• Tel: 858.663.9055
  • SeparatorEmail: info@nsjbio.com
  • Tel: 858.663.9055
  • Email: info@nsjbio.com
Home >> Antibodies >> CDX2 Antibody

CDX2 Antibody [clone CDX2/4394R] (V8630)

  Catalog No Formulation Size Price (USD)  
Image V8630-100UG 0.2 mg/ml in 1X PBS with 0.1 mg/ml BSA (US sourced) and 0.05% sodium azide 100 ug 559
Image
V8630-20UG 0.2 mg/ml in 1X PBS with 0.1 mg/ml BSA (US sourced) and 0.05% sodium azide 20 ug 259
Image
V8630SAF-100UG 1 mg/ml in 1X PBS; BSA free, sodium azide free 100 ug 559
Microvalidated Recrabbitmono
Bulk quote request
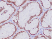
IHC analysis of CDX2 / Caudal type homeobox 2 antibody in human colon carcinoma tissue. Formalin-fixed, paraffin-embedded human colon carcinoma shows strong nuclear HRP-DAB brown chromogenic staining in malignant epithelial cells, consistent with intestinal differentiation, while surrounding stromal and inflammatory cells are largely negative. Heat-induced epitope retrieval was performed by boiling tissue sections in pH 9 10mM Tris with 1mM EDTA for 20 min followed by cooling prior to staining.
SDS-PAGE analysis of purified, BSA-free CDX2 antibody as confirmation of integrity and purity.
IHC analysis of CDX2 / Caudal type homeobox 2 antibody in human colon adenocarcinoma tissue. Formalin-fixed, paraffin-embedded human colon adenocarcinoma shows strong nuclear HRP-DAB brown chromogenic staining in tumor epithelial cells, consistent with intestinal lineage expression of CDX2, while surrounding stromal elements are negative. Clone CDX2/4394R was used at 2 ug/ml in PBS for 30 min at RT. Heat-induced epitope retrieval was performed by boiling tissue sections in 10mM Tris with 1mM EDTA, pH 9.0, for 45 min at 95oC followed by cooling at RT for 20 minutes.
Negative control: IHC analysis of CDX2 / Caudal type homeobox 2 antibody in human tonsil tissue. Formalin-fixed, paraffin-embedded human tonsil shows absence of nuclear HRP-DAB brown chromogenic staining in lymphoid cells, consistent with lack of CDX2 expression in non-intestinal tissue. This section serves as a negative tissue control using clone CDX2/4394R at 2 ug/ml in PBS for 30 min at RT. Heat-induced epitope retrieval was performed by boiling tissue sections in 10mM Tris with 1mM EDTA, pH 9.0, for 45 min at 95oC followed by cooling at RT for 20 minutes.
Availability 1-3 business days
Species Reactivity Human
Format Purified
Host Rabbit
Clonality Recombinant Rabbit Monoclonal
Isotype Rabbit IgG, kappa
Clone Name CDX2/4394R
Purity Protein A affinity chromatography
UniProt Q99626
Localization Nuclear
Applications Immunohistochemistry (FFPE) : 1-2ug/ml for 30 minutes at RT
Limitations This CDX2 antibody is available for research use only.
Review this product on BioCompare and get a $20 Amazon gift card

Related Products

Description

CDX2 antibody recognizes Caudal type homeobox 2, an intestine-specific nuclear transcription factor encoded by the human CDX2 gene. CDX2 antibody detects a key regulator of intestinal epithelial differentiation and maintenance that is localized to the nucleus and functions through sequence-specific DNA binding. CDX2 plays a central role in controlling gene expression programs required for development, identity, and homeostasis of intestinal epithelial cells.

CDX2 antibody, also referred to as Caudal-related homeobox transcription factor 2 antibody and CDX-2 antibody in the literature, targets a member of the caudal-related homeobox gene family. The CDX2 protein contains a highly conserved homeodomain responsible for DNA binding and transcriptional activation of intestine-associated genes such as sucrase-isomaltase and other epithelial differentiation markers. Through these mechanisms, CDX2 maintains intestinal phenotype and supports epithelial barrier integrity.

The CDX2 gene is located on chromosome 13q12.2 and is normally expressed in nuclei of epithelial cells lining the small and large intestine. CDX2 expression is tightly regulated during embryonic development and remains largely restricted to intestinal epithelium in adult tissues. Because of its tissue-restricted pattern, CDX2 antibody is widely used in research settings as a marker of intestinal differentiation.

Aberrant CDX2 expression has been observed in gastrointestinal malignancies and certain extraintestinal tumors with intestinal differentiation. In colorectal carcinoma, CDX2 expression is commonly retained, whereas loss of CDX2 may be associated with tumor progression and poor differentiation. CDX2 antibody is therefore frequently utilized in studies examining intestinal lineage specification and colorectal tumor biology.

CDX2 participates in regulatory networks that coordinate epithelial proliferation, differentiation, and maintenance of intestinal architecture. Its transcriptional activity integrates signals from developmental and signaling pathways that shape intestinal morphogenesis and cellular identity.

Clone CDX2/4394R is a recombinant monoclonal antibody designed to target CDX2 protein in research applications. An antibody to CDX2 is suitable for detecting nuclear CDX2 expression and for investigating intestinal differentiation, developmental biology, and gastrointestinal tumor research.

Application Notes

Optimal dilution of the CDX2 antibody should be determined by the researcher.

Immunogen

A recombinant protein fragment from the human protein was used as the immunogen for the CDX2 antibody.

Storage

Store the CDX2 antibody at 2-8oC (with azide) or aliquot and store at -20oC or colder (without azide).

Cross
Bulk Quote Request Form
Name*:
Organization*:
Email*:
Phone Number*:
Catalog No.*:
Comments and Specifics(amount, formulation, etc.)*:
Validation code: Captchapackage Image


Can't read the image? click here to refresh.
    *required field

Your bulk quote request has been submitted successfully!

Please contact us if you have any questions.