• Tel: 858.663.9055
  • SeparatorEmail: info@nsjbio.com
  • Tel: 858.663.9055
  • Email: info@nsjbio.com
Home >> Antibodies >> Recombinant Cytochrome C Antibody

Recombinant Cytochrome C Antibody [clone rCYCS/1010] (V8358)

  Catalog No Formulation Size Price (USD)  
Image V8358-100UG 0.2 mg/ml in 1X PBS with 0.1 mg/ml BSA (US sourced) and 0.05% sodium azide 100 ug 559
Image
V8358-20UG 0.2 mg/ml in 1X PBS with 0.1 mg/ml BSA (US sourced) and 0.05% sodium azide 20 ug 259
Image
V8358SAF-100UG 1 mg/ml in 1X PBS; BSA free, sodium azide free 100 ug 559
Microvalidated Recmousemono
Bulk quote request
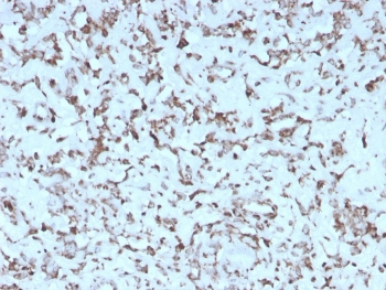
IHC staining of FFPE human liver with recombinant Cytochrome C antibody (clone rCYCS/1010). HIER: boil tissue sections in pH 9 10mM Tris with 1mM EDTA for 20 min and allow to cool before testing.
IHC staining of FFPE human liver with recombinant Cytochrome C antibody (clone rCYCS/1010). HIER: boil tissue sections in pH 9 10mM Tris with 1mM EDTA for 20 min and allow to cool before testing.
Western blot testing of human heart lysate with recombinant Cytochrome C antibody (clone rCYCS/1010). Predicted molecular weight: 12-14 kDa.
SDS-PAGE analysis of purified, BSA-free recombinant Cytochrome C antibody (clone rCYCS/1010) as confirmation of integrity and purity.
Availability 1-3 business days
Species Reactivity Human, Mouse, Rat
Format Purified
Host Mouse
Clonality Recombinant Mouse Monoclonal
Isotype Mouse IgG1, kappa
Clone Name rCYCS/1010
Purity Protein G affinity chromatography
UniProt P99999
Localization Cytoplasmic
Applications Immunohistochemistry (FFPE) : 1-2ug/ml
Western Blot : 1-2ug/ml
Limitations This recombinant Cytochrome C antibody is available for research use only.
Review this product on BioCompare and get a $20 Amazon gift card

Related Products

Description

In mammalian cells, the highly conserved cytochrome C protein is normally localized to the mitochondrial inter-membrane space. More recent studies have identified cytosolic cytochrome c as a factor necessary for activation of apoptosis. During apoptosis, cytochrome c is trans-located from the mitochondrial membrane to the cytosol, where it is required for activation of caspase-3 (CPP32). Overexpression of Bcl-2 has been shown to prevent the translocation of cytochrome c, thereby blocking the apoptotic process. Overexpression of Bax has been shown to induce the release of cytochrome c and to induce cell death. The release of cytochrome c from the mitochondria is thought to trigger an apoptotic cascade, whereby Apaf-1 binds to Apaf-3 (caspase-9) in a cytochrome c-dependent manner, leading to caspase-9 cleavage of caspase-3. This MAb recognizes total cytochrome C which includes both apocytochrome (i.e. cytochrome in the cytosol without heme attached) and holocytochrome (i.e. cytochrome in the mitochondria with heme attached).

Application Notes

Optimal dilution of the recombinant Cytochrome C antibody should be determined by the researcher.

Immunogen

A human partial protein corresponding to amino acids 81-104 of pigeon Cytochrome C was used as the immunogen for this recombinant Cytochrome C antibody. The epitope has been localized to amino acids 93-104.

Storage

Store the recombinant Cytochrome C antibody at 2-8oC (with azide) or aliquot and store at -20oC or colder (without azide).

Cross
Bulk Quote Request Form
Name*:
Organization*:
Email*:
Phone Number*:
Catalog No.*:
Comments and Specifics(amount, formulation, etc.)*:
Validation code: Captchapackage Image


Can't read the image? click here to refresh.
    *required field

Your bulk quote request has been submitted successfully!

Please contact us if you have any questions.