• Tel: 858.663.9055
  • SeparatorEmail: info@nsjbio.com
  • Tel: 858.663.9055
  • Email: info@nsjbio.com
Home >> Antibodies >> Recombinant Cyclin B1 Antibody

Recombinant Cyclin B1 Antibody [clone CCNB1/9242R] (V5485)

  Catalog No Formulation Size Price (USD)  
Image V5485-100UG 0.2 mg/ml in 1X PBS with 0.1 mg/ml BSA (US sourced), 0.05% sodium azide 100 ug 559
Image
V5485-20UG 0.2 mg/ml in 1X PBS with 0.1 mg/ml BSA (US sourced), 0.05% sodium azide 20 ug 259
Image
V5485SAF-100UG 1 mg/ml in 1X PBS; BSA free, sodium azide free 100 ug 559
Microvalidated Recrabbitmono
Bulk quote request
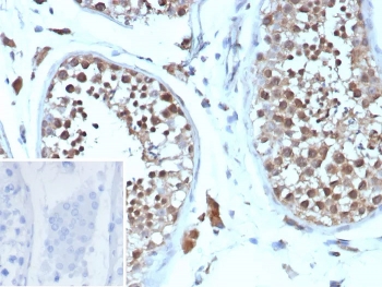
IHC staining of FFPE human testis tissue with recombinant Cyclin B1 antibody (clone CCNB1/9242R). Inset: PBS used in place of primary Ab (secondary Ab negative control). HIER: boil tissue sections in pH 9 10mM Tris with 1mM EDTA for 20 min and allow to cool before testing.
SDS-PAGE analysis of purified, BSA-free recombinant Cyclin B1 antibody (clone CCNB1/9242R) as confirmation of integrity and purity.
Availability 1-3 business days
Species Reactivity Human
Format Purified
Host Rabbit
Clonality Recombinant Rabbit Monoclonal
Isotype Rabbit IgG, kappa
Clone Name CCNB1/9242R
Purity Protein A/G affinity
UniProt P14635
Localization Nuclear, cytoplasmic
Applications Immunohistochemistry (FFPE) : 1-2ug/ml
Limitations This recombinant Cyclin B1 antibody is available for research use only.
Review this product on BioCompare and get a $20 Amazon gift card

Related Products

Description

In eukaryotic cells, mitosis is initiated following the activation of a protein kinase known variously as maturation-promoting factor, M phase specific histone kinase or M-phase kinase. This protein kinase is composed of a catalytic subunit (Cdc2), a regulatory subunit (cyclin B) and a low molecular weight subunit (p13-Suc1). The Cdc/cyclin enzyme is subject to multiple levels of control, of which the regulation of the catalytic subunit by tyrosine phosphorylation is the best understood. Tyrosine phosphorylation inhibits the Cdc2/ cyclin B enzyme, and tyrosine dephos phorylation, occurring at the onset of mitosis, directly activates the pre-MPF complex. Evidence has established that B type cyclins not only act on M phase regulatory subunits of the Cdc2 protein kinase, but also activate the Cdc25A and Cdc25B endogenous tyrosine phosphatase, of which Cdc2 is the physio logical substrate. The specificity of this effect is shown by the inability of either cyclin A or cyclin D1 to display any such stimulation of Cdc25A or Cdc25B.

Application Notes

Optimal dilution of the recombinant Cyclin B1 antibody should be determined by the researcher.

Immunogen

A His-tagged recombinant hamster CCNB1 protein was used as the immunogen for the recombinant Cyclin B1 antibody.

Storage

Aliquot the recombinant Cyclin B1 antibody and store frozen at -20oC or colder. Avoid repeated freeze-thaw cycles.

Cross
Bulk Quote Request Form
Name*:
Organization*:
Email*:
Phone Number*:
Catalog No.*:
Comments and Specifics(amount, formulation, etc.)*:
Validation code: Captchapackage Image


Can't read the image? click here to refresh.
    *required field

Your bulk quote request has been submitted successfully!

Please contact us if you have any questions.