• Tel: 858.663.9055
  • SeparatorEmail: info@nsjbio.com
  • Tel: 858.663.9055
  • Email: info@nsjbio.com
Home >> Antibodies >> Gastric Mucin Antibody / Mucin 5AC / MUC5AC

Gastric Mucin Antibody / Mucin 5AC / MUC5AC [clone MUC5AC/7067R] (V9681)

  Catalog No Formulation Size Price (USD)  
Image V9681-100UG 0.2 mg/ml in 1X PBS with 0.1 mg/ml BSA (US sourced), 0.05% sodium azide 100 ug 559
Image
V9681-20UG 0.2 mg/ml in 1X PBS with 0.1 mg/ml BSA (US sourced), 0.05% sodium azide 20 ug 259
Image
V9681SAF-100UG 1 mg/ml in 1X PBS; BSA free, sodium azide free 100 ug 559
Microvalidated Recrabbitmono
Bulk quote request
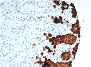
Immunohistochemistry analysis of Gastric Mucin / MUC5AC antibody (clone MUC5AC/7067R) in human stomach tissue. FFPE human stomach section shows strong cytoplasmic brown chromogenic staining in gastric foveolar epithelial cells along the mucosal surface, consistent with MUC5AC expression, while underlying stromal cells exhibit minimal staining and nuclei appear blue. The antibody was used at 2 ug/ml. Heat-induced epitope retrieval was performed by boiling tissue sections in pH 9 10 mM Tris with 1 mM EDTA for 20 minutes followed by cooling prior to staining.
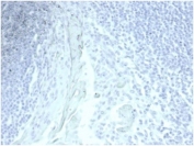
Immunohistochemistry analysis of Gastric Mucin / MUC5AC antibody (clone MUC5AC/7067R) in human tonsil tissue. FFPE human tonsil section shows no specific brown chromogenic staining in lymphoid cells, with only blue nuclear counterstain visible, consistent with negative expression of MUC5AC in this tissue. The antibody was used at 2 ug/ml in PBS for 30 minutes at room temperature. Heat-induced epitope retrieval was performed by boiling tissue sections in pH 9 10 mM Tris with 1 mM EDTA for 20 minutes followed by cooling prior to staining.
SDS-PAGE analysis of purified, BSA-free recombinant Gastric Mucin antibody (clone MUC5AC/7067R) as confirmation of integrity and purity.
Availability 1-3 business days
Species Reactivity Human
Format Purified
Host Rabbit
Clonality Recombinant Rabbit Monoclonal
Isotype Rabbit IgG
Clone Name MUC5AC/7067R
Purity Protein A/G affinity
UniProt P98088
Localization Cytoplasm
Applications Immunohistochemistry (FFPE) : 1-2ug/ml
Limitations This recombinant Gastric Mucin antibody is available for research use only.
Review this product on BioCompare and get a $20 Amazon gift card

Related Products

Description

Gastric Mucin antibody targets Mucin 5AC, a secreted gel-forming mucin encoded by the human MUC5AC gene and a principal component of the gastric mucus barrier. Mucin 5AC, also widely referred to as MUC5AC in the literature, is highly expressed in gastric foveolar epithelial cells and mucus-secreting cells of the respiratory tract. Because of its predominant localization in the stomach, the term Gastric mucin antibody is frequently used in pathology and research settings to describe antibodies detecting MUC5AC expression in gastric epithelium and mucinous tumors.

MUC5AC is synthesized as a large, heavily O-glycosylated secreted glycoprotein that polymerizes to form the viscoelastic mucus layer protecting the gastric mucosa from acid and enzymatic injury. In normal stomach tissue, Mucin 5AC is localized to the apical cytoplasm and secretory granules of surface epithelial cells. Alterations in MUC5AC expression have been observed in chronic gastritis, intestinal metaplasia, and gastric carcinoma. Gastric Mucin antibody is therefore valuable for evaluating gastric epithelial differentiation and mucin phenotype changes in gastrointestinal pathology.

Beyond the stomach, aberrant Mucin 5AC expression has been reported in pancreatic, ovarian, lung, and colorectal carcinomas, particularly those with mucinous differentiation. Increased MUC5AC production is also associated with airway inflammatory diseases such as asthma and chronic obstructive pulmonary disease, reflecting its role in mucus hypersecretion and epithelial defense mechanisms.

Structurally, Mucin 5AC contains large tandem repeat domains enriched in serine and threonine residues that support extensive glycosylation, along with cysteine-rich domains that mediate mucin polymerization and gel formation. A Gastric Mucin antibody such as clone MUC5AC/7067R is suitable for detecting MUC5AC expression in gastric epithelium, respiratory mucosa, and mucinous tumors in research applications.

Application Notes

Optimal dilution of the recombinant Gastric Mucin antibody should be determined by the researcher.

Immunogen

Recombinant full-length human protein was used as the immunogen for the recombinant Gastric Mucin antibody.

Storage

Aliquot the recombinant Gastric Mucin antibody and store frozen at -20oC or colder. Avoid repeated freeze-thaw cycles.

Cross
Bulk Quote Request Form
Name*:
Organization*:
Email*:
Phone Number*:
Catalog No.*:
Comments and Specifics(amount, formulation, etc.)*:
Validation code: Captchapackage Image


Can't read the image? click here to refresh.
    *required field

Your bulk quote request has been submitted successfully!

Please contact us if you have any questions.