• Tel: 858.663.9055
  • SeparatorEmail: info@nsjbio.com
  • Tel: 858.663.9055
  • Email: info@nsjbio.com
Home >> Antibodies >> Recombinant IgD Heavy Chain Antibody IGHD/8228R / Immunoglobulin D Heavy Chain Antibody

Recombinant IgD Heavy Chain Antibody IGHD/8228R / Immunoglobulin D Heavy Chain Antibody [clone IGHD/8228R] (V4340)

  Catalog No Formulation Size Price (USD)  
Image V4340-100UG 0.2 mg/ml in 1X PBS with 0.1 mg/ml BSA (US sourced), 0.05% sodium azide 100 ug 559
Image
V4340-20UG 0.2 mg/ml in 1X PBS with 0.1 mg/ml BSA (US sourced), 0.05% sodium azide 20 ug 259
Image
V4340SAF-100UG 1 mg/ml in 1X PBS; BSA free, sodium azide free 100 ug 559
Microvalidated Recrabbitmono
Bulk quote request
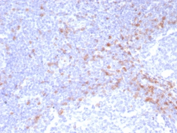
Recombinant IgD Heavy Chain Antibody IGHD/8228R immunohistochemistry analysis of human tonsil tissue. Formalin-fixed paraffin-embedded human tonsil tissue stained with Recombinant IgD Heavy Chain Antibody IGHD/8228R shows HRP-DAB brown chromogenic staining in B lymphocytes within lymphoid follicles. Positive cells are distributed primarily in mantle zone regions surrounding germinal centers and display membranous and cytoplasmic staining consistent with IgD expression in mature naive B cells. Heat induced epitope retrieval was performed by boiling tissue sections in pH 9 10mM Tris with 1mM EDTA for 20 minutes followed by cooling prior to antibody incubation.
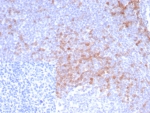
Recombinant IgD Heavy Chain Antibody IGHD/8228R immunohistochemistry analysis of human tonsil tissue. Formalin-fixed paraffin-embedded human tonsil tissue stained with Recombinant IgD Heavy Chain Antibody IGHD/8228R shows HRP-DAB brown chromogenic staining in B lymphocytes within lymphoid follicles, with positive cells distributed predominantly in mantle zone regions surrounding germinal centers. Staining is localized to the cell membrane and cytoplasm of IgD-positive B cells consistent with expression of Immunoglobulin D in mature naive B lymphocytes. The inset shows the negative control in which PBS was used in place of the primary antibody, demonstrating absence of specific staining. Heat induced epitope retrieval was performed by boiling tissue sections in pH 9 10mM Tris with 1mM EDTA for 20 minutes followed by cooling prior to antibody incubation.
Availability 1-3 business days
Species Reactivity Human
Format Purified
Host Rabbit
Clonality Recombinant Rabbit Monoclonal
Isotype Rabbit IgG, kappa
Clone Name IGHD/8228R
Purity Protein A/G affinity
UniProt P01880
Localization Cytoplasm
Applications Immunohistochemistry (FFPE) : 1-2ug/ml for 30 minutes at RT
Limitations This recombinant IgD Heavy Chain antibody is available for research use only.
Review this product on BioCompare and get a $20 Amazon gift card

Related Products

Description

Immunoglobulin D (IgD) is an antibody isotype primarily expressed on the surface of mature naive B lymphocytes and functions as part of the B cell receptor complex involved in antigen recognition and immune activation. The IgD heavy chain is encoded by the IGHD gene and pairs with immunoglobulin light chains to form the antigen-binding receptor expressed on B cells. Recombinant IgD Heavy Chain Antibody IGHD/8228R recognizes the delta heavy chain of IgD and enables detection of IgD-expressing B lymphocytes in studies examining lymphoid tissue architecture and immune cell populations.

IgD belongs to the immunoglobulin superfamily and consists of two delta heavy chains paired with two light chains, forming a monomeric immunoglobulin molecule. On mature B lymphocytes, membrane-bound IgD is typically co-expressed with surface IgM and participates in antigen receptor signaling. Engagement of the IgD-containing B cell receptor complex activates intracellular signaling pathways that regulate B cell activation, survival, and differentiation within the adaptive immune system.

In normal human tissues, IgD expression is most prominent in B lymphocytes located in secondary lymphoid organs such as tonsil, lymph node, and spleen. Within lymphoid follicles, IgD-positive B cells are typically concentrated in mantle zones that surround germinal centers, reflecting the presence of mature naive B cells that have not yet undergone class-switch recombination. This characteristic distribution makes IgD immunostaining useful for identifying B cell subsets and evaluating follicular organization in lymphoid tissues.

Detection of the IgD heavy chain can also support investigations into lymphoid malignancies and immune-related disorders. Immunoglobulin expression patterns contribute to characterization of B cell lineage and differentiation stage in certain lymphomas and plasma cell disorders. IgD heavy chain detection therefore plays a role in studies focused on B cell biology, antibody production, and tumor-associated immune cell populations.

A recombinant IgD Heavy Chain Antibody such as clone IGHD/8228R provides a sensitive reagent for detecting IgD-expressing B lymphocytes in research applications involving lymphoid tissues and immune responses. Staining patterns typically show membranous and cytoplasmic localization in B cells consistent with the distribution of IgD as part of the B cell receptor complex.

Application Notes

Optimal dilution of the Recombinant IgD Heavy Chain Antibody IGHD/8228R should be determined by the researcher.

Immunogen

A recombinant partial protein sequence (within amino acids 1-200) from the human protein was used as the immunogen for the recombinant IgD Heavy Chain antibody.

Storage

Aliquot the recombinant IgD Heavy Chain antibody and store frozen at -20oC or colder. Avoid repeated freeze-thaw cycles.

Alternate Names

Immunoglobulin D heavy chain antibody, IgD antibody, IGHD antibody, Delta heavy chain antibody

Cross
Bulk Quote Request Form
Name*:
Organization*:
Email*:
Phone Number*:
Catalog No.*:
Comments and Specifics(amount, formulation, etc.)*:
Validation code: Captchapackage Image


Can't read the image? click here to refresh.
    *required field

Your bulk quote request has been submitted successfully!

Please contact us if you have any questions.