• Tel: 858.663.9055
  • SeparatorEmail: info@nsjbio.com
  • Tel: 858.663.9055
  • Email: info@nsjbio.com
Home >> Antibodies >> Recombinant IL3RA Antibody / CD123

Recombinant IL3RA Antibody / CD123 [clone CDLA123-1R] (V7468)

  Catalog No Formulation Size Price (USD)  
Image V7468-100UG 0.2 mg/ml in 1X PBS with 0.1 mg/ml BSA (US sourced) and 0.05% sodium azide 100 ug 559
Image
V7468-20UG 0.2 mg/ml in 1X PBS with 0.1 mg/ml BSA (US sourced) and 0.05% sodium azide 20 ug 259
Image
V7468SAF-100UG 1 mg/ml in 1X PBS; BSA free, sodium azide free 100 ug 559
Image
V7468IHC-7ML Prediluted in 1X PBS with 0.1 mg/ml BSA (US sourced) and 0.05% sodium azide; *For IHC use only* 7 ml 559
Microvalidated Recrabbitmono
Bulk quote request
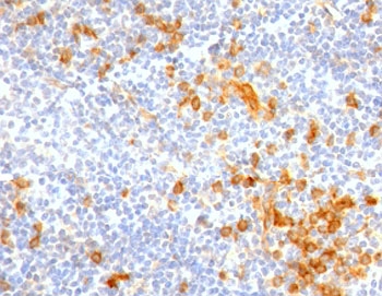
IHC staining of FFPE human tonsil with IL3RA/CD123 antibody (clone CDLA123-1R). HIER: boil tissue sections in 10mM Tris with 1mM EDTA, pH 9 for 10-20 min and allow to cool.
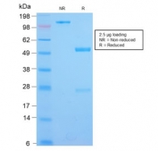
SDS-PAGE analysis of purified, BSA-free IL3RA/CD123 antibody (clone CDLA123-1R) as confirmation of integrity and purity.
Availability 1-3 business days
Species Reactivity Human
Format Purified
Host Rabbit
Clonality Recombinant Rabbit Monoclonal
Isotype Rabbit IgG, kappa
Clone Name CDLA123-1R
Purity Protein A affinity chromatography
UniProt P26951
Localization Cell surface, Cytoplasmic
Applications Immunohistochemistry (FFPE) : 0.25-0.5ug/ml for 30 min at RT
Prediluted IHC Only Format : incubate for 30 min at RT (1)
Limitations This recombinant IL3RA/CD123 antibody is available for research use only.
Review this product on BioCompare and get a $20 Amazon gift card

Related Products

Description

Recombinant IL3RA antibody targets Interleukin 3 receptor alpha, a cell surface cytokine receptor subunit encoded by the IL3RA gene and commonly referred to as CD123. Interleukin 3 receptor alpha serves as the primary ligand-binding component of the interleukin-3 receptor complex and is predominantly localized to the plasma membrane. Association with the shared beta chain enables signal transduction following cytokine engagement, linking IL3RA expression directly to regulation of hematopoietic and immune cell function.

Interleukin 3 receptor alpha is expressed across a range of hematopoietic cell types and displays dynamic regulation during immune development and activation. CD123 expression is detectable on hematopoietic stem and progenitor cells, monocytes, basophils, plasmacytoid dendritic cells, and select lymphoid populations. Because of this expression pattern, a recombinant IL3RA antibody is frequently used in studies examining immune cell differentiation, cytokine responsiveness, and lineage specification within the hematopoietic system.

IL3RA-mediated signaling supports key cellular processes including survival, proliferation, and functional maturation. Engagement of interleukin-3 with its receptor complex activates downstream pathways that influence cell fate decisions and immune cell expansion. Alterations in IL3RA expression levels have been linked to aberrant cytokine signaling and dysregulated immune responses, underscoring the importance of accurate IL3RA detection in experimental research.

Elevated expression of Interleukin 3 receptor alpha has been reported in multiple hematologic malignancies, where CD123 is often enriched on malignant cell populations compared with normal counterparts. As a result, recombinant IL3RA antibody reagents are widely applied in research investigating disease-associated changes in cytokine receptor expression, leukemic cell biology, and immune microenvironment interactions.

This recombinant IL3RA antibody is produced through controlled expression systems to ensure consistent antibody composition and performance across research applications. Clone CDLA123-1R is designed to recognize Interleukin 3 receptor alpha / CD123 and supports studies focused on immune signaling, hematopoiesis, and cytokine receptor biology. NSJ Bioreagents offers this recombinant IL3RA antibody for research use in immune and hematologic studies.

Application Notes

The stated application concentrations are suggested starting points. Titration of the recombinant IL3RA/CD123 antibody may be required due to differences in protocols and secondary/substrate sensitivity.

1. The prediluted format is supplied in a dropper bottle and is optimized for use in IHC. After epitope retrieval step (if required), drip mAb solution onto the tissue section and incubate at RT for 30 min.

Immunogen

A portion of amino acids 26-171 was used as the immunogen for the recombinant IL3RA/CD123 antibody.

Storage

Store the recombinant IL3RA/CD123 antibody at 2-8oC (with azide) or aliquot and store at -20oC or colder (without azide).

Cross
Bulk Quote Request Form
Name*:
Organization*:
Email*:
Phone Number*:
Catalog No.*:
Comments and Specifics(amount, formulation, etc.)*:
Validation code: Captchapackage Image


Can't read the image? click here to refresh.
    *required field

Your bulk quote request has been submitted successfully!

Please contact us if you have any questions.