• Tel: 858.663.9055
  • SeparatorEmail: info@nsjbio.com
  • Tel: 858.663.9055
  • Email: info@nsjbio.com
Home >> Antibodies >> Recombinant EpCAM Antibody / Extracellular domain

Recombinant EpCAM Antibody / Extracellular domain [clone EGP40/2041R] (V3559)

  Catalog No Formulation Size Price (USD)  
Image V3559-100UG 0.2 mg/ml in 1X PBS with 0.1 mg/ml BSA (US sourced) and 0.05% sodium azide 100 ug 559
Image
V3559-20UG 0.2 mg/ml in 1X PBS with 0.1 mg/ml BSA (US sourced) and 0.05% sodium azide 20 ug 259
Image
V3559SAF-100UG 1 mg/ml in 1X PBS; BSA free, sodium azide free 100 ug 559
Image
V3559IHC-7ML Prediluted in 1X PBS with 0.1 mg/ml BSA (US sourced) and 0.05% sodium azide; *For IHC use only* 7 ml 559
Microvalidated Recrabbitmono
Bulk quote request
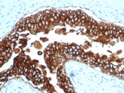
IHC testing of FFPE human thyroid carcinoma and recombinant EpCAM antibody (clone EGP40/2041R). Required HIER: boil tissue sections in pH 9 10mM Tris with 1mM EDTA for 10-20 min followed by cooling at RT for 20 min.
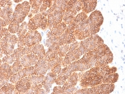
IHC testing of FFPE human basal cell carcinoma and recombinant EpCAM antibody (clone EGP40/2041R). Required HIER: boil tissue sections in pH 9 10mM Tris with 1mM EDTA for 10-20 min followed by cooling at RT for 20 min.
Western blot testing of human MCF7 cell lysate with recombinant EpCAM antibody (clone EGP40/2041R). Expected molecular weight: ~35 kDa (unmodified), 40-43 kDa (glycosylated).
Western blot testing of human lung lysate with EpCAM antibody (clone EGP40/2041R). Expected molecular weight: ~35 kDa (unmodified), 40-43 kDa (glycosylated).
SDS-PAGE analysis of purified, BSA-free recombinant EpCAM antibody (clone EGP40/2041R) as confirmation of integrity and purity.
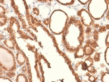
IHC testing of FFPE dog bladder and recombinant EpCAM antibody (clone EGP40/2041R). HIER: steam sections in pH9 EDTA for 10-20 min.
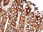
IHC testing of FFPE cat small intestine and recombinant EpCAM antibody (clone EGP40/2041R). HIER: steam sections in pH9 EDTA for 10-20 min.
Availability 1-3 business days
Species Reactivity Human, Dog, Cat
Format Purified
Host Rabbit
Clonality Recombinant Rabbit Monoclonal
Isotype Rabbit IgG, kappa
Clone Name EGP40/2041R
Purity Protein A affinity chromatography
UniProt P16422
Localization Cell surface, cytoplasmic
Applications Western Blot : 1-2ug/ml
Immunohistochemistry (FFPE) : 1-2ug/ml for 30 min at RT
Limitations This recombinant EpCAM antibody is available for research use only.
Review this product on BioCompare and get a $20 Amazon gift card

Related Products

  • Applications : IHC-P
    Reactivity : Human, Mouse, Rat, Dog, Cat
    Microvalidated
  • Applications : FACS, IF, IHC-P
    Reactivity : Human
    Citation  Citations(21)
  • Applications : FACS
    Reactivity : Human. Does not react with rat. Other species not known.
    Citation  Citations(9)
  • Applications : FACS, IF, IHC-P
    Reactivity : Human
    Citation  Citations(9)
  • Applications : WB
    Reactivity : Human
  • Applications : FACS
    Reactivity : Human
    Citation  Citations(9)
  • Applications : FACS, IF, WB, IHC-P
    Reactivity : Human
  • Applications : IHC-P
    Reactivity : Human
    Citation  Citations(1)
  • Applications : WB, IHC-P
    Reactivity : Human
    Citation  Citations(6)
  • Applications : FACS, IF, WB, IHC-P
    Reactivity : Human
  • Applications : FACS, IF, WB, IHC-P
    Reactivity : Human
  • Applications : WB, ELISA
    Reactivity : Human
  • Applications : FACS, WB, ELISA
    Reactivity : Human
  • Applications : WB, ELISA
    Reactivity : Human
    Pred. Reactivity : Bovine, Pig
  • Applications : FACS, WB, ELISA
    Reactivity : Mouse, Human
    Pred. Reactivity : Rat
  • Applications : WB, ELISA
    Reactivity : Mouse
    Pred. Reactivity : Rat
  • Applications : WB, ELISA
    Reactivity : Human, Mouse, Rat

Description

EpCAM is frequently upregulated in carcinomas but is not expressed in cancers of non-epithelial origin. EpCAM expression is not limited to human colon carcinomas; in fact, EpCAM is expressed in a variety of human epithelial tissues, carcinomas, and progenitor and stem cells. [Wiki]

Application Notes

Titering of the recombinant EpCAM antibody may be required for optimal performance.

1. The prediluted format is supplied in a dropper bottle and is optimized for use in IHC. After epitope retrieval step (if required), drip mAb solution onto the tissue section and incubate at RT for 30 min.

Immunogen

A portion of amino acids 100-224 (extracellular domain) was used as the immunogen for the recombinant EpCAM antibody.

Storage

Store the recombinant EpCAM antibody at 2-8oC (with azide) or aliquot and store at -20oC or colder (without azide).

Cross
Bulk Quote Request Form
Name*:
Organization*:
Email*:
Phone Number*:
Catalog No.*:
Comments and Specifics(amount, formulation, etc.)*:
Validation code: Captchapackage Image


Can't read the image? click here to refresh.
    *required field

Your bulk quote request has been submitted successfully!

Please contact us if you have any questions.