• Tel: 858.663.9055
  • SeparatorEmail: info@nsjbio.com
  • Tel: 858.663.9055
  • Email: info@nsjbio.com
Home >> Antibodies >> Recombinant GSTM3 Antibody / Glutathione S-Transferase Mu3

Recombinant GSTM3 Antibody / Glutathione S-Transferase Mu3 [clone rGSTM3/8878] (V4659)

  Catalog No Formulation Size Price (USD)  
Image V4659-100UG 0.2 mg/ml in 1X PBS with 0.1 mg/ml BSA (US sourced), 0.05% sodium azide 100 ug 559
Image
V4659-20UG 0.2 mg/ml in 1X PBS with 0.1 mg/ml BSA (US sourced), 0.05% sodium azide 20 ug 259
Image
V4659SAF-100UG 1 mg/ml in 1X PBS; BSA free, sodium azide free 100 ug 559
Microvalidated Recmousemono
Bulk quote request
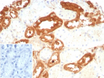
IHC staining of FFPE human kidney tissue with recombinant GSTM3 antibody (clone rGSTM3/8878). Inset: PBS used in place of primary Ab (secondary Ab negative control). HIER: boil tissue sections in pH 9 10mM Tris with 1mM EDTA for 20 min and allow to cool before testing.
SDS-PAGE analysis of purified, BSA-free recombinant GSTM3 antibody (clone rGSTM3/8878) as confirmation of integrity and purity.
Western blot testing of human T-47D cell lysate with recombinant GSTM3 antibody (clone rGSTM3/8878).
Availability 1-3 business days
Species Reactivity Human
Format Purified
Host Mouse
Clonality Recombinant Mouse Monoclonal
Isotype Mouse IgG2b, kappa
Clone Name rGSTM3/8878
Purity Protein A/G affinity
UniProt P21266
Localization Cytoplasm
Applications Immunohistochemistry (FFPE) : 1-2ug/ml for 30 min at RT
Western Blot : 2-4ug/ml
Limitations This recombinant GSTM3 antibody is available for research use only.
Review this product on BioCompare and get a $20 Amazon gift card

Related Products

Description

Members of the glutathione S-transferase (GST) family of proteins function in the detoxification of xenobiotics to protect cells against toxicant-induced damage. There are eight families of GST proteins, each of which are composed of proteins that have a variety of functions throughout the cell. The GSTM proteins (GSTM1-GSTM5 in human and GSTM1-GSTM7 in mouse) are members of the mu class of enzymes that conjugate with glutathione and function in the detoxification of carcinogens, environmental toxins and products of oxidative stress. The genes encoding the mu class of enzymes are organized in a gene cluster on chromosome 1p13.3 and are known to be highly polymorphic. These genetic variations can change an individual's susceptibility to carcinogens and toxins as well as affect the toxicity and efficacy of certain drugs. Null mutations of this class mu gene have been linked with an increase in a number of cancers, likely due to an increased susceptibility to environmental toxins and carcinogens. Multiple protein isoforms are encoded by transcript variants of this gene. GSTM3 protein is selectively expressed in the testis and brain. GSTM3 may also be tumor suppressive in RCC, as low expression has been demonstrated to correlate with RCC risk and poor prognosis in post-op patients.

Application Notes

Optimal dilution of the recombinant GSTM3 antibody should be determined by the researcher.

Immunogen

Recombinant full-length human GSTM3 protein was used as the immunogen for the recombinant GSTM3 antibody.

Storage

Aliquot the recombinant GSTM3 antibody and store frozen at -20oC or colder. Avoid repeated freeze-thaw cycles.

Cross
Bulk Quote Request Form
Name*:
Organization*:
Email*:
Phone Number*:
Catalog No.*:
Comments and Specifics(amount, formulation, etc.)*:
Validation code: Captchapackage Image


Can't read the image? click here to refresh.
    *required field

Your bulk quote request has been submitted successfully!

Please contact us if you have any questions.