• Tel: 858.663.9055
  • SeparatorEmail: info@nsjbio.com
  • Tel: 858.663.9055
  • Email: info@nsjbio.com
Home >> Antibodies >> Human IgG4 Antibody for ELISA / Hinge Region IgG4 Detection Antibody

Human IgG4 Antibody for ELISA / Hinge Region IgG4 Detection Antibody [clone RM120] (R20190)

  Catalog No Formulation Size Price (USD)  
Image R20190-100UG 1 mg/ml in PBS with 50% glycerol, 1% BSA and 0.09% sodium azide 100 ug 439
Microvalidated Recrabbitmono
Bulk quote request
Human IgG4 Antibody for ELISA Sandwich ELISA Human Plasma. Sandwich ELISA analysis of human plasma demonstrates that clone RM120 functions effectively as a capture antibody for Human IgG4 / IGHG4, with signal intensity decreasing proportionally with sample dilution, indicating robust and concentration-dependent detection. Captured IgG4 was detected using a biotinylated anti-human light chains (kappa + lambda) antibody (clone RM129), followed by alkaline phosphatase-conjugated streptavidin for signal development. The dilution-dependent signal supports selective capture of IgG4 and reflects hinge region-directed recognition, enabling subclass-specific detection in complex biological samples.
Human IgG4 Antibody for ELISA Sandwich ELISA Human IgG4. Sandwich ELISA analysis using purified human IgG4 demonstrates that clone RM120 functions effectively as a capture antibody for Human IgG4 / IGHG4, with signal intensity decreasing proportionally with antigen concentration, indicating strong and concentration-dependent detection. Captured IgG4 was detected using a biotinylated anti-human light chains (kappa + lambda) antibody (clone RM129), followed by alkaline phosphatase-conjugated streptavidin for signal development. The concentration-dependent signal supports efficient capture of IgG4 and reflects hinge region-directed recognition, enabling subclass-specific detection with reduced cross-reactivity.
Human IgG4 Antibody WB. Western blot analysis of human, mouse, rat, and goat IgG demonstrates that clone RM120 selectively detects Human IgG4 / IGHG4, with a strong band observed at approximately 150 kDa under non-reducing conditions and a band near 50 kDa corresponding to the heavy chain under reducing conditions. No cross-reactivity is observed with other human IgG subclasses or with mouse, rat, or goat IgG. This binding pattern supports hinge region-directed recognition of IgG4 and confirms subclass-specific detection in both intact and reduced forms.
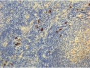
Human IgG4 Antibody Human Lymphoid Tissue IHC. Immunohistochemistry analysis of FFPE human lymphoid tissue using Human IgG4 Antibody / Hinge Region IgG4 Detection Antibody (clone RM120) demonstrates scattered cytoplasmic staining in plasma cell populations, while surrounding lymphocytes remain largely negative. The staining pattern supports detection of IgG4 / IGHG4 within antibody-producing cells and reflects hinge region-directed recognition of IgG4 in tissue sections. Heat-induced epitope retrieval was performed using either pH6 citrate buffer or pH9 Tris-EDTA buffer prior to antibody incubation.
Human IgG4 Antibody for ELISA Titration Curve. ELISA titration analysis using plates coated with serial dilutions of human IgG4 demonstrates strong, concentration-dependent binding of clone RM120 across a broad dynamic range. Signal intensity decreases proportionally with antibody dilution, confirming high sensitivity and consistent binding performance. Detection was performed using an alkaline phosphatase-conjugated anti-rabbit IgG secondary antibody, supporting reliable quantification of Human IgG4 in ELISA-based immunoassays.
Human IgG4 Antibody for ELISA Sandwich ELISA Matrix Compatibility. Sandwich ELISA analysis demonstrates detection of human IgG4 spiked into monkey serum using clone RM120 as a capture antibody for Human IgG4 / IGHG4, with overlapping dilution curves observed between serum and control conditions. Captured IgG4 was detected using a biotinylated anti-human light chains (kappa + lambda) antibody (clone RM129), followed by HRP-conjugated streptavidin for signal development. The comparable signal profiles support reliable detection of IgG4 in complex biological matrices and reflect hinge region-directed recognition with minimal interference.
Human IgG4 Antibody for ELISA Cross-Species Specificity Analysis. ELISA analysis demonstrates that clone RM120 shows minimal reactivity to rhesus monkey IgG when used as a detection antibody, with signal remaining near baseline across tested concentrations. In contrast, a monkey IgG-binding antibody used as a positive control produces strong signal, confirming assay performance. This lack of cross-reactivity supports high specificity for Human IgG4 / IGHG4 and reflects hinge region-directed recognition with reduced binding to non-human immunoglobulins.
Availability 1-3 business days
Species Reactivity Human
Format Purified
Host Rabbit
Clonality Recombinant Rabbit Monoclonal
Isotype Rabbit IgG
Clone Name RM120
Purity Protein A purified from animal origin-free supernatant
UniProt P01861
Gene ID 3503
Applications ELISA : 50ng/well-200ng/well (Capture); 0.05-0.2ug/ml (Detection)
Immunocytochemistry : 1-10ug/ml
Immunohistochemistry : 1-10ug/ml (1)
Limitations This Human IgG4 Antibody for ELISA / Hinge Region IgG4 Detection Antibody is available for research use only.
Review this product on BioCompare and get a $20 Amazon gift card

