• Tel: 858.663.9055
  • SeparatorEmail: info@nsjbio.com
  • Tel: 858.663.9055
  • Email: info@nsjbio.com
Home >> Antibodies >> EGFR Antibody L858R Mutant Specific / Lung Cancer Mutation Marker

EGFR Antibody L858R Mutant Specific / Lung Cancer Mutation Marker [clone GFR/4564R] (V8746)

  Catalog No Formulation Size Price (USD)  
Image V8746-100UG 0.2 mg/ml in 1X PBS with 0.1 mg/ml BSA (US sourced) and 0.05% sodium azide 100 ug 559
Image
V8746-20UG 0.2 mg/ml in 1X PBS with 0.1 mg/ml BSA (US sourced) and 0.05% sodium azide 20 ug 259
Image
V8746SAF-100UG 1 mg/ml in 1X PBS; BSA free, sodium azide free 100 ug 559
Microvalidated Recrabbitmono
Bulk quote request
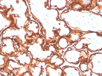
EGFR L858R Antibody Placenta IHC. Immunohistochemistry analysis of FFPE human placenta tissue stained with EGFR L858R mutation-specific antibody detecting mutant EGFR, clone GFR/4564R. Trophoblastic epithelial cells show membranous staining outlining cell borders. As normal placenta is not expected to harbor the L858R mutation, this signal should be interpreted cautiously and may reflect non-specific or low-level cross-reactivity. Hematoxylin counterstain highlights nuclei in blue. HIER: boil tissue sections in pH 9 10 mM Tris with 1 mM EDTA for 20 min and allow to cool before testing.
EGFR L858R Antibody Placental Trophoblast IHC. Immunohistochemistry analysis of FFPE human placenta tissue stained with EGFR L858R mutation-specific antibody detecting mutant EGFR, clone GFR/4564R. Trophoblastic epithelial cells show membranous staining outlining cell borders with focal cytoplasmic signal. As normal placenta is not expected to harbor the L858R mutation, this staining should be interpreted cautiously and may reflect non-specific or low-level cross-reactivity. Hematoxylin counterstain highlights nuclei in blue. HIER: boil tissue sections in pH 9 10 mM Tris with 1 mM EDTA for 20 min and allow to cool before testing.
Availability 1-3 business days
Species Reactivity Human
Format Purified
Host Rabbit
Clonality Recombinant Rabbit Monoclonal
Isotype Rabbit IgG
Clone Name GFR/4564R
Purity Protein A affinity chromatography
UniProt P00533
Localization Cytomembrane
Applications Immunohistochemistry (FFPE) : 1-2ug/ml for 30 minutes at RT
Limitations This EGFR Antibody L858R Mutant Specific / Lung Cancer Mutation Marker is available for research use only.
Review this product on BioCompare and get a $20 Amazon gift card

Related Products

Description

EGFR L858R is a clinically significant activating mutation of the epidermal growth factor receptor (EGFR), most commonly identified in non-small cell lung carcinoma. This mutation results in substitution of leucine to arginine at position 858 within the kinase domain, leading to increased receptor activity and constitutive downstream signaling. EGFR Antibody L858R Mutant Specific, clone GFR/4564R, is designed to selectively detect this mutant form of EGFR, enabling distinction between wild-type and mutation-driven receptor expression.

EGFR functions as a transmembrane receptor tyrosine kinase that is activated through ligand binding, dimerization, and autophosphorylation. In the L858R mutant, the kinase domain adopts a constitutively active conformation, resulting in sustained signaling through pathways such as RAS-RAF-MEK-ERK, PI3K-AKT, and STAT cascades. This persistent activation promotes cell proliferation, survival, and tumor progression independent of ligand stimulation.

The L858R mutation is one of the most common EGFR alterations in lung adenocarcinoma and is strongly associated with sensitivity to tyrosine kinase inhibitors. Detection of this mutation is therefore critical in both research and clinical contexts, where it serves as a biomarker for targeted therapy selection and treatment response monitoring. Mutation-specific antibodies provide a valuable tool for identifying tumor cells harboring this alteration within tissue sections.

Unlike total EGFR antibodies, which detect both wild-type and mutant receptor, L858R-specific antibodies enable precise identification of mutation-driven signaling. This is particularly important in heterogeneous tumor samples, where only a subset of cells may carry the mutation. Immunohistochemical detection of EGFR L858R can reveal spatial distribution of mutant cells and support studies of tumor evolution and microenvironment interactions.

The mutant receptor retains membrane localization but may also exhibit altered trafficking and signaling dynamics compared to wild-type EGFR. Detection of EGFR L858R provides insight into oncogenic signaling states and helps distinguish biologically active tumor populations. These features support the use of an EGFR L858R Antibody in studies of cancer biology, targeted therapy mechanisms, and mutation-specific signaling pathways.

For total EGFR expression and extensively published antibody validation, see our EGFR Antibody (31G7) page.

Application Notes

Optimal dilution of the EGFR Antibody L858R Mutant Specific / Lung Cancer Mutation Marker should be determined by the researcher.

Immunogen

A portion of amino acids 800-900 of EGF receptor (mutated L858R) was used as the immunogen for the recombinant EGFR antibody.

Storage

Store the EGFR antibody at 2-8oC (with azide) or aliquot and store at -20oC or colder (without azide).

Alternate Names

EGFR L858R antibody, EGFR mutant antibody, EGFR mutation specific antibody, EGFR L858R mutation antibody, ERBB1 L858R antibody, clone GFR/4564R antibody

Cross
Bulk Quote Request Form
Name*:
Organization*:
Email*:
Phone Number*:
Catalog No.*:
Comments and Specifics(amount, formulation, etc.)*:
Validation code: Captchapackage Image


Can't read the image? click here to refresh.
    *required field

Your bulk quote request has been submitted successfully!

Please contact us if you have any questions.