• Tel: 858.663.9055
  • SeparatorEmail: info@nsjbio.com
  • Tel: 858.663.9055
  • Email: info@nsjbio.com
Home >> Antibodies >> Human IgG4 Antibody for ELISA / Biotinylated Hinge Region IgG4 Detection Antibody

Human IgG4 Antibody for ELISA / Biotinylated Hinge Region IgG4 Detection Antibody [clone RM120] (R20190BTN)

  Catalog No Formulation Size Price (USD)  
Image R20190BTN-50UG 1 mg/ml in PBS with 50% glycerol, 1% BSA and 0.09% sodium azide 50 ug 439
Microvalidated Recrabbitmono
Bulk quote request
Human IgG4 Antibody Biotin Sandwich ELISA Human IgG4. Sandwich ELISA analysis using purified human IgG4 demonstrates that the parent clone RM120 antibody functions effectively as a capture antibody for Human IgG4 / IGHG4, with signal intensity decreasing proportionally with antigen concentration, indicating strong and concentration-dependent detection. Captured IgG4 was detected using a biotinylated anti-human light chains (kappa + lambda) antibody (clone RM129), followed by alkaline phosphatase-conjugated streptavidin for signal development. This binding profile reflects hinge region-specific recognition of IgG4 and is representative of the performance retained in the biotinylated format of the Human IgG4 Antibody for ELISA / Biotinylated Hinge Region IgG4 Detection Antibody.
Human IgG4 Antibody Biotin Sandwich ELISA Human Plasma. Sandwich ELISA analysis of human plasma demonstrates that the parent clone RM120 antibody functions effectively as a capture antibody for Human IgG4 / IGHG4, with signal intensity decreasing proportionally with sample dilution, indicating robust and concentration-dependent detection. Captured IgG4 was detected using a biotinylated anti-human light chains (kappa + lambda) antibody (clone RM129), followed by alkaline phosphatase-conjugated streptavidin for signal development. This binding profile reflects hinge region-specific recognition of IgG4 and is representative of the performance retained in the biotinylated format of the Human IgG4 Antibody for ELISA / Biotinylated Hinge Region IgG4 Detection Antibody.
Human IgG4 Antibody Biotin WB. Western blot analysis of human, mouse, rat, and goat IgG demonstrates that the parent clone RM120 antibody selectively detects Human IgG4 / IGHG4, with a strong band observed at approximately 150 kDa under non-reducing conditions and a band near 50 kDa under reducing conditions. No cross-reactivity is observed with other human IgG subclasses or with mouse, rat, or goat IgG. This binding profile reflects hinge region-specific recognition of IgG4 and is representative of the performance retained in the biotinylated format of the Human IgG4 Antibody / Biotinylated Hinge Region IgG4 Detection Antibody.
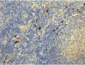
Human IgG4 Antibody Biotin Human Lymphoid Tissue IHC. Immunohistochemistry analysis of FFPE human lymphoid tissue demonstrates that the parent clone RM120 antibody produces scattered cytoplasmic staining in plasma cell populations, while surrounding lymphocytes remain largely negative. This staining pattern supports detection of IgG4 / IGHG4 within antibody-producing cells and is representative of the performance retained in the biotinylated format of the Human IgG4 Antibody / Biotinylated Hinge Region IgG4 Detection Antibody. Heat-induced epitope retrieval was performed using either pH6 citrate buffer or pH9 Tris-EDTA buffer prior to antibody incubation.
Human IgG4 Antibody Biotin ELISA Titration Curve. ELISA titration using plates coated with serial dilutions of human IgG4 demonstrates strong, concentration-dependent binding of clone RM120 across a broad dynamic range. Signal intensity decreases proportionally with antibody dilution, confirming high sensitivity and consistent binding kinetics. Detection was performed using an alkaline phosphatase-conjugated anti-rabbit IgG secondary antibody. This titration profile reflects the intrinsic binding performance of the parent clone RM120 antibody and is representative of the characteristics retained in the biotinylated format of the Human IgG4 Antibody for ELISA / Biotinylated Hinge Region IgG4 Detection Antibody.
Availability 1-3 business days
Species Reactivity Human
Format Biotin Conjugate
Host Rabbit
Clonality Recombinant Rabbit Monoclonal
Isotype Rabbit IgG
Clone Name RM120
Purity Protein A purified from animal origin-free supernatant
UniProt P01861
Gene ID 3503
Applications ELISA : 50ng/well-200ng/well (Capture); 0.05-0.2ug/ml (Detection)
Immunocytochemistry : 1-10ug/ml
Immunohistochemistry : 1-10ug/ml (1)
Limitations This Human IgG4 Antibody for ELISA / Biotinylated Hinge Region IgG4 Detection Antibody is available for research use only.
Review this product on BioCompare and get a $20 Amazon gift card

