- Tel: 858.663.9055
- 
									 Email: info@nsjbio.com Email: info@nsjbio.com
- Tel: 858.663.9055
- Email: info@nsjbio.com
 Email: info@nsjbio.com
Email: info@nsjbio.com
								Related Products
| 
 | 
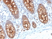
Carcinoembryonic antigen (CEA) is a glycoprotein produced in colorectal cancer tissues. In normal adult tissue, CEA is expressed in the apical border and, to a lesser extent in the cytoplasm, of the columnar cells of colon, small intestine, stomach (surface epithelium, mucous neck cells and weakly in pyloric mucous cells), pancreatic ducts, secretory epithelia of sweat glands, squamous epithelial cells of the tongue, esophagus,uterine cervix, and urothelium. The CEA antibody is a useful aid for classification of adenocarcinomas, notably in the gastrointestinal tract, including colonic and pancreatic carcinomas. IHC results also aid in the classification of secretory meningiomas and medullary carcinoma of the thyroid.
Optimal dilution of the recombinant CEA antibody should be determined by the researcher.
Recombinant full-length human CEA protein was used as the immunogen for the recombinant CEA antibody.
Store the recombinant CEA antibody at 2-8oC (with azide) or aliquot and store at -20oC or colder (without azide).
 
Your bulk quote request has been submitted successfully!
Please contact us if you have any questions.