• Tel: 858.663.9055
  • SeparatorEmail: info@nsjbio.com
  • Tel: 858.663.9055
  • Email: info@nsjbio.com
Home >> Antibodies >> Fatty Acid Binding Protein 5 Antibody / FABP5

Fatty Acid Binding Protein 5 Antibody / FABP5 [clone FABP5/6353R] (V9496)

  Catalog No Formulation Size Price (USD)  
Image V9496-100UG 0.2 mg/ml in 1X PBS with 0.1 mg/ml BSA (US sourced), 0.05% sodium azide 100 ug 559
Image
V9496-20UG 0.2 mg/ml in 1X PBS with 0.1 mg/ml BSA (US sourced), 0.05% sodium azide 20 ug 259
Image
V9496SAF-100UG 1 mg/ml in 1X PBS; BSA free, sodium azide free 100 ug 559
Microvalidated Recrabbitmono
Bulk quote request
Fatty Acid Binding Protein 5 Antibody Multi-Species Brain and Skin WB. Western blot analysis of human brain, mouse brain, rat brain, hamster brain, guinea pig brain, rabbit brain, human skin, mouse skin, rat skin, hamster skin, guinea pig skin, and rabbit skin tissue lysates using Fatty acid-binding protein 5 antibody clone FABP5/6353R. A band is detected at approximately 15 kDa across brain and skin samples from multiple mammalian species, consistent with the predicted molecular weight of Fatty acid-binding protein 5 / FABP5. The conserved expression pattern aligns with the established role of FABP5 in epidermal lipid transport, keratinocyte fatty acid metabolism, and neural lipid signaling pathways.
Fatty Acid Binding Protein 5 Antibody Cell and Tissue WB. Western blot analysis of human brain, human skin, HeLa, and Raji lysates using Fatty acid-binding protein 5 antibody clone FABP5/6353R. A clear band is detected at approximately 15 kDa across all tested samples, consistent with the predicted molecular weight of Fatty acid-binding protein 5 / FABP5. The observed expression pattern is consistent with the known role of FABP5 in epidermal lipid transport, fatty acid metabolism, and cellular lipid signaling within epithelial and proliferative cell populations.
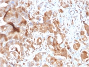
IHC staining of FFPE human liver cancer metastasized to colon tissue with recombinant Fatty Acid Binding Protein 5 antibody (clone FABP5/6353R). HIER: boil tissue sections in pH 9 10mM Tris with 1mM EDTA for 20 min and allow to cool before testing.
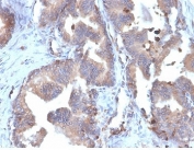
IHC staining of FFPE human prostate carcinoma tissue with recombinant Fatty Acid Binding Protein 5 antibody (clone FABP5/6353R). HIER: boil tissue sections in pH 9 10mM Tris with 1mM EDTA for 20 min and allow to cool before testing.
Availability 1-3 business days
Species Reactivity Human, Mouse, Rat, Hamster, Rabbit, Guinea pig
Format Purified
Host Rabbit
Clonality Recombinant Rabbit Monoclonal
Isotype Rabbit IgG
Clone Name FABP5/6353R
Purity Protein A/G affinity
UniProt Q01469
Localization Nuclear, Cytoplasmic
Applications Western Blot : 1-2ug/ml (Human/Mouse/Rat/Hamster/Rabbit/Guinea pig)
Immunohistochemistry (FFPE) : 1-2ug/ml (Human)
Limitations This Fatty Acid Binding Protein 5 antibody is available for research use only.
Review this product on BioCompare and get a $20 Amazon gift card

Related Products

  • Applications : WB, IHC-P
    Reactivity : Human, Rat, Hamster, Guinea pig, Rabbit
    Recmousemono
  • Applications : IHC-P, WB
    Reactivity : Human
    Microvalidated
  • Applications : WB, IHC-P
    Reactivity : Human
  • Applications : WB, IHC-P
    Reactivity : Human
  • Applications : WB, IHC-P
    Reactivity : Mouse, Rat
  • Applications : WB, IF
    Reactivity : Human, Mouse, Rat

Description

Fatty Acid Binding Protein 5 Antibody specifically detects FABP5, an intracellular carrier for long-chain fatty acids and related active lipids, such as endocannabinoids that regulate the metabolism and actions of the ligands they bind. It also selectively delivers specific fatty acids from the cytosol to the nucleus, wherein they activate nuclear receptors.

Explore our central FABP5 antibody page for additional western blot, immunohistochemistry, and microarray specificity validation data supporting studies of lipid transport, epidermal biology, and metabolic signaling pathways.

Application Notes

Optimal dilution of the Fatty Acid Binding Protein 5 antibody should be determined by the researcher.

Immunogen

Recombinant human full-length protein was used as the immunogen for the recombinant Fatty Acid Binding Protein 5 antibody.

Storage

Aliquot the Fatty Acid Binding Protein 5 antibody and store frozen at -20oC or colder. Avoid repeated freeze-thaw cycles.

Cross
Bulk Quote Request Form
Name*:
Organization*:
Email*:
Phone Number*:
Catalog No.*:
Comments and Specifics(amount, formulation, etc.)*:
Validation code: Captchapackage Image


Can't read the image? click here to refresh.
    *required field

Your bulk quote request has been submitted successfully!

Please contact us if you have any questions.