• Tel: 858.663.9055
  • SeparatorEmail: info@nsjbio.com
  • Tel: 858.663.9055
  • Email: info@nsjbio.com
Home >> Antibodies >> Human IgA Antibody for ELISA / Anti-IgA Detection Antibody

Human IgA Antibody for ELISA / Anti-IgA Detection Antibody [clone RM128] (R20182)

  Catalog No Formulation Size Price (USD)  
Image R20182-100UG 1 mg/ml in PBS with 50% glycerol, 1% BSA and 0.09% sodium azide 100 ug 439
Microvalidated Recrabbitmono
Bulk quote request
Human IgA Antibody for ELISA Sandwich ELISA Human Plasma. Sandwich ELISA analysis demonstrates that clone RM128 functions effectively as a capture antibody for Human IgA / IGHA, with signal intensity decreasing proportionally with plasma dilution, indicating strong and concentration-dependent detection. Captured IgA was detected using a biotinylated anti-human light chains (kappa + lambda) antibody (clone RM129), followed by alkaline phosphatase-conjugated streptavidin for signal development. This assay supports reliable detection of IgA in plasma and highlights the utility of this Human IgA Antibody for ELISA / Anti-IgA Detection Antibody for quantitative ELISA-based immunoassays.
Human IgA Antibody for ELISA Sandwich ELISA Human IgA. Sandwich ELISA analysis using purified human IgA demonstrates that clone RM128 functions effectively as a capture antibody for Human IgA / IGHA, with signal intensity decreasing proportionally with antigen concentration, indicating strong and concentration-dependent detection. Captured IgA was detected using a biotinylated anti-human light chains (kappa + lambda) antibody (clone RM129), followed by alkaline phosphatase-conjugated streptavidin for signal development. This assay configuration supports accurate quantification of IgA and highlights the utility of this Human IgA Antibody for ELISA / Anti-IgA Detection Antibody in sandwich ELISA-based immunoassays.
Human IgA Antibody for ELISA Subclass Specificity Analysis. ELISA analysis of human immunoglobulins demonstrates that clone RM128 selectively recognizes Human IgA / IGHA, with strong signal observed for both IgA1 and IgA2 across tested concentrations, indicating binding to the shared alpha heavy chain. No cross-reactivity is detected with other immunoglobulin classes including IgG1, IgG2, IgG3, IgG4, IgM, IgD, or IgE. This binding profile supports comprehensive IgA subclass coverage and highlights the utility of this Human IgA Antibody for ELISA / Anti-IgA Detection Antibody for selective IgA measurement in ELISA-based immunoassays.
Human IgA Antibody for ELISA Titration Curve. ELISA titration analysis using plates coated with serial dilutions of human IgA demonstrates strong, concentration-dependent binding of clone RM128 across a broad dynamic range. Signal intensity decreases proportionally with antibody dilution, confirming high sensitivity and consistent binding performance. Detection was performed using an alkaline phosphatase-conjugated anti-rabbit IgG secondary antibody, supporting reliable quantification of Human IgA / IGHA in ELISA-based immunoassays.
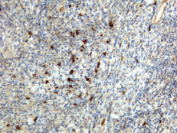
Human IgA Antibody Immunohistochemistry Human Lymphoid Tissue. Immunohistochemistry analysis of FFPE human lymphoid tissue using Human IgA Antibody / Anti-IgA Detection Antibody (clone RM128) demonstrates cytoplasmic staining in scattered plasma cells within lymphoid regions, while surrounding lymphocytes and stromal cells show minimal staining. The staining pattern supports detection of IgA / IGHA in antibody-secreting cells and is consistent with mucosal-associated immune populations. Heat-induced epitope retrieval was performed using pH6 citrate buffer or pH9 Tris-EDTA buffer prior to antibody incubation.
Availability 1-3 business days
Species Reactivity Human
Format Purified
Host Rabbit
Clonality Recombinant Rabbit Monoclonal
Isotype Rabbit IgG
Clone Name RM128
Purity Protein A purified from animal origin-free supernatant
UniProt P01876 , P01877
Gene ID 3493 , 3494
Applications ELISA : 50ng/well-200ng/well (Capture); 0.05-0.2ug/ml (Detection)
Immunohistochemistry : 0.1-1ug/ml
Limitations This Human IgA Antibody for ELISA / Anti-IgA Detection Antibody is available for research use only.
Review this product on BioCompare and get a $20 Amazon gift card

