• Tel: 858.663.9055
  • SeparatorEmail: info@nsjbio.com
  • Tel: 858.663.9055
  • Email: info@nsjbio.com
Home >> Antibodies >> Biotinylated Human Lambda Light Chain Antibody for ELISA / Anti-Human Lambda ELISA Antibody

Biotinylated Human Lambda Light Chain Antibody for ELISA / Anti-Human Lambda ELISA Antibody [clone RM127] (R20179BTN)

  Catalog No Formulation Size Price (USD)  
Image R20179BTN-50UG 1 mg/ml in PBS with 50% glycerol, 1% BSA and 0.09% sodium azide 50 ug 439
Microvalidated Recrabbitmono
Bulk quote request
Biotinylated Human Lambda Light Chain Antibody for ELISA-Lambda Specificity Analysis. ELISA analysis using the unlabeled parent Human Lambda Light Chain Antibody for ELISA clone RM127 demonstrates selective reactivity to lambda light chains across multiple human immunoglobulin classes. No cross-reactivity is observed with kappa light chains or with mouse, rat, or goat IgG, confirming high specificity. The biotinylated Human Lambda Light Chain Antibody for ELISA is derived from this parent antibody and is designed for use in streptavidin-based detection systems to enable enhanced sensitivity in ELISA applications involving lambda light chain detection.
Biotinylated Human Lambda Light Chain Antibody for ELISA-Human IgG3 Lambda Titration Curve. ELISA titration analysis using the unlabeled parent Human Lambda Light Chain Antibody for ELISA clone RM127 demonstrates concentration-dependent detection of human IgG3 lambda-coated wells. Plates were coated with varying amounts of human IgG3 lambda and incubated with serial dilutions of RM127, followed by detection using an alkaline phosphatase-conjugated anti-rabbit IgG secondary antibody. The biotinylated Human Lambda Light Chain Antibody for ELISA is derived from this parent antibody and is designed for use in streptavidin-based detection systems to enable enhanced sensitivity in ELISA applications involving lambda light chain detection.
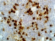
Biotinylated Human Lambda Light Chain Antibody for IHC-Human Tonsil Tissue Staining. Immunohistochemistry analysis of Human Lambda Light Chain expression in FFPE human tonsil tissue using the unlabeled parent Human Lambda Light Chain Antibody clone RM127 demonstrates strong cytoplasmic HRP-DAB brown staining in scattered plasma cells within lymphoid regions. The biotinylated Human Lambda Light Chain Antibody is derived from this parent antibody and is designed for use in streptavidin-based detection systems to enhance signal sensitivity in IHC applications. Heat-induced epitope retrieval was performed using either pH 6 citrate buffer or pH 9 Tris-EDTA buffer, supporting consistent staining performance in FFPE tissue sections.
Availability 1-3 business days
Species Reactivity Human
Format Biotin Conjugate
Host Rabbit
Clonality Recombinant Rabbit Monoclonal
Isotype Rabbit IgG, kappa
Clone Name RM127
Purity Protein A purified from animal origin-free supernatant
UniProt P0CG04
Gene ID 3537
Applications ELISA : 0.05-0.2ug/ml
Immunocytochemistry : 0.5-2ug/ml
Immunohistochemistry : 0.5-2ug/ml
Limitations This Biotinylated Human Lambda Light Chain Antibody for ELISA / Anti-Human Lambda ELISA Antibody is available for research use only.
Review this product on BioCompare and get a $20 Amazon gift card

Related Products

Description

Human immunoglobulin lambda light chains are integral components of antibodies, forming part of the antigen-binding structure in conjunction with heavy chains and contributing to immune recognition and specificity. Biotinylated Human Lambda Light Chain Antibody for ELISA is specifically designed for use in biotin-streptavidin detection systems, enabling enhanced sensitivity and signal amplification in ELISA-based assays. By selectively recognizing lambda light chains, this antibody supports precise and high-sensitivity detection of lambda-containing immunoglobulins across a variety of biological sample types, including serum, plasma, and cell culture supernatants. This makes it particularly valuable in ELISA workflows requiring detection of low-abundance antibodies or subtle changes in antibody levels.

Human lambda light chain antibody, also referred to as anti-human lambda antibody or Ig lambda antibody in the literature, recognizes conserved regions present across lambda light chains in multiple immunoglobulin classes, including IgG, IgM, IgA, and IgE. This broad reactivity ensures consistent detection in sandwich ELISA formats, where the antibody functions as a detection reagent following antigen or antibody capture. The Biotinylated Human Lambda Light Chain Antibody for ELISA is optimized for detection workflows utilizing enzyme-linked streptavidin systems, supporting high-sensitivity immunoassay development and quantitative ELISA applications that require enhanced signal output.

The biotin-conjugated format provides a significant functional advantage by enabling strong and specific interaction with streptavidin-conjugated enzymes such as HRP or alkaline phosphatase. This interaction results in amplified signal intensity and improved detection limits compared to unlabeled detection strategies. As a result, this antibody is particularly well suited for assays involving low analyte concentrations, limited sample input, or experimental conditions where maximizing signal-to-noise ratio is critical. The amplification capability of the biotin-streptavidin system allows more sensitive detection of lambda-containing immunoglobulins while maintaining specificity.

Selective detection of lambda light chains combined with signal amplification provides a powerful approach for applications such as antibody screening, immune profiling, and biomarker analysis. This antibody supports detailed analysis of lambda-bearing antibody populations, enabling researchers to distinguish light chain usage patterns while achieving enhanced detection sensitivity. These features make it especially useful in advanced ELISA workflows where both specificity and sensitivity are required.

Clone RM127 is a rabbit monoclonal antibody engineered for high affinity and reproducible performance in ELISA-based detection systems. Its recombinant design supports consistent batch-to-batch reliability, which is essential for quantitative immunoassays. This antibody targets human lambda light chains in research applications requiring sensitive, specific, and amplification-capable ELISA detection, making it well suited for antibody quantification, immune monitoring, and immunoassay optimization.

This antibody is part of the lambda antibody collection, where additional lambda light chain antibodies can be explored.

Application Notes

The stated application concentrations are suggested starting points. Titration of the Biotinylated Human Lambda Light Chain Antibody for ELISA / Anti-Human Lambda ELISA Antibody may be required due to differences in protocols and secondary/substrate sensitivity.

Immunogen

Human IgG was used as the immunogen for this recombinant Human Lambda Light Chain antibody.

Storage

Store the recombinant Human Lambda Light Chain antibody at -20oC.

Alternate Names

Human lambda biotin antibody, lambda light chain biotin ELISA antibody, anti-human lambda chain biotin antibody, human Ig lambda biotin antibody, lambda chain biotin detection antibody

Cross
Bulk Quote Request Form
Name*:
Organization*:
Email*:
Phone Number*:
Catalog No.*:
Comments and Specifics(amount, formulation, etc.)*:
Validation code: Captchapackage Image


Can't read the image? click here to refresh.
    *required field

Your bulk quote request has been submitted successfully!

Please contact us if you have any questions.