• Tel: 858.663.9055
  • SeparatorEmail: info@nsjbio.com
  • Tel: 858.663.9055
  • Email: info@nsjbio.com
Home >> Antibodies >> Recombinant Galectin 1 Antibody

Recombinant Galectin 1 Antibody [clone GAL1/2499R] (V7302)

  Catalog No Formulation Size Price (USD)  
Image V7302-100UG 0.2 mg/ml in 1X PBS with 0.1 mg/ml BSA (US sourced) and 0.05% sodium azide 100 ug 559
Image
V7302-20UG 0.2 mg/ml in 1X PBS with 0.1 mg/ml BSA (US sourced) and 0.05% sodium azide 20 ug 259
Image
V7302SAF-100UG 1 mg/ml in 1X PBS; BSA free, sodium azide free 100 ug 559
Image
V7302IHC-7ML Prediluted in 1X PBS with 0.1 mg/ml BSA (US sourced) and 0.05% sodium azide; *For IHC use only* 7 ml 559
Microvalidated Recrabbitmono
Bulk quote request
Western blot testing of human HeLa cell lysate with recombinant Galectin 1 antibody (clone GAL1/2499R). Expected molecular weight ~14 kDa.
Western blot testing of human 1) JEG-3 and 2) K562 cell lysate with recombinant Galectin 1 antibody (clone GAL1/2499R). Expected molecular weight ~14 kDa.
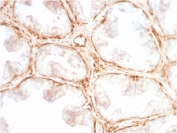
IHC testing of FFPE human prostate carcinoma with recombinant Galectin 1 antibody (clone GAL1/2499R). Required HIER: boil tissue sections in 10mM citrate buffer, pH 6, for 10-20 min and allowed to cool before testing.
Analysis of HuProt(TM) microarray containing more than 19,000 full-length human proteins using recombinant Galectin 1 antibody (clone GAL1/2499R). These results demonstrate the foremost specificity of the GAL1/2499R mAb. Z- and S- score: The Z-score represents the strength of a signal that an antibody (in combination with a fluorescently-tagged anti-IgG secondary Ab) produces when binding to a particular protein on the HuProt(TM) array. Z-scores are described in units of standard deviations (SD's) above the mean value of all signals generated on that array. If the targets on the HuProt(TM) are arranged in descending order of the Z-score, the S-score is the difference (also in units of SD's) between the Z-scores. The S-score therefore represents the relative target specificity of an Ab to its intended target.
SDS-PAGE analysis of purified, BSA-free recombinant Galectin 1 antibody (clone GAL1/2499R) as confirmation of integrity and purity.
Availability 1-3 business days
Species Reactivity Human
Format Purified
Host Rabbit
Clonality Recombinant Rabbit Monoclonal
Isotype Rabbit IgG, kappa
Clone Name GAL1/2499R
Purity Protein G affinity chromatography
UniProt P09382
Localization Cytoplasmic, secreted
Applications ELISA : 2-4ug/ml (order BSA/azide-free format)
Immunohistochemistry (FFPE) : 0.5-1ug/ml for 30 min at RT
Western Blot : 1-2ug/ml
Limitations This recombinant Galectin 1 antibody is available for research use only.
Review this product on BioCompare and get a $20 Amazon gift card

Related Products

Description

Recombinant Galectin 1 antibody detects galectin-1, a member of the galectin family of beta-galactoside-binding proteins encoded by the LGALS1 gene. Galectin-1 is widely expressed and regulates diverse cellular processes including apoptosis, immune modulation, angiogenesis, and extracellular matrix remodeling. Because of its dual role in normal physiology and disease, Recombinant Galectin 1 antibody is a versatile reagent in immunology, cancer biology, and developmental research.

Galectin-1 is a homodimeric protein of approximately 14 kDa per subunit. Each monomer contains a carbohydrate recognition domain that binds beta-galactosides on glycoproteins and glycolipids. Through these interactions, galectin-1 crosslinks receptors and organizes glycoprotein lattices, influencing signaling, adhesion, and migration. It also binds extracellular matrix components such as laminin and fibronectin, linking it to tissue remodeling.

The Recombinant Galectin 1 antibody clone GAL1/2499R provides consistent and specific detection. Recombinant production ensures batch-to-batch reproducibility, which is critical for long-term studies. Clone GAL1/2499R has been cited in peer-reviewed publications exploring immune tolerance, tumor progression, and neuronal survival. Its performance in immunohistochemistry, Western blotting, and flow cytometry makes it broadly useful across experimental systems.

Research using clone GAL1/2499R has highlighted galectin-1 as a potent immunoregulatory molecule. It induces apoptosis of activated T cells, promotes regulatory T-cell expansion, and suppresses inflammatory responses. In oncology, galectin-1 expression correlates with tumor angiogenesis, immune evasion, and metastasis. Blocking galectin-1 signaling is being studied as a therapeutic strategy to enhance anti-tumor immunity. Beyond pathology, galectin-1 supports neural development and regeneration, where its trophic effects help maintain neuron survival and plasticity.

NSJ Bioreagents provides this Recombinant Galectin 1 antibody to support research in immunology, oncology, and neuroscience. Alternate terms include LGALS1 antibody, beta-galactoside-binding protein antibody, galaptin antibody, HBL-6 antibody, and lectin galactoside-binding soluble 1 antibody.

Application Notes

Titering of the recombinant Galectin 1 antibody may be required for optimal performance.

1. The prediluted format is supplied in a dropper bottle and is optimized for use in IHC. After epitope retrieval step (if required), drip mAb solution onto the tissue section and incubate at RT for 30 min.

Immunogen

A human recombinant partial protein corresponding to amino acids 12-108 was used as the immunogen for the recombinant Galectin 1 antibody.

Storage

Store the recombinant Galectin 1 antibody at 2-8oC (with azide) or aliquot and store at -20oC or colder (without azide).

Cross
Bulk Quote Request Form
Name*:
Organization*:
Email*:
Phone Number*:
Catalog No.*:
Comments and Specifics(amount, formulation, etc.)*:
Validation code: Captchapackage Image


Can't read the image? click here to refresh.
    *required field

Your bulk quote request has been submitted successfully!

Please contact us if you have any questions.