business days
Species Reactivity Human
Format Purified
Host Rabbit
Clonality Recombinant Rabbit Monoclonal
Isotype Rabbit IgG, kappa
Clone Name CTKN18-2R
Purity Protein A affinity chromatography
UniProt P05783
Localization Cytoplasmic
Applications Flow Cytometry : 1-2ug/10^6 cells
Western Blot : 1-2ug/ml
Immunohistochemistry (FFPE) : 1-2ug/ml for 30 min at RT
Prediluted IHC Only Format : incubate for 30 min at RT (1)
Limitations This recombinant Keratin 18 antibody is available for research use only.
Review this product on BioCompare and get a $20 Amazon gift card

Related Products

Description

Recombinant Keratin 18 Antibody is a type I cytokeratin the reacts with Cytokeratin 18. It is, together with its filament partner keratin 8, perhaps the most commonly found products of the intermediate filament gene family. They are expressed in single layer epithelial tissues of the body. Mutations in this gene have been linked to cryptogenic cirrhosis. Two transcript variants encoding the same protein have been found for this gene. Keratin 18 is often used together with keratin 8 and keratin 19 to differentiate cells of epithelial origin from hematopoietic cells in tests that enumerate circulating tumor cells in blood. [Wiki]

Application Notes

The stated application concentrations are suggested starting points. Titration of the recombinant Keratin 18 antibody may be required due to differences in protocols and secondary/substrate sensitivity.

1. The prediluted format is supplied in a dropper bottle and is optimized for use in IHC. After epitope retrieval step (if required), drip mAb solution onto the tissue section and incubate at RT for 30 min.

Immunogen

Human full length recombinant protein was used as the immunogen for the recombinant Keratin 18 antibody.

Storage

Store the recombinant Keratin 18 antibody at 2-8oC (with azide) or aliquot and store at -20oC or colder (without azide).

Cross
Bulk Quote Request Form
Name*:
Organization*:
Email*:
Phone Number*:
Catalog No.*:
Comments and Specifics(amount, formulation, etc.)*:
Validation code: Captchapackage Image


Can't read the image? click here to refresh.
    *required field

Your bulk quote request has been submitted successfully!

Please contact us if you have any questions.