• Tel: 858.663.9055
  • SeparatorEmail: info@nsjbio.com
  • Tel: 858.663.9055
  • Email: info@nsjbio.com
Home >> Antibodies >> Human IgA1 Antibody for ELISA / Biotinylated Anti-IgA1 Detection Antibody

Human IgA1 Antibody for ELISA / Biotinylated Anti-IgA1 Detection Antibody [clone RM124] (R20183BTN)

  Catalog No Formulation Size Price (USD)  
Image R20183BTN-50UG 1 mg/ml in PBS with 50% glycerol, 1% BSA and 0.09% sodium azide 50 ug 439
Microvalidated Recrabbitmono
Bulk quote request
Human IgA1 Antibody for ELISA Sandwich ELISA Human IgA1. Sandwich ELISA analysis using purified human IgA1 demonstrates that clone RM124 functions effectively as a capture antibody for Human IgA1 / IGHA1, with signal intensity decreasing proportionally with antigen concentration, indicating strong and concentration-dependent detection. Captured IgA1 was detected using a biotinylated anti-human light chains (kappa + lambda) antibody (clone RM129), followed by alkaline phosphatase-conjugated streptavidin for signal development. This assay configuration supports accurate quantification of IgA1 and highlights the utility of this Human IgA1 Antibody for ELISA / Anti-IgA1 Detection Antibody in subclass-specific ELISA-based immunoassays.
Human IgA1 Antibody Biotin Sandwich ELISA Human Plasma. Sandwich ELISA analysis demonstrates that the parent clone RM124 antibody functions effectively as a capture antibody for Human IgA1 / IGHA1, with signal intensity decreasing proportionally with plasma dilution, indicating strong and concentration-dependent detection. Captured IgA1 was detected using a biotinylated anti-human light chains (kappa + lambda) antibody (clone RM129), followed by alkaline phosphatase-conjugated streptavidin for signal development. This binding profile reflects the intrinsic performance of clone RM124 and is representative of the characteristics retained in the biotinylated format of the Human IgA1 Antibody for ELISA / Biotinylated Anti-IgA1 Detection Antibody.
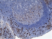
Human IgA1 Antibody Biotin Immunohistochemistry Human Tonsil Tissue. Immunohistochemistry analysis of FFPE human tonsil tissue demonstrates that the parent clone RM124 antibody produces cytoplasmic staining in plasma cells distributed within germinal center and interfollicular regions, with minimal background in surrounding lymphoid cells. This staining pattern supports detection of IgA1 / IGHA1 in antibody-producing cells and is representative of the performance retained in the biotinylated format of the Human IgA1 Antibody / Biotinylated Anti-IgA1 Detection Antibody. Heat-induced epitope retrieval was performed using pH6 citrate buffer or pH9 Tris-EDTA buffer prior to antibody incubation.
Human IgA1 Antibody Biotin ELISA Subclass Specificity Analysis. ELISA analysis of human immunoglobulins demonstrates that the parent clone RM124 antibody selectively recognizes Human IgA1 / IGHA1, with strong signal observed across tested concentrations, indicating specific binding to the alpha 1 heavy chain. Minimal cross-reactivity with IgA2 is observed, while no detectable binding occurs with other immunoglobulin classes including IgG, IgM, IgD, or IgE. This binding profile reflects preferential IgA1 recognition and is representative of the performance retained in the biotinylated format of the Human IgA1 Antibody for ELISA / Biotinylated Anti-IgA1 Detection Antibody.
Human IgA1 Antibody Biotin ELISA Titration Curve. ELISA titration using plates coated with serial dilutions of human IgA1 demonstrates strong, concentration-dependent binding of clone RM124 across a broad dynamic range. Signal intensity decreases proportionally with antibody dilution and antigen concentration, confirming consistent binding kinetics and high sensitivity. Detection was performed using an alkaline phosphatase-conjugated anti-rabbit IgG secondary antibody. This titration profile reflects the intrinsic binding performance of the parent clone RM124 antibody and is representative of the characteristics retained in the biotinylated format of the Human IgA1 Antibody for ELISA / Biotinylated Anti-IgA1 Detection Antibody.
Availability 1-3 business days
Species Reactivity Human
Format Biotin Conjugate
Host Rabbit
Clonality Recombinant Rabbit Monoclonal
Isotype Rabbit IgG
Clone Name RM124
Purity Protein A purified from animal origin-free supernatant
UniProt P01876
Gene ID 3493
Applications ELISA : 50ng/well-200ng/well (Capture); 0.05-0.2ug/ml (Detection)
Immunocytochemistry : 0.5-2ug/ml
Immunohistochemistry : 0.1-1ug/ml
Limitations This Human IgA1 Antibody for ELISA / Biotinylated Anti-IgA1 Detection Antibody is available for research use only.
Review this product on BioCompare and get a $20 Amazon gift card

