• Tel: 858.663.9055
  • SeparatorEmail: info@nsjbio.com
  • Tel: 858.663.9055
  • Email: info@nsjbio.com
Home >> Antibodies >> Recombinant Delta 1 Catenin Antibody / CTNND1 / p120 Catenin

Recombinant Delta 1 Catenin Antibody / CTNND1 / p120 Catenin [clone CTNND1/4383R] (V9163)

  Catalog No Formulation Size Price (USD)  
Image V9163-100UG 0.2 mg/ml in 1X PBS with 0.1 mg/ml BSA (US sourced), 0.05% sodium azide 100 ug 559
Image
V9163-20UG 0.2 mg/ml in 1X PBS with 0.1 mg/ml BSA (US sourced), 0.05% sodium azide 20 ug 259
Image
V9163SAF-100UG 1 mg/ml in 1X PBS; BSA free, sodium azide free 100 ug 559
Microvalidated Recrabbitmono
Bulk quote request
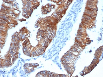
IHC staining of FFPE human colon tissue with recombinant Delta 1 Catenin antibody (clone CTNND1/4383R) at 2ug/ml in PBS for 30min RT. HIER: boil tissue sections in pH 9 10mM Tris with 1mM EDTA for 20 min and allow to cool before testing.
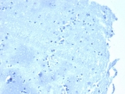
Negative tissue control. IHC analysis of formalin-fixed, paraffin-embedded human brain stained with CTNND1/4383R at 2ug/ml in PBS for 30min RT. HIER: boil tissue sections in pH 9 10mM Tris with 1mM EDTA for 20 min and allow to cool before testing.
SDS-PAGE analysis of purified, BSA-free recombinant Delta 1 Catenin antibody (CTNND1/4383R) as confirmation of integrity and purity.
Availability 1-3 business days
Species Reactivity Human
Format Purified
Host Rabbit
Clonality Recombinant Rabbit Monoclonal
Isotype Rabbit IgG
Clone Name CTNND1/4383R
Purity Protein A/G affinity
UniProt O60716
Localization Cell Surface, Cytoplasm
Applications Immunohistochemistry (FFPE) : 2-4ug/ml
Limitations This recombinant Delta 1 Catenin antibody is available for research use only.
Review this product on BioCompare and get a $20 Amazon gift card

Related Products

Description

Alpha-catenin and beta-catenin bind to the intracellular domain of E-cadherin while p120 catenin (delta-1-catenin) binds E-cadherin at a juxta-membrane site. The complex stabilizes tight junctions. In the cell, delta-1-catenin localized to the E-cadherin/catenins cell adhesion complex, directly associates with cytoplasmic C-terminus of E-cadherin and may similarly interact with other cadherins.

Application Notes

Optimal dilution of the recombinant Delta 1 Catenin antibody should be determined by the researcher.

Immunogen

A portion of amino acids 900-1,000 was used as the immunogen for the recombinant Delta 1 Catenin antibody.

Storage

Aliquot the recombinant Delta 1 Catenin antibody and store frozen at -20oC or colder. Avoid repeated freeze-thaw cycles.

Cross
Bulk Quote Request Form
Name*:
Organization*:
Email*:
Phone Number*:
Catalog No.*:
Comments and Specifics(amount, formulation, etc.)*:
Validation code: Captchapackage Image


Can't read the image? click here to refresh.
    *required field

Your bulk quote request has been submitted successfully!

Please contact us if you have any questions.