• Tel: 858.663.9055
  • SeparatorEmail: info@nsjbio.com
  • Tel: 858.663.9055
  • Email: info@nsjbio.com
Home >> Antibodies >> Recombinant CEA Antibody / CEACAM5

Recombinant CEA Antibody / CEACAM5 [clone C66/1983R] (V3598)

  Catalog No Formulation Size Price (USD)  
Image V3598-100UG 0.2 mg/ml in 1X PBS with 0.1 mg/ml BSA (US sourced) and 0.05% sodium azide 100 ug 559
Image
V3598-20UG 0.2 mg/ml in 1X PBS with 0.1 mg/ml BSA (US sourced) and 0.05% sodium azide 20 ug 259
Image
V3598SAF-100UG 1 mg/ml in 1X PBS; BSA free, sodium azide free 100 ug 559
Image
V3598IHC-7ML Prediluted in 1X PBS with 0.1 mg/ml BSA (US sourced) and 0.05% sodium azide; *For IHC use only* 7 ml 559
Microvalidated Recrabbitmono
Bulk quote request
CEA Antibody Human Colon Carcinoma Tissue IHC. Immunohistochemistry analysis of CEA / CEACAM5 expression in FFPE human colon carcinoma using recombinant rabbit monoclonal antibody clone C66/1983R. This CEA antibody demonstrates strong apical membranous and luminal HRP-DAB brown staining in tumor epithelial cells forming glandular structures, with additional cytoplasmic signal, while surrounding stromal components remain largely negative; nuclei are counterstained blue. The staining pattern is consistent with the known epithelial localization of carcinoembryonic antigen in colorectal carcinoma.
SDS-PAGE analysis of purified, BSA-free recombinant CEA antibody (clone C66/1983R) as confirmation of integrity and purity.
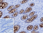
CEA Antibody Colon Carcinoma IHC. Immunohistochemistry analysis of CEA / CEACAM5 expression in FFPE human colon carcinoma using CEA antibody clone C66/1983R. Tumor epithelial cells show strong membranous and cytoplasmic HRP-DAB brown staining with glandular distribution, while surrounding stromal cells remain largely negative; nuclei are counterstained blue. Inset shows a PBS-only negative control processed without primary antibody, confirming minimal non-specific background staining.
Species Reactivity Human
Format Purified
Host Rabbit
Clonality Recombinant Rabbit Monoclonal
Isotype Rabbit IgG, kappa
Clone Name C66/1983R
Purity Protein A affinity chromatography
UniProt P06731
Localization Cytoplasmic and luminal surface
Applications Immunohistochemistry (FFPE) : 1-2ug/ml for 30 min at RT (1) (2)
Limitations This recombinant CEA antibody is available for research use only.
Review this product on BioCompare and get a $20 Amazon gift card

Related Products

Description

Carcinoembryonic antigen (CEACAM5) is a glycosylphosphatidylinositol-anchored cell surface glycoprotein belonging to the carcinoembryonic antigen-related cell adhesion molecule family within the immunoglobulin superfamily. Carcinoembryonic antigen (CEACAM5) is commonly referred to as CEA and functions in cell adhesion, epithelial organization, and intercellular signaling, particularly within mucosal tissues. CEA Antibody is widely used for detecting this well-established tumor-associated antigen in epithelial tissues and cancer models. CEACAM5 is strongly expressed in normal gastrointestinal epithelium, especially in the colon and small intestine, and is frequently overexpressed in colorectal, gastric, pancreatic, and lung adenocarcinomas, supporting its long-standing role as a marker of epithelial malignancy.

CEA antibody, also known as CEACAM5 antibody or carcinoembryonic antigen antibody, recognizes a heavily glycosylated protein that typically migrates at a higher apparent molecular weight than predicted during SDS-PAGE due to extensive post-translational modification. CEACAM5 is predominantly localized to the apical surface of epithelial cells, where it contributes to intercellular adhesion and maintenance of epithelial polarity. In tumor cells, this polarized distribution is often disrupted, leading to more diffuse membranous and cytoplasmic expression patterns that can be detected by immunohistochemistry. This shift in localization reflects underlying changes in cell adhesion and tissue architecture during tumor progression.

CEACAM5 plays a functional role in modulating cell-cell interactions and intracellular signaling pathways that influence proliferation, differentiation, and survival. It can mediate homophilic binding with other CEACAM5 molecules as well as heterophilic interactions with related CEACAM family members, contributing to the formation of adhesion complexes on the cell surface. In addition, CEACAM5 has been implicated in signaling pathways that promote tumor cell survival and resistance to apoptosis, supporting its involvement in cancer progression and metastasis. Its glycosylphosphatidylinositol anchor facilitates localization to membrane microdomains, where it may interact with signaling partners and influence downstream cellular responses.

Expression of CEACAM5 is tightly regulated during development and is typically low or absent in most adult tissues outside the gastrointestinal tract, but becomes markedly elevated in many carcinomas. This re-expression and upregulation in tumors has made CEA a widely studied biomarker for cancer detection and monitoring. In addition to its use in tissue-based assays, CEACAM5 can be shed into the bloodstream, where it serves as a circulating tumor marker in clinical settings. Its presence in both tissue and serum underscores its biological relevance and utility in cancer research.

Given its strong expression in epithelial tissues and broad relevance to tumor biology, CEACAM5 is an important target for studying epithelial differentiation, tumor progression, and cell adhesion mechanisms. A CEA antibody can be used in western blot, immunohistochemistry, or other research assays to evaluate CEACAM5 expression in normal and cancerous tissues, supporting investigations into epithelial biology, diagnostic marker development, and cancer-related signaling pathways.

This CEA antibody is part of a broader CEA antibody panel offered by NSJ Bioreagents.

Application Notes

Optimal dilution of the recombinant CEA antibody should be determined by the researcher.

1. The prediluted format is supplied in a dropper bottle and is optimized for use in IHC. After epitope retrieval step (if required), drip mAb solution onto the tissue section and incubate at RT for 30 min.

2. This MAb does not react with nonspecific cross-reacting antigen (NCA) and with human polymorphonuclear leucocytes.

Immunogen

Recombinant human protein was used as the immunogen for this recombinant CEA antibody.

Storage

Store the recombinant CEA antibody at 2-8oC (with azide) or aliquot and store at -20oC or colder (without azide).

Alternate Names

Carcinoembryonic Antigen-related Cell Adhesion Molecule 5, CEACAM5 antibody, CD66 antibody, Biliary Glycoprotein antibody, BGP1 antibody

Cross
Bulk Quote Request Form
Name*:
Organization*:
Email*:
Phone Number*:
Catalog No.*:
Comments and Specifics(amount, formulation, etc.)*:
Validation code: Captchapackage Image


Can't read the image? click here to refresh.
    *required field

Your bulk quote request has been submitted successfully!

Please contact us if you have any questions.