• Tel: 858.663.9055
  • SeparatorEmail: info@nsjbio.com
  • Tel: 858.663.9055
  • Email: info@nsjbio.com
Home >> Antibodies >> Recombinant COX-2 Antibody

Recombinant COX-2 Antibody [clone COX2/3320R] (V8362)

  Catalog No Formulation Size Price (USD)  
Image V8362-100UG 0.2 mg/ml in 1X PBS with 0.1 mg/ml BSA (US sourced) and 0.05% sodium azide 100 ug 559
Image
V8362-20UG 0.2 mg/ml in 1X PBS with 0.1 mg/ml BSA (US sourced) and 0.05% sodium azide 20 ug 259
Image
V8362SAF-100UG 1 mg/ml in 1X PBS; BSA free, sodium azide free 100 ug 559
Microvalidated Recrabbitmono
Bulk quote request
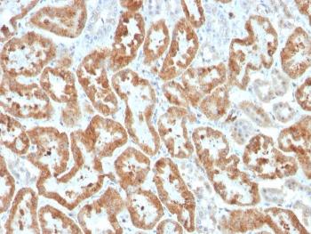
IHC staining of FFPE human kidney with recombinant COX-2 antibody (clone COX2/3320R). HIER: boil tissue sections in pH 9 10mM Tris with 1mM EDTA for 20 min and allow to cool before testing.
IHC staining of FFPE human kidney with recombinant COX-2 antibody (clone COX2/3320R). HIER: boil tissue sections in pH 9 10mM Tris with 1mM EDTA for 20 min and allow to cool before testing.
Availability 1-3 business days
Species Reactivity Human
Format Purified
Host Rabbit
Clonality Recombinant Rabbit Monoclonal
Isotype Rabbit IgG
Clone Name COX2/3320R
Purity Protein A affinity chromatography
UniProt P35354
Localization Cytoplasm, Cell surface
Applications Immunohistochemistry (FFPE) : 1-2ug/ml for 30 minutes at RT
Limitations This recombinant COX-2 antibody is available for research use only.
Review this product on BioCompare and get a $20 Amazon gift card

Related Products

Description

Prostaglandins are a diverse group of autocrine and paracrine hormones that mediate many cellular and physiologic processes. Prostaglandin H2 (PGH2) is an intermediate molecule in formation of the prostaglandins. Cyclooxygenase-1 (Cox-1) and cyclooxygenase-2 (Cox-2) are prostaglandin synthases that catalyze the formation of PGH2 from arachidonic acid (AA). Cox-1 and Cox-2 are isozymes of prostaglandin-endoperoxidase synthase (PTGS). Cox-1 is constitutively expressed in most tissues and is thought to serve in general housekeeping functions. Cox-2 is efficiently induced in migratory cells responding to pro-inflammatory stimuli and is considered to be an important mediator of inflammation. Both enzymes are targets for the nonsteroidal therapeutic anti-inflammatory drugs, NSAIDs. COX2 expression is significantly increased in 85-90% of human colorectal adenocarcinomas whereas levels of COX-1 are not changed.

Application Notes

Optimal dilution of the recombinant COX-2 antibody should be determined by the researcher.

Immunogen

A portion of amino acids 504-604 from the human protein was used as the immunogen for the recombinant COX-2 antibody.

Storage

Store the recombinant COX-2 antibody at 2-8oC (with azide) or aliquot and store at -20oC or colder (without azide).

Cross
Bulk Quote Request Form
Name*:
Organization*:
Email*:
Phone Number*:
Catalog No.*:
Comments and Specifics(amount, formulation, etc.)*:
Validation code: Captchapackage Image


Can't read the image? click here to refresh.
    *required field

Your bulk quote request has been submitted successfully!

Please contact us if you have any questions.