Related Products

Description

Human immunoglobulin gamma 4 (IGHG4) encodes the heavy chain constant region of IgG4, a subclass distinguished by its unique hinge region structure and reduced effector function compared to other IgG subclasses. Unlike IgG1, IgG2, and IgG3, IgG4 exhibits limited complement activation and weaker Fc receptor binding, and is best known for undergoing Fab arm exchange, a process in which half-molecules swap to generate functionally monovalent antibodies. The hinge region is central to this process, enabling structural flexibility and interchain exchange that define IgG4 behavior in both physiological and engineered antibody systems.

Human IgG4 Antibody for ELISA / Hinge Region IgG4 Detection Antibody is specifically optimized for detection of IgG4 through recognition of the hinge region rather than the Fc domain. Human IgG4 antibody, also known as anti-IGHG4 antibody or hinge-specific IgG4 antibody, enables selective detection of structural features associated with IgG4 flexibility, Fab arm exchange, and conformational dynamics. This recombinant rabbit monoclonal antibody clone RM120 recognizes a peptide corresponding to the hinge region of human IgG4, providing a structurally focused detection approach that complements traditional Fc-directed antibodies.

In ELISA workflows, hinge-directed detection provides a distinct advantage by targeting a functionally relevant and structurally dynamic region of IgG4. The Human IgG4 Antibody for ELISA / Hinge Region IgG4 Detection Antibody functions effectively in ELISA-based formats to detect IgG4 while offering additional insight into hinge-associated structural integrity. This is particularly valuable in applications involving antibody stability assessment, engineered antibody formats, and therapeutic antibody characterization, where hinge-mediated flexibility influences antibody performance.

Clone RM120 antibody recognizes the hinge region of human IgG4, ensuring selective detection without cross-reactivity to other IgG subclasses including IgG1, IgG2, and IgG3, or to other immunoglobulin classes such as IgM, IgA, IgD, and IgE. The recombinant rabbit monoclonal format provides high affinity binding, strong reproducibility, and minimal lot-to-lot variability, supporting consistent ELISA performance across experiments.

Detection of IgG4 hinge structure is widely applied in immunology research, antibody engineering, and therapeutic antibody development, where Fab arm exchange and structural flexibility influence antibody function. Because IgG4 exhibits distinct structural and functional properties compared to other subclasses, hinge-specific detection provides valuable insight into antibody conformation, stability, and biological activity. This antibody supports these applications by enabling selective detection of IGHG4-containing immunoglobulins in ELISA-based systems requiring high specificity, structural relevance, and consistent performance.

This antibody is part of a broader immunoglobulin detection antibody collection, including reagents for Ig classes and light chains across multiple species and immunoassay formats.

Application Notes

The stated application concentrations are suggested starting points. Titration of the Human IgG4 Antibody for ELISA / Hinge Region IgG4 Detection Antibody may be required due to differences in protocols and secondary/substrate sensitivity.

1. A pH6 Citrate buffer or pH9 Tris/EDTA buffer HIER step is recommended for testing of FFPE tissue sections.

Immunogen

Peptide corresponding to the hinge region of human IgG4 was used as the immunogen for this recombinant Human IgG4 antibody.

Storage

Store the recombinant Human IgG4 antibody at -20oC (with glycerol) or aliquot and store at -20oC (without glycerol).

Alternate Names

IgG4 hinge region antibody, IGHG4 hinge antibody, Human IgG4 hinge detection antibody, IgG4 structural antibody, IgG4 hinge ELISA antibody

Cross
Bulk Quote Request Form
Name*:
Organization*:
Email*:
Phone Number*:
Catalog No.*:
Comments and Specifics(amount, formulation, etc.)*:
Validation code: Captchapackage Image


Can't read the image? click here to refresh.
    *required field

Your bulk quote request has been submitted successfully!

Please contact us if you have any questions.