• Tel: 858.663.9055
  • SeparatorEmail: info@nsjbio.com
  • Tel: 858.663.9055
  • Email: info@nsjbio.com
Home >> Antibodies >> Recombinant INSM1 Antibody INSM1/6286R / Insulinoma associated protein 1 Antibody

Recombinant INSM1 Antibody INSM1/6286R / Insulinoma associated protein 1 Antibody [clone INSM1/6286R] (V9370)

  Catalog No Formulation Size Price (USD)  
Image V9370-100UG 0.2 mg/ml in 1X PBS with 0.1 mg/ml BSA (US sourced), 0.05% sodium azide 100 ug 559
Image
V9370-20UG 0.2 mg/ml in 1X PBS with 0.1 mg/ml BSA (US sourced), 0.05% sodium azide 20 ug 259
Image
V9370SAF-100UG 1 mg/ml in 1X PBS; BSA free, sodium azide free 100 ug 559
Microvalidated Recrabbitmono
Bulk quote request
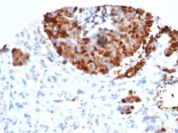
Recombinant INSM1 Antibody (clone INSM1/6286R). Immunohistochemistry of Insulinoma-associated protein 1 (INSM1) in formalin-fixed, paraffin-embedded human bladder carcinoma tissue using Recombinant INSM1 Antibody INSM1/6286R. Distinct nuclear HRP-DAB staining highlights INSM1-positive tumor cells, consistent with the nuclear localization of this neuroendocrine transcription factor and indicating neuroendocrine differentiation within the carcinoma. Surrounding stromal elements and non-neoplastic cells show minimal staining. Antigen retrieval was performed by boiling tissue sections in 10 mM Tris with 1 mM EDTA, pH 9, for 20 minutes followed by cooling prior to antibody incubation.
IHC staining of FFPE human neuroendocrine tumor tissue with recombinant INSM1 antibody (clone INSM1/6286R). HIER: boil tissue sections in pH 9 10mM Tris with 1mM EDTA for 20 min and allow to cool before testing.
Availability 1-3 business days
Species Reactivity Human
Format Purified
Host Rabbit
Clonality Recombinant Rabbit Monoclonal
Isotype Rabbit IgG
Clone Name INSM1/6286R
Purity Protein A/G affinity
UniProt Q01101
Localization Nuclear
Applications Immunohistochemistry (FFPE) : 1-2ug/ml
Limitations This INSM1 antibody is available for research use only.
Review this product on BioCompare and get a $20 Amazon gift card

Related Products

Description

Insulinoma-associated protein 1 (INSM1) is a zinc finger transcription factor encoded by the INSM1 gene that plays an important role in the development and differentiation of neuroendocrine cells. The protein was first identified in insulinoma tumors and is now widely recognized as a marker of neuroendocrine lineage. Recombinant INSM1 Antibody (clone INSM1/6286R) recognizes the INSM1 transcription factor, which is also referred to in the literature as Insulinoma associated protein 1 antibody and IA-1 antibody, and is used to investigate neuroendocrine cell identity and transcriptional regulation.

INSM1 functions as a transcriptional regulator controlling genes involved in endocrine lineage specification and hormone producing cell maturation. During embryonic development, expression of INSM1 occurs in progenitor cells that give rise to pancreatic endocrine cells, gastrointestinal neuroendocrine cells, and several neuronal lineages. Through regulation of downstream transcriptional programs, INSM1 contributes to the differentiation of specialized hormone secreting cells and the establishment of endocrine tissue architecture.

The INSM1 protein localizes predominantly to the nucleus, consistent with its role as a transcription factor that regulates gene expression. Nuclear localization allows clear visualization of INSM1-positive cells when examining tissue sections or cultured cells. In normal adult tissues, expression is typically restricted to neuroendocrine cell populations including pancreatic islet cells, bronchial neuroendocrine cells of the respiratory epithelium, and scattered endocrine cells within the gastrointestinal mucosa. These restricted expression patterns make INSM1 a useful molecular indicator of neuroendocrine differentiation.

In tumor biology, INSM1 expression is strongly associated with neuroendocrine neoplasms. Increased expression has been observed in tumors such as small cell lung carcinoma, pulmonary neuroendocrine tumors, Merkel cell carcinoma, and pancreatic neuroendocrine tumors. Because these malignancies frequently retain transcriptional programs characteristic of neuroendocrine lineage cells, detection of INSM1 can provide insight into tumor cell differentiation state and lineage origin.

Large scale tissue expression profiling further demonstrates the selective distribution of INSM1 across human tissues. Strong expression is typically detected in endocrine cell populations and neuroendocrine tumor types, whereas most non-neuroendocrine epithelial tissues show little or no detectable signal. These expression patterns highlight the biological specificity of INSM1 and its association with endocrine and neuroendocrine differentiation pathways.

Recombinant INSM1 Antibody (clone INSM1/6286R) is a rabbit monoclonal antibody developed to recognize the INSM1 transcription factor in research applications. This antibody supports studies investigating neuroendocrine differentiation, endocrine cell biology, and transcriptional mechanisms underlying neuroendocrine tumor development.

Application Notes

Optimal dilution of the Recombinant INSM1 Antibody INSM1/6286R should be determined by the researcher.

Immunogen

A portion of amino acids 81-125 was used as the immunogen for the recombinant INSM1 antibody.

Storage

Aliquot the INSM1 antibody and store frozen at -20oC or colder. Avoid repeated freeze-thaw cycles.

Alternate Names

Insulinoma associated protein 1 antibody, IA-1 antibody, Zinc finger protein INSM1 antibody, Insulinoma associated transcription factor 1 antibody

Cross
Bulk Quote Request Form
Name*:
Organization*:
Email*:
Phone Number*:
Catalog No.*:
Comments and Specifics(amount, formulation, etc.)*:
Validation code: Captchapackage Image


Can't read the image? click here to refresh.
    *required field

Your bulk quote request has been submitted successfully!

Please contact us if you have any questions.