- Tel: 858.663.9055
- 
									 Email: info@nsjbio.com Email: info@nsjbio.com
- Tel: 858.663.9055
- Email: info@nsjbio.com
 Email: info@nsjbio.com
Email: info@nsjbio.com
								Related Products
| 
 | 
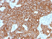
Recombinant CK8/18 antibody detects Cytokeratin 8/18, a heteropolymeric complex formed by Cytokeratin 8 (KRT8) and Cytokeratin 18 (KRT18). These are type II and type I intermediate filament proteins, respectively, that assemble into filaments providing structural integrity to simple epithelial cells. The UniProt recommended names are Keratin, type II cytoskeletal 8 (KRT8) and Keratin, type I cytoskeletal 18 (KRT18). Together, they constitute one of the most abundant cytoskeletal filament pairs in glandular and epithelial tissues.
Functionally, Cytokeratin 8/18 antibody identifies an epithelial marker complex crucial for maintaining cell shape, mechanical resilience, and cytoplasmic organization. CK8/18 filaments interact with desmosomal and hemidesmosomal components, linking the cytoskeleton to cell junctions and the extracellular matrix. They are also involved in apoptotic signaling, cell stress response, and epithelial polarity. Their dynamic phosphorylation regulates filament assembly and disassembly during mitosis and tissue remodeling.
The KRT8 gene is located on chromosome 12q13.13 and the KRT18 gene on 12q13.12. Both are expressed in simple epithelial tissues, including liver, pancreas, kidney, and gastrointestinal epithelium. CK8/18 serves as a hallmark marker for simple epithelial differentiation, distinguishing carcinomas from non-epithelial tumors in diagnostic pathology. These proteins are also detected in circulating tumor cells, where their presence indicates epithelial origin and metastatic potential.
Pathologically, Cytokeratin 8/18 accumulation or degradation reflects epithelial cell stress and apoptosis. In hepatocytes, CK18 fragments generated during caspase activation serve as serum biomarkers for cell death and liver injury. Aberrant expression patterns of CK8/18 are observed in carcinomas, liver fibrosis, and inflammatory disorders. Research using CK8/18 antibody supports applications in epithelial biology, cancer diagnostics, and cell differentiation studies.
This recombinant CK8/18 antibody is produced using recombinant technology to ensure high specificity and batch-to-batch consistency. It is validated for immunohistochemistry, western blotting, and immunofluorescence for detecting Cytokeratin 8/18 in tissue sections and cultured epithelial cells. NSJ Bioreagents provides high-quality recombinant CK8/18 antibody reagents optimized for pathology and research applications involving epithelial cell markers.
Structurally, Cytokeratin 8 and Cytokeratin 18 form obligate heteropolymers, each comprising a central alpha-helical rod domain flanked by non-helical head and tail regions. These regions mediate filament elongation and crosslinking, creating a robust intermediate filament network. This antibody facilitates identification and quantification of CK8/18 filaments, contributing to studies of cytoskeletal integrity, epithelial differentiation, and disease progression.
Optimal dilution of the recombinant CK8/18 antibody should be determined by the researcher.
Recombinant full-length human CK8 and CK18 proteins were used as the immunogen for the recombinant CK8/18 antibody.
Aliquot the recombinant CK8/18 antibody and store frozen at -20oC or colder. Avoid repeated freeze-thaw cycles.
 
Your bulk quote request has been submitted successfully!
Please contact us if you have any questions.