• Tel: 858.663.9055
  • SeparatorEmail: info@nsjbio.com
  • Tel: 858.663.9055
  • Email: info@nsjbio.com
Home >> Antibodies >> Recombinant HSP27 Antibody / HSPB1

Recombinant HSP27 Antibody / HSPB1 [clone HSPB1/6490R] (V9277)

  Catalog No Formulation Size Price (USD)  
Image V9277-100UG 0.2 mg/ml in 1X PBS with 0.1 mg/ml BSA (US sourced), 0.05% sodium azide 100 ug 559
Image
V9277-20UG 0.2 mg/ml in 1X PBS with 0.1 mg/ml BSA (US sourced), 0.05% sodium azide 20 ug 259
Image
V9277SAF-100UG 1 mg/ml in 1X PBS; BSA free, sodium azide free 100 ug 559
Microvalidated Recrabbitmono
Bulk quote request
Western blot testing of human liver tissue lysate using recombinant HSP27 antibody (clone HSPB1/6490R). Predicted molecular weight: 23-27 kDa.
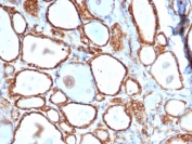
IHC staining of FFPE human thyroid with recombinant HSP27 antibody (clone HSPB1/6490R). HIER: boil tissue sections in pH 9 10mM Tris with 1mM EDTA for 20 min and allow to cool before testing.
SDS-PAGE analysis of purified, BSA-free recombinant HSP27 antibody (clone HSPB1/6490R) as confirmation of integrity and purity.
Availability 1-3 business days
Species Reactivity Human
Format Purified
Host Rabbit
Clonality Recombinant Rabbit Monoclonal
Isotype Rabbit IgG
Clone Name HSPB1/6490R
Purity Protein A/G affinity
UniProt P04792
Localization Predominantly cytoplasmic with some nuclear
Applications Western Blot : 1-2ug/ml
Immunohistochemistry (FFPE) : 1-2ug/ml
Limitations This recombinant HSP27 antibody is available for research use only.
Review this product on BioCompare and get a $20 Amazon gift card

Related Products

Description

HSP27, also referred to as Heat shock protein beta-1 (HSPB1), Estrogen-Regulated 24K protein, and HSP28, is one of several small heat shock proteins produced by all organisms studied. HSP27 synthesis is induced by elevated temperature, as well as by estrogen in hormone responsive cells. Interestingly, human HSP27 also shares greater than 50% homology with low molecular weight Drosophila HSPs and mammalian -crystalline lens protein. Because of the estrogen responsive nature of HSP27, this protein has been studied extensively in human estrogen responsive tissues such as cervix, endometrium and breast tissue. Therefore, HSP27 may be useful in classifying various hormone sensitive tumors.

Application Notes

Optimal dilution of the recombinant HSP27 antibody should be determined by the researcher.

Immunogen

Recombinant human full-length HSP27 protein was used as the immunogen for the recombinant HSP27 antibody.

Storage

Aliquot the recombinant HSP27 antibody and store frozen at -20oC or colder. Avoid repeated freeze-thaw cycles.

Cross
Bulk Quote Request Form
Name*:
Organization*:
Email*:
Phone Number*:
Catalog No.*:
Comments and Specifics(amount, formulation, etc.)*:
Validation code: Captchapackage Image


Can't read the image? click here to refresh.
    *required field

Your bulk quote request has been submitted successfully!

Please contact us if you have any questions.