• Tel: 858.663.9055
  • SeparatorEmail: info@nsjbio.com
  • Tel: 858.663.9055
  • Email: info@nsjbio.com
Home >> Antibodies >> Cystatin A Antibody / CSTA

Cystatin A Antibody / CSTA [clone CSTA/9087R] (V5393)

  Catalog No Formulation Size Price (USD)  
Image V5393-100UG 0.2 mg/ml in 1X PBS with 0.1 mg/ml BSA (US sourced), 0.05% sodium azide 100 ug 559
Image
V5393-20UG 0.2 mg/ml in 1X PBS with 0.1 mg/ml BSA (US sourced), 0.05% sodium azide 20 ug 259
Image
V5393SAF-100UG 1 mg/ml in 1X PBS; BSA free, sodium azide free 100 ug 559
Microvalidated Recrabbitmono
Bulk quote request
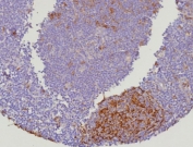
Immunohistochemistry analysis of Cystatin A in human tonsil tissue. Formalin-fixed, paraffin-embedded human tonsil tissue was stained using recombinant Cystatin A antibody (clone CSTA/9087R), showing cytoplasmic staining in epithelial and lymphoid-associated cells consistent with known Cystatin A expression patterns. Heat-induced epitope retrieval was performed by boiling tissue sections in 10 mM Tris with 1 mM EDTA, pH 9.0, for 20 minutes, followed by cooling prior to immunostaining. Inset shows PBS substituted for the primary antibody as a secondary antibody-only negative control.
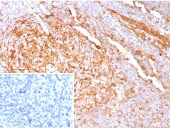
IHC staining of FFPE human lymph node tissue with recombinant Cystatin A antibody (clone CSTA/9087R). HIER: boil tissue sections in pH 9 10mM Tris with 1mM EDTA for 20 min and allow to cool before testing.
SDS-PAGE analysis of purified, BSA-free recombinant Cystatin A antibody (clone CSTA/9087R) as confirmation of integrity and purity.
Western blot testing of human A431 cell lysate with recombinant Cystatin A antibody (clone CSTA/9087R). Predicted molecular weight ~11 kDa.
Availability 1-3 business days
Species Reactivity Human
Format Purified
Host Rabbit
Clonality Recombinant Rabbit Monoclonal
Isotype Rabbit IgG
Clone Name CSTA/9087R
Purity Protein A affinity
UniProt P01040
Localization Cell Surface, Cytoplasm, Nucleus
Applications Immunohistochemistry (FFPE) : 1-2ug/ml
Western Blot : 2-4ug/ml
Limitations This recombinant Cystatin A antibody is available for research use only.
Review this product on BioCompare and get a $20 Amazon gift card

Related Products

Description

Cystatin A antibody targets Cystatin A, a cytoplasmic cysteine protease inhibitor encoded by the CSTA gene and a member of the type I cystatin family. Cystatin A is also widely known as Stefin A and functions as an endogenous inhibitor of papain-like cysteine proteases, including cathepsins B, H, and L. By regulating intracellular protease activity, Cystatin A plays an essential role in protecting epithelial cells from excessive proteolysis and maintaining tissue integrity.

Cystatin A is predominantly localized in the cytoplasm and is highly expressed in stratified squamous epithelia such as epidermis, oral mucosa, esophagus, and cervix. It is closely associated with epithelial differentiation and keratinization processes, where controlled protease inhibition is required for proper barrier formation. Cystatin A antibody detection is therefore useful for studying epithelial maturation, protease balance, and barrier-related biology.

Functionally, Cystatin A binds tightly to cysteine proteases and suppresses their enzymatic activity, thereby influencing cellular processes including apoptosis, inflammation, and cell migration. Through modulation of cathepsin activity, Cystatin A contributes to controlled protein turnover and cellular homeostasis. CSTA antibody reagents support research into protease-inhibitor networks that are critical for normal epithelial function and stress responses.

Altered expression of Cystatin A has been reported in multiple disease contexts, particularly in epithelial-derived cancers. Reduced or heterogeneous CSTA expression has been associated with increased invasiveness and poor differentiation, while strong expression is often retained in well-differentiated squamous cell carcinomas. Changes in Cystatin A levels have also been linked to inflammatory skin disorders and barrier dysfunction, highlighting its relevance in both cancer biology and dermatological research.

Clone CSTA/9087R is designed to recognize Cystatin A in research applications. Cystatin A antibody reagents are suitable for detecting protein expression and localization in epithelial tissues and tumor samples, supporting investigations into protease regulation, epithelial differentiation, and disease-associated alterations in cysteine protease inhibition.

Application Notes

1.Optimal dilution of the recombinant Cystatin A antibody should be determined by the researcher.

2. This recombinant Cystatin A antibody was recombinantly expressed in CHO cells.

Immunogen

A recombinant fragment of human CSTA protein (within amino acids 1-98) was used as the immunogen for the recombinant Cystatin A antibody.

Storage

Aliquot the recombinant Cystatin A antibody and store frozen at -20oC or colder. Avoid repeated freeze-thaw cycles.

Cross
Bulk Quote Request Form
Name*:
Organization*:
Email*:
Phone Number*:
Catalog No.*:
Comments and Specifics(amount, formulation, etc.)*:
Validation code: Captchapackage Image


Can't read the image? click here to refresh.
    *required field

Your bulk quote request has been submitted successfully!

Please contact us if you have any questions.