Related Products

Description

Human immunoglobulin alpha 1 (IGHA1) encodes the heavy chain constant region of IgA1, the predominant IgA subclass in human serum and a key mediator of systemic immune responses. IgA1 is structurally distinguished by an extended hinge region that confers flexibility for antigen binding but also introduces susceptibility to proteolytic cleavage by microbial enzymes. This structural feature contributes to functional differences between IgA1 and IgA2 and influences their distribution between systemic and mucosal compartments.

Human IgA1 Antibody for ELISA / Biotinylated Anti-IgA1 Detection Antibody is engineered for enhanced sensitivity and selective detection of IgA1 in ELISA workflows utilizing streptavidin-based signal amplification systems. Human IgA1 antibody, also referred to as anti-IGHA1 antibody or IgA1 immunoglobulin antibody, enables accurate detection of IgA1 in serum, plasma, and other biological samples. This biotinylated recombinant rabbit monoclonal antibody clone RM124 provides selective recognition of human IgA1 while enabling amplified signal generation for improved assay performance.

In sandwich ELISA configurations, biotinylated detection antibodies provide increased assay sensitivity and expanded dynamic range through streptavidin-mediated amplification. The Human IgA1 Antibody for ELISA / Biotinylated Anti-IgA1 Detection Antibody supports accurate detection across a wide concentration range while maintaining specificity against other immunoglobulin subclasses and classes. This is particularly important in studies requiring precise quantification of IgA1 and differentiation from IgA2 in mixed biological samples.

Clone RM124 antibody recognizes human IgA1 while maintaining specificity against IgA2 and other immunoglobulin classes including IgG, IgM, IgD, and IgE. The recombinant rabbit monoclonal format provides strong affinity, consistent performance, and reproducibility across ELISA platforms. Biotin conjugation enhances assay flexibility by enabling compatibility with streptavidin-based detection systems commonly used in ELISA assays.

Measurement of IgA1 using biotinylated detection antibodies is widely applied in immunology research, infectious disease studies, and investigations of immune dysregulation. Because IgA1 is the dominant circulating IgA subclass and is involved in immune complex formation and disease-associated antibody responses, accurate detection provides critical insight into immune status, subclass distribution, and pathological processes. This antibody supports these applications by enabling sensitive and reliable detection of IGHA1-containing immunoglobulins in ELISA-based systems requiring enhanced signal amplification, high specificity, and consistent assay performance.

This antibody is part of a broader immunoglobulin detection antibody collection, including reagents for Ig classes and light chains across multiple species and immunoassay formats.

Application Notes

The stated application concentrations are suggested starting points. Titration of the Human IgA1 Antibody for ELISA / Biotinylated Anti-IgA1 Detection Antibody may be required due to differences in protocols and secondary/substrate sensitivity.

Immunogen

Human IgA was used as the immunogen for this biotinylated recombinant Human IgA1 antibody.

Storage

Store the recombinant Human IgA1 antibody at -20oC.

Alternate Names

Biotin anti-IgA1 antibody, Biotinylated IGHA1 antibody, Human IgA1 biotin ELISA antibody, IgA1 detection biotin antibody, IgA subclass 1 antibody

Cross
Bulk Quote Request Form
Name*:
Organization*:
Email*:
Phone Number*:
Catalog No.*:
Comments and Specifics(amount, formulation, etc.)*:
Validation code: Captchapackage Image


Can't read the image? click here to refresh.
    *required field

Your bulk quote request has been submitted successfully!

Please contact us if you have any questions.