• Tel: 858.663.9055
  • SeparatorEmail: info@nsjbio.com
  • Tel: 858.663.9055
  • Email: info@nsjbio.com
Home >> Antibodies >> Recombinant HSP70 Antibody

Recombinant HSP70 Antibody [clone RM432] (R20447)

  Catalog No Formulation Size Price (USD)  
Image R20447-0.1ML Antibody in PBS with 50% glycerol, 1% BSA and 0.09% sodium azide 100 ul 439
Microvalidated Recrabbitmono
Bulk quote request
IHC staining of FFPE human breast cancer tissue with recombinant HSP70 antibody at 1:200.
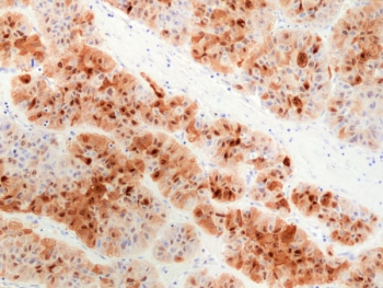
IHC staining of FFPE human liver cancer tissue with recombinant HSP70 antibody at 1:500.
Western blot testing of human HeLa cell lysate with recombinant HSP70 antibody at 1:5000 dilution. Expected molecular weight ~70 kDa.
Availability 1-3 business days
Species Reactivity Human
Format Purified
Host Rabbit
Clonality Recombinant Rabbit Monoclonal
Isotype Rabbit IgG
Clone Name RM432
Purity Protein A purified from animal origin-free supernatant
UniProt P0DMV8
Localization Cytoplasmic
Applications Immunohistochemistry (FFPE) : 1:100-1:500
Western Blot : 1:2000-1:5000
Limitations This recombinant HSP70 antibody is available for research use only.
Review this product on BioCompare and get a $20 Amazon gift card

Related Products

Description

This antibody reacts to human HSP70/Heat shock 70 kDa protein.

Application Notes

The stated application concentrations are suggested starting points. Titration of the recombinant HSP70 antibody may be required due to differences in protocols and secondary/substrate sensitivity.

Immunogen

A recombinant human HSP70 protein was used as the immunogen for the recombinant HSP70 antibody.

Storage

Store the recombinant HSP70 antibody at -20oC.

Cross
Bulk Quote Request Form
Name*:
Organization*:
Email*:
Phone Number*:
Catalog No.*:
Comments and Specifics(amount, formulation, etc.)*:
Validation code: Captchapackage Image


Can't read the image? click here to refresh.
    *required field

Your bulk quote request has been submitted successfully!

Please contact us if you have any questions.