• Tel: 858.663.9055
  • SeparatorEmail: info@nsjbio.com
  • Tel: 858.663.9055
  • Email: info@nsjbio.com
Home >> Antibodies >> Estrogen Inducible Protein pS2 Antibody C-Terminus / TFF1 C-Terminal Antibody

Estrogen Inducible Protein pS2 Antibody C-Terminus / TFF1 C-Terminal Antibody [clone TFF1/8817R] (V4407)

  Catalog No Formulation Size Price (USD)  
Image V4407-100UG 0.2 mg/ml in 1X PBS with 0.1 mg/ml BSA (US sourced), 0.05% sodium azide 100 ug 559
Image
V4407-20UG 0.2 mg/ml in 1X PBS with 0.1 mg/ml BSA (US sourced), 0.05% sodium azide 20 ug 259
Image
V4407SAF-100UG 1 mg/ml in 1X PBS; BSA free, sodium azide free 100 ug 559
Microvalidated Recrabbitmono
Bulk quote request
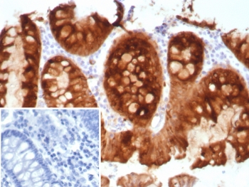
Estrogen Inducible Protein pS2 Antibody C-Terminus. Immunohistochemistry analysis of Trefoil factor 1 (TFF1) in formalin-fixed, paraffin-embedded human colon tissue using Estrogen Inducible Protein pS2 Antibody C-Terminus clone TFF1/8817R. Glandular epithelial cells display HRP-DAB brown cytoplasmic staining consistent with expression of the estrogen regulated secretory peptide TFF1 (pS2). Hematoxylin counterstain highlights nuclei (blue). Antigen retrieval was performed by boiling tissue sections in pH 9 10mM Tris with 1mM EDTA for 20 min followed by cooling prior to immunohistochemistry staining.
Estrogen Inducible Protein pS2 Antibody C-Terminus. Immunohistochemistry analysis of Trefoil factor 1 (TFF1) in formalin-fixed, paraffin-embedded human colon tissue using Estrogen Inducible Protein pS2 Antibody C-Terminus clone TFF1/8817R. Glandular epithelial cells demonstrate HRP-DAB brown cytoplasmic staining consistent with expression of the estrogen regulated secretory peptide TFF1 (pS2). Hematoxylin counterstain highlights nuclei (blue). Antigen retrieval was performed by boiling tissue sections in pH 9 10mM Tris with 1mM EDTA for 20 min followed by cooling prior to immunohistochemistry staining. Inset: PBS was used in place of the primary antibody as a secondary antibody negative control.
SDS-PAGE analysis of purified, BSA-free recombinant Estrogen Inducible Protein pS2 antibody (clone TFF1/8817R) as confirmation of integrity and purity.
Availability 1-3 business days
Species Reactivity Human
Format Purified
Host Rabbit
Clonality Recombinant Rabbit Monoclonal
Isotype Rabbit IgG, kappa
Clone Name TFF1/8817R
Purity Protein A/G affinity
UniProt P04155
Localization Cytoplasm
Applications Immunohistochemistry (FFPE) : 1-2ug/ml for 30 minutes at RT
Limitations This recombinant Estrogen Inducible Protein pS2 antibody is available for research use only.
Review this product on BioCompare and get a $20 Amazon gift card

Related Products

Description

Trefoil factor 1 (TFF1) is a small secreted epithelial peptide encoded by the TFF1 gene and a member of the trefoil factor family involved in mucosal protection and epithelial repair within the gastrointestinal tract. The protein is strongly expressed in mucus-secreting epithelial cells of the stomach, particularly within gastric foveolar epithelium where it contributes to stabilization of the mucin layer that protects the gastric mucosa. Estrogen Inducible Protein pS2 Antibody C-Terminus / TFF1 C-Terminal Antibody recognizes Trefoil factor 1 protein and is designed to detect the C-terminal region of this secreted peptide. TFF1 antibody, also referred to as Trefoil factor 1 antibody or pS2 antibody in the literature, targets a protein widely used as a marker of gastric epithelial differentiation and hormone-responsive epithelial tumors.

The C-terminal portion of Trefoil factor 1 forms part of the conserved trefoil domain that characterizes members of the trefoil peptide family. This structural domain contains conserved cysteine residues that stabilize the peptide through disulfide bond formation, creating a compact and protease-resistant structure that functions effectively in the harsh environment of the gastrointestinal lumen. Antibodies directed against the TFF1 C-terminus therefore recognize the region of the protein associated with the characteristic trefoil structural motif and secretory peptide stability.

TFF1 was originally identified in breast carcinoma cells as the estrogen inducible secretory peptide pS2. Expression of this protein is closely associated with estrogen receptor signaling pathways and is frequently observed in hormone-responsive breast cancer cells. Detection of pS2 expression has therefore been widely used in studies investigating estrogen-regulated gene expression and epithelial tumor biology. In breast cancer cell models such as MCF7, TFF1 expression reflects the regulatory influence of estrogen signaling on secretory protein production within tumor epithelial cells.

In addition to its role in breast cancer biology, Trefoil factor 1 plays an important physiological role in the gastrointestinal tract. The protein is secreted by gastric epithelial cells into the mucin layer where it interacts with mucins and other extracellular components to support the stability of the gastric mucosal barrier. Trefoil family peptides are known to participate in epithelial restitution processes that promote rapid repair of damaged mucosal surfaces following injury or inflammation.

Estrogen Inducible Protein pS2 Antibody C-Terminus / TFF1 C-Terminal Antibody supports research examining Trefoil factor 1 expression and structure. Detection of the C-terminal region of TFF1 allows investigators to study this trefoil peptide in epithelial tissues, gastric mucosal biology, and hormone-responsive tumor models where pS2 expression reflects estrogen-regulated signaling pathways.

Application Notes

Optimal dilution of the Estrogen Inducible Protein pS2 Antibody C-Terminus should be determined by the researcher.

Immunogen

A recombinant partial protein sequence (within amino acids 1-84) from the human protein was used as the immunogen for the recombinant Estrogen Inducible Protein pS2 antibody. Its epitope is located in the c-terminus of human pS2 protein.

Storage

Aliquot the recombinant Estrogen Inducible Protein pS2 antibody and store frozen at -20oC or colder. Avoid repeated freeze-thaw cycles.

Alternate Names

Trefoil factor 1, TFF1, pS2, Breast cancer associated protein pS2, Trefoil factor family peptide 1

Cross
Bulk Quote Request Form
Name*:
Organization*:
Email*:
Phone Number*:
Catalog No.*:
Comments and Specifics(amount, formulation, etc.)*:
Validation code: Captchapackage Image


Can't read the image? click here to refresh.
    *required field

Your bulk quote request has been submitted successfully!

Please contact us if you have any questions.