• Tel: 858.663.9055
  • SeparatorEmail: info@nsjbio.com
  • Tel: 858.663.9055
  • Email: info@nsjbio.com
Home >> Antibodies >> Keratin 14 Antibody / Cytokeratin 14 / KRT14

Keratin 14 Antibody / Cytokeratin 14 / KRT14 [clone KRT14/7977R] (V4492)

  Catalog No Formulation Size Price (USD)  
Image V4492-100UG 0.2 mg/ml in 1X PBS with 0.1 mg/ml BSA (US sourced), 0.05% sodium azide 100 ug 559
Image
V4492-20UG 0.2 mg/ml in 1X PBS with 0.1 mg/ml BSA (US sourced), 0.05% sodium azide 20 ug 259
Image
V4492SAF-100UG 1 mg/ml in 1X PBS; BSA free, sodium azide free 100 ug 559
Microvalidated Recrabbitmono
Bulk quote request
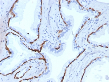
IHC staining of FFPE human prostate tissue with recombinant Keratin 14 antibody (clone KRT14/7977R). HIER: boil tissue sections in pH 9 10mM Tris with 1mM EDTA for 20 min and allow to cool before testing.
SDS-PAGE analysis of purified, BSA-free recombinant Keratin 14 antibody (clone KRT14/7977R) as confirmation of integrity and purity.
Availability 1-3 business days
Species Reactivity Human
Format Purified
Host Rabbit
Clonality Recombinant Rabbit Monoclonal
Isotype Rabbit IgG, kappa
Clone Name KRT14/7977R
Purity Protein A/G affinity
UniProt P02533
Localization Cytoplasm
Applications Immunohistochemistry (FFPE) : 1-2ug/ml for 30 minutes at RT
Limitations This recombinant Keratin 14 antibody is available for research use only.
Review this product on BioCompare and get a $20 Amazon gift card

Related Products

Description

Keratin 14 antibody detects Cytokeratin 14, a member of the type I keratin family of intermediate filament proteins. It always pairs with the type II keratin K5 and form the primary keratin pair of the keratinocytes of stratified squamous epithelia, including the epidermis as well as mucosal non-keratinizing stratified squamous epithelia. Cytokeratin 14 is strongly expressed in the undifferentiated basal cell layer containing the stem cells and are down-regulated in the differentiating suprabasal cell layers. Otherwise, in the widely well stratified follicular outer root sheath, cytokeratin 14 is uniformly expressed throughout all layers. The expression spectrum of cytokeratin 14 in tumors corresponds well to the patterns in normal epithelia. Thus, most squamous cell carcinomas as well as malignant mesotheliomas strongly express this keratin whereas little, focal, or no expression is found in adenocarcinomas. Cytokeratin 14 may be a useful marker in the differential diagnosis of squamous cell carcinoma from other epithelial tumors. Recent studies also indicate that CK14 expression in breast cancer corresponded with poor clinical outcome and that CK14 may have diagnostic value in the sub-classification of NSCLC.

Application Notes

Optimal dilution of the recombinant Keratin 14 antibody should be determined by the researcher.

Immunogen

A recombinant human KRT14 fragment (within amino acids 272-472) was used as the immunogen for the recombinant Keratin 14 antibody.

Storage

Aliquot the recombinant Keratin 14 antibody and store frozen at -20oC or colder. Avoid repeated freeze-thaw cycles.

Cross
Bulk Quote Request Form
Name*:
Organization*:
Email*:
Phone Number*:
Catalog No.*:
Comments and Specifics(amount, formulation, etc.)*:
Validation code: Captchapackage Image


Can't read the image? click here to refresh.
    *required field

Your bulk quote request has been submitted successfully!

Please contact us if you have any questions.