• Tel: 858.663.9055
  • SeparatorEmail: info@nsjbio.com
  • Tel: 858.663.9055
  • Email: info@nsjbio.com
Home >> Antibodies >> Recombinant IgD Antibody Rabbit Monoclonal IGHD/6818R / Immunoglobulin D Antibody

Recombinant IgD Antibody Rabbit Monoclonal IGHD/6818R / Immunoglobulin D Antibody [clone IGHD/6818R] (V4323)

  Catalog No Formulation Size Price (USD)  
Image V4323-100UG 0.2 mg/ml in 1X PBS with 0.1 mg/ml BSA (US sourced), 0.05% sodium azide 100 ug 559
Image
V4323-20UG 0.2 mg/ml in 1X PBS with 0.1 mg/ml BSA (US sourced), 0.05% sodium azide 20 ug 259
Image
V4323SAF-100UG 1 mg/ml in 1X PBS; BSA free, sodium azide free 100 ug 559
Microvalidated Recrabbitmono
Bulk quote request
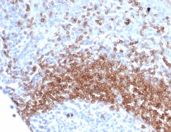
Recombinant IgD Antibody Rabbit Monoclonal IGHD/6818R immunohistochemistry analysis of human tonsil tissue. Formalin-fixed paraffin-embedded human tonsil tissue stained with Recombinant IgD Antibody Rabbit Monoclonal IGHD/6818R shows HRP-DAB brown chromogenic staining in B lymphocytes within lymphoid follicles. Positive cells are concentrated in mantle zone regions surrounding germinal centers and display membranous and cytoplasmic staining consistent with Immunoglobulin D expression in mature naive B lymphocytes. The inset shows the negative control in which PBS was used in place of the primary antibody, demonstrating absence of specific staining. Heat induced epitope retrieval was performed by boiling tissue sections in pH 9 10mM Tris with 1mM EDTA for 20 minutes followed by cooling prior to antibody incubation.
Recombinant IgD Antibody Rabbit Monoclonal IGHD/6818R immunohistochemistry analysis of human lymph node tissue. Formalin-fixed paraffin-embedded human lymph node tissue stained with Recombinant IgD Antibody Rabbit Monoclonal IGHD/6818R shows HRP-DAB brown chromogenic staining in B lymphocytes within lymphoid follicles. Positive cells are predominantly localized to mantle zone regions surrounding germinal centers and display membranous and cytoplasmic staining consistent with Immunoglobulin D expression in mature naive B lymphocytes. The inset shows the negative control in which PBS was used in place of the primary antibody, demonstrating absence of specific staining. Heat induced epitope retrieval was performed by boiling tissue sections in pH 9 10mM Tris with 1mM EDTA for 20 minutes followed by cooling prior to antibody incubation.
Availability 1-3 business days
Species Reactivity Human
Format Purified
Host Rabbit
Clonality Recombinant Rabbit Monoclonal
Isotype Rabbit IgG, kappa
Clone Name IGHD/6818R
Purity Protein A/G affinity
UniProt P01880
Localization Cytoplasm
Applications Immunohistochemistry (FFPE) : 1-2ug/ml for 30 minutes at RT
Limitations This recombinant IgD antibody is available for research use only.
Review this product on BioCompare and get a $20 Amazon gift card

Related Products

Description

Immunoglobulin D (IgD) is an antibody isotype primarily expressed on the surface of mature naive B lymphocytes and functions as part of the B cell receptor complex responsible for antigen recognition and immune activation. IgD is encoded by the IGHD gene and forms a membrane-bound immunoglobulin together with light chains on B cells. Recombinant IgD Antibody Rabbit Monoclonal IGHD/6818R recognizes Immunoglobulin D and enables detection of IgD-expressing B lymphocytes in studies examining lymphoid tissue organization and adaptive immune responses.

IgD belongs to the immunoglobulin superfamily and consists of two delta heavy chains paired with two immunoglobulin light chains, forming a monomeric antibody molecule typical of most immunoglobulins. On mature B lymphocytes, membrane-bound IgD is commonly co-expressed with surface IgM and contributes to antigen receptor signaling. Engagement of the IgD-containing B cell receptor complex activates intracellular signaling pathways that regulate B cell activation, survival, and differentiation within the adaptive immune system.

In normal human tissues, IgD expression is most prominent in B lymphocytes located in secondary lymphoid organs such as tonsil, lymph node, and spleen. Within lymphoid follicles, IgD-positive B cells are typically enriched in mantle zone regions surrounding germinal centers, reflecting the presence of mature naive B cells prior to class-switch recombination. This distribution pattern makes IgD immunostaining useful for identifying B cell subsets and evaluating follicular architecture in lymphoid tissues.

Detection of IgD expression can also contribute to research examining lymphoid malignancies and immune-related diseases. Immunoglobulin markers including IgD are used to study B cell lineage, differentiation status, and tumor-associated immune cell populations in hematologic and immunologic investigations.

A recombinant rabbit monoclonal IgD antibody such as clone IGHD/6818R provides a sensitive reagent for detecting IgD in research applications involving lymphoid tissues and B cell biology. Staining patterns typically reveal membranous and cytoplasmic localization in B lymphocytes consistent with IgD distribution as a component of the B cell receptor complex.

Application Notes

Optimal dilution of the Recombinant IgD Antibody Rabbit Monoclonal IGHD/6818R should be determined by the researcher.

Immunogen

A recombinant partial protein sequence (within amino acids 1-200) from the human protein was used as the immunogen for the recombinant IgD antibody IGHD/6818R.

Storage

Aliquot the recombinant IgD antibody and store frozen at -20oC or colder. Avoid repeated freeze-thaw cycles.

Alternate Names

Immunoglobulin D antibody, IgD antibody, IGHD antibody, IgD heavy chain antibody

Cross
Bulk Quote Request Form
Name*:
Organization*:
Email*:
Phone Number*:
Catalog No.*:
Comments and Specifics(amount, formulation, etc.)*:
Validation code: Captchapackage Image


Can't read the image? click here to refresh.
    *required field

Your bulk quote request has been submitted successfully!

Please contact us if you have any questions.