- Tel: 858.663.9055
- 
									 Email: info@nsjbio.com Email: info@nsjbio.com
- Tel: 858.663.9055
- Email: info@nsjbio.com
 Email: info@nsjbio.com
Email: info@nsjbio.com
								Related Products
| 
 | 
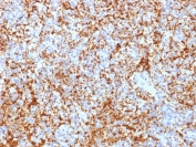
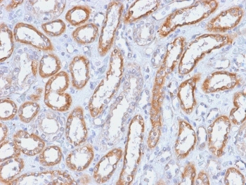
Reacts with human Integrin beta 3, also called CD61. It associates with the alphaV-chain (CD51) to form vitronectin receptor, or with the alpha-IIb-chain (CD41) to form the GpIIb/GpIIIa complex (CD41/CD61). The CD41/CD61 complex appears early in megakaryocyte maturation. The activated CD41/CD61 complex is a receptor for von Willebrand factor, soluble fibrinogen, fibronectin, vitronectin and thrombospondin. It plays a central role in platelet activation and aggregation. The CD51/CD61 is implicated in tumor metastasis and adenoviral infection. The antibody detects platelets in smears of blood and bone marrow, as well as megakaryocytes in frozen sections and cell smears. The antibody is useful for classification of megakaryoblastic leukemia.
Titration of the recombinant Integrin beta 3 antibody may be required due to differences in protocols and secondary/substrate sensitivity.
1. The prediluted format is supplied in a dropper bottle and is optimized for use in IHC. After epitope retrieval step (if required), drip mAb solution onto the tissue section and incubate at RT for 30 min.
Human recombinant protein was used as the immunogen for the recombinant Integrin beta 3 antibody.
Store the recombinant Integrin beta 3 antibody at 2-8oC (with azide) or aliquot and store at -20oC or colder (without azide).
 
Your bulk quote request has been submitted successfully!
Please contact us if you have any questions.