• Tel: 858.663.9055
  • SeparatorEmail: info@nsjbio.com
  • Tel: 858.663.9055
  • Email: info@nsjbio.com
Home >> Antibodies >> Recombinant Insulin Receptor alpha Antibody

Recombinant Insulin Receptor alpha Antibody [clone INSR/2277R] (V3586)

  Catalog No Formulation Size Price (USD)  
Image V3586-100UG 0.2 mg/ml in 1X PBS with 0.1 mg/ml BSA (US sourced) and 0.05% sodium azide 100 ug 559
Image
V3586-20UG 0.2 mg/ml in 1X PBS with 0.1 mg/ml BSA (US sourced) and 0.05% sodium azide 20 ug 259
Image
V3586SAF-100UG 1 mg/ml in 1X PBS; BSA free, sodium azide free 100 ug 559
Image
V3586IHC-7ML Prediluted in 1X PBS with 0.1 mg/ml BSA (US sourced) and 0.05% sodium azide; *For IHC use only* 7 ml 559
Microvalidated Recrabbitmono
Bulk quote request
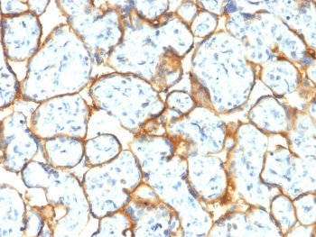
IHC testing of FFPE human placental tissue with recombinant Insulin Receptor alpha antibody (clone INSR/2277R). Required HIER: boil tissue sections in pH6, 10mM citrate buffer, for 10-20 min followed by cooling at RT for 20 min.
SDS-PAGE analysis of purified, BSA-free recombinant Insulin Receptor alpha antibody (clone INSR/2277R) as confirmation of integrity and purity.
Availability 1-3 business days
Species Reactivity Human
Format Purified
Host Rabbit
Clonality Recombinant Rabbit Monoclonal
Isotype Rabbit IgG, kappa
Clone Name INSR/2277R
Purity Protein A affinity chromatography
UniProt P06213
Localization Cytoplasm, cell membrane
Applications Immunohistochemistry (FFPE) : 1-2ug/ml for 30 min at RT
Limitations This recombinant Insulin Receptor alpha antibody is available for research use only.
Review this product on BioCompare and get a $20 Amazon gift card

Related Products

Description

The insulin receptor (INSR) is a heterodimeric protein complex that has an intracellular β subunit and an extracellular α subunit, which is disulfide-linked to a transmembrane segment. The insulin ligand binds to the INSR and initiates molecular signaling pathways that promote glucose uptake in cells and glycogen synthesis. Insulin binding to INSR induces phosphorylation of intra-cellular tyrosine kinase domains and recruitment of multiple SH2 and SH3 domain-containing intracellular proteins that serve as signaling intermediates for pleiotropic effects of insulin. Type 1 diabetes is an autoimmune condition of the endocrine pancreas that results in destruction of insulin secreting cells and a progressive loss in insulin-sensitive glucose uptake by cells.

Application Notes

Optimal dilution of the recombinant Insulin Receptor alpha antibody should be determined by the researcher.

1. The prediluted format is supplied in a dropper bottle and is optimized for use in IHC. After epitope retrieval step (if required), drip mAb solution onto the tissue section and incubate at RT for 30 min.

Immunogen

A recombinant partial protein from the extracellular region of the protein was used as the immunogen for the recombinant Insulin Receptor alpha antibody.

Storage

Store the recombinant Insulin Receptor alpha antibody at 2-8oC (with azide) or aliquot and store at -20oC or colder (without azide).

Cross
Bulk Quote Request Form
Name*:
Organization*:
Email*:
Phone Number*:
Catalog No.*:
Comments and Specifics(amount, formulation, etc.)*:
Validation code: Captchapackage Image


Can't read the image? click here to refresh.
    *required field

Your bulk quote request has been submitted successfully!

Please contact us if you have any questions.