Related Products

Description

Human immunoglobulin alpha (IGHA) encodes the heavy chain constant regions of IgA, an immunoglobulin class that plays a central role in mucosal immunity and immune protection at epithelial surfaces. IgA is the second most abundant immunoglobulin in circulation but is the dominant antibody isotype in mucosal secretions, where it exists primarily as dimeric secretory IgA associated with a joining chain and secretory component. This specialized structure enables IgA to function at barrier sites such as the gastrointestinal, respiratory, and genitourinary tracts, where it neutralizes pathogens and limits microbial adherence without triggering excessive inflammation.

Human IgA Antibody for ELISA / Anti-IgA Detection Antibody is specifically optimized for sensitive and selective detection of total IgA in ELISA-based immunoassays. Human IgA antibody, also known as anti-IGHA antibody or IgA immunoglobulin antibody, enables accurate quantification of IgA in serum, plasma, and mucosal samples including saliva and other secretions. This recombinant rabbit monoclonal antibody clone RM128 recognizes human IgA and provides a reliable tool for measuring IgA across diverse biological matrices.

In ELISA workflows, IgA detection presents unique challenges due to its presence in both monomeric serum forms and dimeric secretory forms in mucosal samples. The Human IgA Antibody for ELISA / Anti-IgA Detection Antibody functions effectively across these contexts, supporting consistent signal generation and accurate quantification in complex sample types. This is particularly important in studies of mucosal immunity, infection, and immune regulation, where IgA serves as a primary mediator of pathogen neutralization at barrier surfaces.

Clone RM128 antibody recognizes human IgA, supporting detection of total IgA while maintaining specificity against other immunoglobulin classes such as IgG, IgM, IgD, and IgE. The recombinant rabbit monoclonal format provides high affinity binding, strong reproducibility, and minimal lot-to-lot variability, ensuring consistent ELISA performance. This antibody is well suited for applications requiring reliable detection of IgA in both systemic and mucosal immune compartments.

Detection of IgA is widely applied in immunology research, infectious disease studies, and mucosal immune monitoring. Because IgA plays a critical role in barrier defense and early immune exclusion of pathogens, accurate measurement provides insight into immune status, infection dynamics, and host-pathogen interactions. This antibody supports these applications by enabling sensitive and specific detection of IGHA-containing immunoglobulins in ELISA-based systems requiring high performance, reproducibility, and quantitative accuracy.

This antibody is part of a broader immunoglobulin detection antibody collection, including reagents for Ig classes and light chains across multiple species and immunoassay formats.

Application Notes

The stated application concentrations are suggested starting points. Titration of the Human IgA Antibody for ELISA / Anti-IgA Detection Antibody may be required due to differences in protocols and secondary/substrate sensitivity.

Immunogen

Human IgA was used as the immunogen for this recombinant Human IgA antibody.

Storage

Store the recombinant Human IgA antibody at -20oC (with glycerol) or aliquot and store at -20oC (without glycerol).

Alternate Names

Anti-IgA ELISA antibody, IGHA detection antibody, Human IgA detection antibody, IgA immunoglobulin antibody, pan-IgA antibody

Cross
Bulk Quote Request Form
Name*:
Organization*:
Email*:
Phone Number*:
Catalog No.*:
Comments and Specifics(amount, formulation, etc.)*:
Validation code: Captchapackage Image


Can't read the image? click here to refresh.
    *required field

Your bulk quote request has been submitted successfully!

Please contact us if you have any questions.