Related Products

Description

Human immunoglobulin gamma 4 (IGHG4) encodes the heavy chain constant region of IgG4, a subclass defined by its structurally distinct hinge region and reduced effector function relative to other IgG subclasses. IgG4 is unique in its ability to undergo Fab arm exchange, resulting in antibodies with altered valency and antigen-binding behavior. The hinge region is critical to this process, enabling molecular flexibility and interchain exchange that distinguish IgG4 from IgG1, IgG2, and IgG3 and contribute to its specialized biological role.

Human IgG4 Antibody for ELISA / Biotinylated Hinge Region IgG4 Detection Antibody is engineered for enhanced sensitivity and hinge-specific detection in ELISA workflows utilizing streptavidin-based signal amplification systems. Human IgG4 antibody, also referred to as anti-IGHG4 antibody or hinge-specific IgG4 antibody, enables selective detection of IgG4 structural features associated with hinge-mediated flexibility and conformational dynamics. This biotinylated recombinant rabbit monoclonal antibody clone RM120 recognizes a peptide corresponding to the hinge region of human IgG4, providing a targeted detection strategy distinct from Fc-directed approaches.

In sandwich ELISA configurations, biotinylated detection antibodies provide increased assay sensitivity and expanded dynamic range through streptavidin-mediated amplification. The Human IgG4 Antibody for ELISA / Biotinylated Hinge Region IgG4 Detection Antibody binds selectively to IgG4, allowing accurate detection even at low analyte concentrations while maintaining hinge-region specificity. This is particularly useful in studies involving antibody engineering, conformational analysis, and therapeutic antibody development where hinge integrity influences function.

Clone RM120 antibody targets the hinge region of human IgG4, ensuring selective detection without cross-reactivity to other IgG subclasses including IgG1, IgG2, and IgG3, or to other immunoglobulin classes such as IgM, IgA, IgD, and IgE. The recombinant rabbit monoclonal format provides strong affinity, consistent performance, and reproducibility across ELISA platforms. Biotin conjugation enhances assay flexibility by enabling compatibility with streptavidin-based detection systems commonly used in ELISA assays.

Measurement of IgG4 hinge structure is widely applied in immunology research, antibody engineering, and therapeutic antibody development, where structural flexibility and Fab arm exchange influence antibody behavior. Because IgG4 exhibits distinct conformational properties compared to other subclasses, hinge-specific detection provides important insight into antibody stability, structure, and function. This antibody supports these applications by enabling sensitive and selective detection of IGHG4-containing immunoglobulins in ELISA-based systems requiring enhanced signal amplification, high specificity, and consistent assay performance.

This antibody is part of a broader immunoglobulin detection antibody collection, including reagents for Ig classes and light chains across multiple species and immunoassay formats.

Application Notes

The stated application concentrations are suggested starting points. Titration of the Human IgG4 Antibody for ELISA / Biotinylated Hinge Region IgG4 Detection Antibody may be required due to differences in protocols and secondary/substrate sensitivity.

1. A pH6 Citrate buffer or pH9 Tris/EDTA buffer HIER step is recommended for testing of FFPE tissue sections.

Immunogen

Peptide corresponding to the hinge region of human IgG4 was used as the immunogen for this recombinant Human IgG4 antibody.

Storage

Store the recombinant Human IgG4 antibody at -20oC.

Alternate Names

Biotin IgG4 hinge antibody, Biotinylated IGHG4 hinge antibody, Human IgG4 hinge biotin antibody, IgG4 structural biotin antibody, IgG4 hinge ELISA antibody

Cross
Bulk Quote Request Form
Name*:
Organization*:
Email*:
Phone Number*:
Catalog No.*:
Comments and Specifics(amount, formulation, etc.)*:
Validation code: Captchapackage Image


Can't read the image? click here to refresh.
    *required field

Your bulk quote request has been submitted successfully!

Please contact us if you have any questions.