• Tel: 858.663.9055
  • SeparatorEmail: info@nsjbio.com
  • Tel: 858.663.9055
  • Email: info@nsjbio.com
Home >> Antibodies >> Recombinant HIF1A Antibody / HIF-1 alpha

Recombinant HIF1A Antibody / HIF-1 alpha [clone RM242] (R20263)

  Catalog No Formulation Size Price (USD)  
Image R20263-0.1ML Antibody in PBS with 50% glycerol, 1% BSA and 0.09% sodium azide 100 ul 439
Microvalidated Recrabbitmono
Bulk quote request
Western blot test of Jurkat cell lysate, untreated or treated with Cobalt Chloride (CoCl2), using recombinant HIF1A antibody at 1:1000. Routinely observed molecular weight: 100~120 kDa.
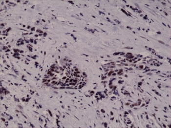
IHC testing of FFPE human breast cancer tissue with recombinant HIF1A antibody at 1:1000.
Availability 1-3 business days
Species Reactivity Human
Format Purified
Host Rabbit
Clonality Recombinant Rabbit Monoclonal
Isotype Rabbit IgG
Clone Name RM242
Purity Protein A purified from animal origin-free supernatant
UniProt Q16665
Gene ID 3091
Localization Nuclear, possible cytoplasmic
Applications Immunohistochemistry (FFPE) : 1:500-1:1000 (1)
Western Blot : 1:1000-1:2000
Limitations This recombinant HIF1A antibody is available for research use only.
Review this product on BioCompare and get a $20 Amazon gift card

Related Products

Description

The Recombinant HIF1A antibody is a recombinant reagent engineered to detect hypoxia-inducible factor 1 alpha (HIF-1a), a master regulator of the cellular response to low oxygen tension. HIF1A is a transcription factor that heterodimerizes with HIF-1b to form the HIF-1 complex, which activates the transcription of numerous genes involved in angiogenesis, metabolism, erythropoiesis, and cell survival. Under normoxic conditions, HIF-1a is hydroxylated on proline residues by prolyl hydroxylase domain enzymes, marking it for ubiquitination and proteasomal degradation via the von Hippel–Lindau (VHL) pathway. During hypoxia, hydroxylation is inhibited, stabilizing HIF-1a and allowing it to accumulate and translocate to the nucleus. The Recombinant HIF1A antibody provides precise and reproducible detection of this protein, supporting studies in hypoxia signaling, cancer, and vascular biology.

HIF-1a is encoded by the HIF1A gene on chromosome 14q23. It contains basic helix-loop-helix and PAS domains required for DNA binding and dimerization, along with oxygen-dependent degradation domains that regulate its stability. Once stabilized, HIF-1a binds hypoxia response elements (HREs) in target gene promoters, activating expression of genes such as VEGF, GLUT1, and EPO. These genes facilitate adaptation to hypoxia by promoting angiogenesis, glycolytic metabolism, and red blood cell production. The Recombinant HIF1A antibody recognizes conserved epitopes within the protein, ensuring robust performance across species and experimental systems.

In western blotting, the Recombinant HIF1A antibody detects HIF-1a as an inducible band, typically low or absent under normoxia but strongly upregulated under hypoxia or in cells treated with hypoxia mimetics such as cobalt chloride. In immunofluorescence, it reveals nuclear localization of HIF-1a under hypoxic conditions, consistent with its role as a transcription factor. In immunohistochemistry, the antibody highlights hypoxic tumor regions, aiding in the evaluation of tumor microenvironments. Recombinant design ensures consistency and eliminates variability that can occur with hybridoma-derived antibodies.

The Recombinant HIF1A antibody is particularly valuable in oncology, where hypoxia is a hallmark of solid tumors and contributes to angiogenesis, metastasis, and resistance to therapy. It is also widely applied in cardiovascular and pulmonary research, as HIF-1α regulates adaptive responses to ischemia and hypoxic stress. Synonym terms such as recombinant HIF-1 alpha antibody, recombinant HIF1a antibody, and recombinant hypoxia-inducible factor 1 antibody improve accessibility for researchers across different fields.

By delivering validated and reproducible detection, the Recombinant HIF1A antibody supports accurate investigation of hypoxia signaling in both basic and translational research. NSJ Bioreagents ensures strict quality control, giving scientists confidence in western blotting, immunofluorescence, and immunohistochemistry. With specificity for HIF-1a, this antibody is indispensable for studying oxygen sensing, transcriptional regulation, and disease progression.

Application Notes

The stated application concentrations are suggested starting points. Titration of the recombinant HIF1A antibody may be required due to differences in protocols and secondary/substrate sensitivity.

1. A pH6 Citrate buffer or pH9 Tris/EDTA buffer HIER step is recommended for testing of FFPE tissue sections.

Immunogen

A peptide corresponding to Hypoxia-inducible factor 1-alpha was used as the immunogen for this recombinant HIF1A antibody.

Storage

Store the recombinant HIF1A antibody at -20oC (with glycerol) or aliquot and store at -20oC (without glycerol).

Cross
Bulk Quote Request Form
Name*:
Organization*:
Email*:
Phone Number*:
Catalog No.*:
Comments and Specifics(amount, formulation, etc.)*:
Validation code: Captchapackage Image


Can't read the image? click here to refresh.
    *required field

Your bulk quote request has been submitted successfully!

Please contact us if you have any questions.