• Tel: 858.663.9055
  • SeparatorEmail: info@nsjbio.com
  • Tel: 858.663.9055
  • Email: info@nsjbio.com
Home >> Antibodies >> INHA Antibody Rabbit Monoclonal / Inhibin alpha INHA Antibody

INHA Antibody Rabbit Monoclonal / Inhibin alpha INHA Antibody [clone INHA/6598R] (V9156)

  Catalog No Formulation Size Price (USD)  
Image V9156-100UG 0.2 mg/ml in 1X PBS with 0.1 mg/ml BSA (US sourced), 0.05% sodium azide 100 ug 559
Image
V9156-20UG 0.2 mg/ml in 1X PBS with 0.1 mg/ml BSA (US sourced), 0.05% sodium azide 20 ug 259
Image
V9156SAF-100UG 1 mg/ml in 1X PBS; BSA free, sodium azide free 100 ug 559
Microvalidated Recrabbitmono
Bulk quote request
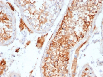
INHA Antibody Rabbit Monoclonal (clone INHA/6598R) IHC staining of human testis. Immunohistochemistry analysis of FFPE human testis tissue using INHA Antibody Rabbit Monoclonal (clone INHA/6598R) shows HRP-DAB brown cytoplasmic staining in testicular cells within seminiferous tubules, consistent with Inhibin subunit alpha (INHA) expression in Sertoli cell populations, while surrounding stromal elements show minimal staining. HIER: tissue sections were boiled in pH 9 10mM Tris with 1mM EDTA for 20 minutes and allowed to cool before testing.
INHA Antibody Rabbit Monoclonal (clone INHA/6598R) IHC staining of human testicular carcinoma. Immunohistochemistry analysis of FFPE human testicular carcinoma tissue using INHA Antibody Rabbit Monoclonal (clone INHA/6598R) at 2 ug/ml in PBS for 30 minutes at room temperature shows strong HRP-DAB brown cytoplasmic staining in tumor cells, consistent with Inhibin subunit alpha (INHA) expression in sex cord or steroidogenic tumor cell populations, while surrounding stromal elements remain largely negative. HIER: tissue sections were boiled in pH 9 10mM Tris with 1mM EDTA for 20 minutes and allowed to cool before testing.
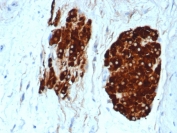
Negative control: IHC staining of FFPE human brain tissue using recombinant INHA antibody (clone INHA/6598R) at 2ug/ml in PBS for 30min RT. HIER: boil tissue sections in pH 9 10mM Tris with 1mM EDTA for 20 min and allow to cool before testing.
SDS-PAGE analysis of purified, BSA-free recombinant INHA antibody (clone INHA/6598R) as confirmation of integrity and purity.
Availability 1-3 business days
Species Reactivity Human
Format Purified
Host Rabbit
Clonality Recombinant Rabbit Monoclonal
Isotype Rabbit IgG
Clone Name INHA/6598R
Purity Protein A/G affinity
UniProt P05111
Localization Cytoplasm, Nucleus
Applications Immunohistochemistry (FFPE) : 1-2ug/ml
Limitations This recombinant INHA antibody is available for research use only.
Review this product on BioCompare and get a $20 Amazon gift card

Related Products

Description

Inhibin subunit alpha (INHA) is a secreted glycoprotein hormone component encoded by the INHA gene and produced primarily by granulosa cells of the ovary and Sertoli cells of the testis. The protein is widely referred to as Inhibin alpha and forms part of the heterodimeric hormones inhibin A and inhibin B. INHA Antibody Rabbit Monoclonal (clone INHA/6598R) recognizes the INHA protein and enables detection of inhibin alpha expression in studies examining reproductive biology and endocrine related tumors.

Inhibins belong to the transforming growth factor beta (TGF beta) superfamily of signaling molecules. The inhibin alpha subunit associates with either the beta A or beta B subunit to form inhibin A or inhibin B respectively. These hormones function as endocrine regulators that suppress secretion of follicle stimulating hormone (FSH) from the anterior pituitary gland, thereby playing an important role in regulating gonadal endocrine signaling and reproductive physiology.

In normal tissues, INHA expression is most prominent in ovarian granulosa cells and testicular Sertoli cells. The protein is synthesized as a precursor that undergoes proteolytic processing before secretion. Through its endocrine activity, inhibin alpha participates in the feedback regulation of reproductive hormone signaling and contributes to control of follicular development and spermatogenesis.

Expression of inhibin alpha has also been documented in several tumor types derived from steroidogenic or sex cord stromal cell lineages. INHA expression has been reported in ovarian granulosa cell tumors, other sex cord stromal tumors, and certain adrenal cortical tumors. Detection of inhibin alpha protein therefore supports research examining endocrine tumor biology and the differentiation of steroid producing tissues.

INHA Antibody Rabbit Monoclonal (clone INHA/6598R) provides a reagent for detecting INHA protein in studies investigating gonadal development, reproductive hormone signaling, and endocrine tumor biology. Monoclonal antibodies recognize a defined epitope within the target antigen, enabling consistent antigen recognition and supporting investigation of inhibin alpha expression in molecular and cellular research systems.

Application Notes

Optimal dilution of the INHA Antibody Rabbit Monoclonal antibody should be determined by the researcher.

Immunogen

A portion of amino acids 233-362 was used as the immunogen for the recombinant INHA antibody.

Storage

Aliquot the recombinant INHA antibody and store frozen at -20oC or colder. Avoid repeated freeze-thaw cycles.

Alternate Names

Inhibin alpha antibody, Inhibin alpha subunit antibody, Inhibin A alpha antibody, Gonadal inhibin alpha antibody

Cross
Bulk Quote Request Form
Name*:
Organization*:
Email*:
Phone Number*:
Catalog No.*:
Comments and Specifics(amount, formulation, etc.)*:
Validation code: Captchapackage Image


Can't read the image? click here to refresh.
    *required field

Your bulk quote request has been submitted successfully!

Please contact us if you have any questions.