• Tel: 858.663.9055
  • SeparatorEmail: info@nsjbio.com
  • Tel: 858.663.9055
  • Email: info@nsjbio.com
Home >> Antibodies >> Recombinant CK8 Antibody

Recombinant CK8 Antibody [clone RM266] (R20283)

  Catalog No Formulation Size Price (USD)  
Image R20283-0.1ML Antibody in PBS with 50% glycerol, 1% BSA and 0.09% sodium azide 100 ul 439
Microvalidated Recrabbitmono
Bulk quote request
Western blot testing of human HeLa cell lysate with recombinant CK8 antibody at 1:1000. Predicted molecular weight ~56 kDa.
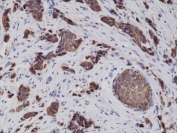
IHC testing of FFPE human breast cancer tissue with recombinant CK8 antibody at 1:2000.
Availability 1-3 business days
Species Reactivity Human
Format Purified
Host Rabbit
Clonality Recombinant Rabbit Monoclonal
Isotype Rabbit IgG
Clone Name RM266
Purity Protein A purified from animal origin-free supernatant
UniProt P05787
Gene ID 3856
Applications Immunohistochemistry (FFPE) : 1:1000-1:2000 (1)
Western Blot : 1:1000-1:2000
Limitations This recombinant CK8 antibody is available for research use only.
Review this product on BioCompare and get a $20 Amazon gift card

Related Products

Description

This recombinant CK8 antibody reacts to human CK8/Cytokeratin-8.

Application Notes

The stated application concentrations are suggested starting points. Titration of the recombinant CK8 antibody may be required due to differences in protocols and secondary/substrate sensitivity.

1. A pH6 Citrate buffer or pH9 Tris/EDTA buffer HIER step is recommended for testing of FFPE tissue sections.

Immunogen

A peptide corresponding to the C-terminus of human Cytokeratin 8 was used as the immunogen for this recombinant CK8 antibody.

Storage

Store the recombinant CK8 antibody at -20oC (with glycerol) or aliquot and store at -20oC (without glycerol).

Cross
Bulk Quote Request Form
Name*:
Organization*:
Email*:
Phone Number*:
Catalog No.*:
Comments and Specifics(amount, formulation, etc.)*:
Validation code: Captchapackage Image


Can't read the image? click here to refresh.
    *required field

Your bulk quote request has been submitted successfully!

Please contact us if you have any questions.