• Tel: 858.663.9055
  • SeparatorEmail: info@nsjbio.com
  • Tel: 858.663.9055
  • Email: info@nsjbio.com
Home >> Antibodies >> Desmocollin-2/3 Antibody - Desmosomal Adhesion and Epithelial Integrity Marker

Desmocollin-2/3 Antibody - Desmosomal Adhesion and Epithelial Integrity Marker [clone DSC2/9165R] (V5579)

  Catalog No Formulation Size Price (USD)  
Image V5579-100UG 0.2 mg/ml in 1X PBS with 0.1 mg/ml BSA (US sourced), 0.05% sodium azide 100 ug 559
Image
V5579-20UG 0.2 mg/ml in 1X PBS with 0.1 mg/ml BSA (US sourced), 0.05% sodium azide 20 ug 259
Image
V5579SAF-100UG 1 mg/ml in 1X PBS; BSA free, sodium azide free 100 ug 559
Microvalidated Recrabbitmono
Bulk quote request
Desmocollin-2/3 Antibody Intestine and Stomach WB. Western blot analysis of human intestine and human stomach lysates using a recombinant monoclonal Desmocollin-2/3 antibody detecting DSC2 and DSC3, clone DSC2/9165R. A band is detected at approximately 95-110 kDa in both samples, consistent with the expected molecular weight of desmocollin proteins. This size range reflects glycosylation and processing typical of these desmosomal cadherins, which are key components of epithelial cell-cell adhesion complexes that maintain tissue integrity in gastrointestinal epithelium.
SDS-PAGE analysis of purified, BSA-free recombinant Desmocollin-2/3 antibody (clone DSC2/9165R) as confirmation of integrity and purity.
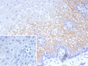
Desmocollin-2/3 Antibody Esophagus IHC. Immunohistochemistry analysis of FFPE human esophagus tissue stained with a recombinant monoclonal Desmocollin-2/3 antibody detecting DSC2 and DSC3, clone DSC2/9165R. Strong membranous staining is observed in stratified squamous epithelial cells, highlighting desmosomal junctions that mediate robust cell-cell adhesion and preserve epithelial structural integrity. Signal is most prominent along cell borders within basal and suprabasal layers, consistent with the role of desmocollins as core adhesion molecules in stratified epithelia, while surrounding stromal regions remain largely negative. The inset shows a PBS-only negative control processed without primary antibody, confirming minimal non-specific background staining. Hematoxylin counterstain highlights nuclei in blue. HIER: boil tissue sections in pH 9 10 mM Tris with 1 mM EDTA for 20 min and allow to cool before testing.
Availability 1-3 business days
Species Reactivity Human
Format Purified
Host Rabbit
Clonality Recombinant Rabbit Monoclonal
Isotype Rabbit IgG
Clone Name DSC2/9165R
Purity Protein A/G affinity
UniProt Q02487
Localization Cell Surface
Applications Immunohistochemistry (FFPE) : 1-2ug/ml
Western Blot : 2-4ug/ml
Limitations This Desmocollin-2/3 Antibody - Desmosomal Adhesion and Epithelial Integrity Marker is available for research use only.
Review this product on BioCompare and get a $20 Amazon gift card

Related Products

Description

Desmocollin-2 (DSC2) and Desmocollin-3 (DSC3) are members of the cadherin superfamily and function as calcium-dependent cell adhesion molecules that are integral components of desmosomes. These specialized intercellular junctions provide strong mechanical adhesion between epithelial cells and are essential for maintaining tissue architecture in organs exposed to mechanical stress. Desmocollin-2/3 Antibody, clone DSC2/9165R, is a recombinant rabbit monoclonal antibody that recognizes these closely related desmosomal proteins in epithelial tissues.

Desmocollins work in concert with desmogleins, plakoglobin, plakophilins, and desmoplakin to form the desmosomal complex, which links the extracellular environment to intracellular intermediate filaments. This structural organization enables tissues such as skin, esophagus, and gastrointestinal epithelium to resist shear forces while preserving cohesive integrity. DSC2 is broadly expressed across many epithelial cell types, while DSC3 shows more restricted expression, often enriched in stratified squamous epithelia. A Desmocollin-2/3 Antibody therefore provides a useful tool for examining desmosomal structure and epithelial differentiation states.

In addition to structural roles, desmocollins contribute to signaling pathways that regulate cell proliferation, differentiation, and apoptosis. Alterations in DSC2 and DSC3 expression have been reported in various cancers, where disruption of desmosomal adhesion can facilitate tumor progression, invasion, and changes in epithelial organization. Loss or redistribution of desmosomal proteins is commonly associated with epithelial-to-mesenchymal transition and altered cell-cell adhesion dynamics. These features make Desmocollin-2/3 Antibody relevant for studying tumor biology, epithelial integrity, and changes in tissue architecture.

Desmocollin proteins are synthesized as precursor molecules that undergo proteolytic processing and glycosylation, contributing to the range of observed molecular weights in biochemical assays. They are localized primarily to the plasma membrane at sites of cell-cell contact, where they form adhesive interfaces between neighboring cells. Their extracellular cadherin domains mediate homophilic and heterophilic interactions, while intracellular domains connect to cytoskeletal networks. This dual structural and regulatory function supports the use of a Desmocollin-2/3 Antibody in investigations of epithelial junction biology and desmosome-associated signaling.

Because DSC2 and DSC3 are widely expressed in epithelial tissues and play central roles in maintaining cohesive tissue structure, detection of these proteins is valuable for analyzing epithelial organization, differentiation, and disease-associated alterations in cell adhesion. This antibody is part of a broader antibody panel offered by NSJ Bioreagents.

Application Notes

Optimal dilution of the Desmocollin-2/3 Antibody - Desmosomal Adhesion and Epithelial Integrity Marker should be determined by the researcher.

Immunogen

Recombinant full-length human DSC2 protein was used as the immunogen for the recombinant Desmocollin-2/3 antibody.

Storage

Aliquot the recombinant Desmocollin-2/3 antibody and store frozen at -20oC or colder. Avoid repeated freeze-thaw cycles.

Cross
Bulk Quote Request Form
Name*:
Organization*:
Email*:
Phone Number*:
Catalog No.*:
Comments and Specifics(amount, formulation, etc.)*:
Validation code: Captchapackage Image


Can't read the image? click here to refresh.
    *required field

Your bulk quote request has been submitted successfully!

Please contact us if you have any questions.