• Tel: 858.663.9055
  • SeparatorEmail: info@nsjbio.com
  • Tel: 858.663.9055
  • Email: info@nsjbio.com
Home >> Antibodies >> Recombinant CTNND1 Antibody / p120 Catenin / Catenin delta 1

Recombinant CTNND1 Antibody / p120 Catenin / Catenin delta 1 [clone rCTNND1/6903] (V9528)

  Catalog No Formulation Size Price (USD)  
Image V9528-100UG 0.2 mg/ml in 1X PBS with 0.1 mg/ml BSA (US sourced), 0.05% sodium azide 100 ug 559
Image
V9528-20UG 0.2 mg/ml in 1X PBS with 0.1 mg/ml BSA (US sourced), 0.05% sodium azide 20 ug 259
Image
V9528SAF-100UG 1 mg/ml in 1X PBS; BSA free, sodium azide free 100 ug 559
Microvalidated Recmousemono
Bulk quote request
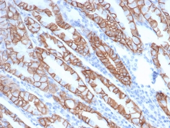
IHC staining of FFPE human stomach tissue glandular cells with recombinant CTNND1 antibody (clone rCTNND1/6903) at 2ug/ml in PBS for 30min RT. HIER: boil tissue sections in pH 9 10mM Tris with 1mM EDTA for 20 min and allow to cool before testing.
SDS-PAGE analysis of purified, BSA-free recombinant CTNND1 antibody (clone rCTNND1/6903) as confirmation of integrity and purity.
Availability 1-3 business days
Species Reactivity Human
Format Purified
Host Mouse
Clonality Recombinant Mouse Monoclonal
Isotype Mouse IgG1, kappa
Clone Name rCTNND1/6903
Purity Protein A/G affinity
UniProt O60716
Localization Cell Surface, Cytoplasm
Applications Immunohistochemistry (FFPE) : 1-2ug/ml
Limitations This recombinant CTNND1 antibody is available for research use only.
Review this product on BioCompare and get a $20 Amazon gift card

Related Products

Description

Alpha-catenin and beta-catenin bind to the intracellular domain of E-cadherin while p120 catenin binds E-cadherin at a juxta-membrane site. The complex stabilizes tight junctions. In the cell, p120 catenin localized to the E-cadherin/catenins cell adhesion complex, directly associates with cytoplasmic C-terminus of E-cadherin and may similarly interact with other cadherins. p120 is a proliferation-associated nucleolar protein found in most human malignant tumors, but not in resting normal cells. In colorectal cancer the altered localization of p120 catenin corresponds with loss of cytoplasmic localization of E-cadherin. Studies have shown accurate categorization of ductal vs. lobular neoplasia in the breast was achieved with p120 staining. p120 expression further clarifies the separation of low-grade ductal carcinoma in situ from lobular neoplasia. Studies also have shown that altered expression of p120 catenin antibody predicts poor outcome in invasive breast cancer.

Application Notes

Optimal dilution of the recombinant CTNND1 antibody should be determined by the researcher.

Immunogen

A portion of amino acids 868-968 was used as the immunogen for the recombinant CTNND1 antibody.

Storage

Aliquot the recombinant CTNND1 antibody and store frozen at -20oC or colder. Avoid repeated freeze-thaw cycles.

Cross
Bulk Quote Request Form
Name*:
Organization*:
Email*:
Phone Number*:
Catalog No.*:
Comments and Specifics(amount, formulation, etc.)*:
Validation code: Captchapackage Image


Can't read the image? click here to refresh.
    *required field

Your bulk quote request has been submitted successfully!

Please contact us if you have any questions.