• Tel: 858.663.9055
  • SeparatorEmail: info@nsjbio.com
  • Tel: 858.663.9055
  • Email: info@nsjbio.com
Home >> Antibodies >> CDKN2A Antibody / p16INK4a

CDKN2A Antibody / p16INK4a [clone CDKN2A/7081R] (V9548)

  Catalog No Formulation Size Price (USD)  
Image V9548-100UG 0.2 mg/ml in 1X PBS with 0.1 mg/ml BSA (US sourced), 0.05% sodium azide 100 ug 559
Image
V9548-20UG 0.2 mg/ml in 1X PBS with 0.1 mg/ml BSA (US sourced), 0.05% sodium azide 20 ug 259
Image
V9548SAF-100UG 1 mg/ml in 1X PBS; BSA free, sodium azide free 100 ug 559
Microvalidated Recrabbitmono
Bulk quote request
Western blot testing of human HepG2 cell lysate using CDKN2A antibody (clone CDKN2A/7081R). Predicted molecular weight ~16 kDa.
IHC staining of FFPE human ovarian carcinoma tissue with CDKN2A antibody (clone CDKN2A/7081R). HIER: boil tissue sections in pH 9 10mM Tris with 1mM EDTA for 20 min and allow to cool before testing.
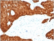
IHC staining of FFPE human ovarian carcinoma tissue with rCDKN2A antibody (clone CDKN2A/7081R). HIER: boil tissue sections in pH 9 10mM Tris with 1mM EDTA for 20 min and allow to cool before testing.
SDS-PAGE analysis of purified, BSA-free recombinant CDKN2A antibody (clone CDKN2A/7081R) as confirmation of integrity and purity.
CDKN2A Antibody HeLa WB. Western blot analysis of Cyclin-dependent kinase inhibitor 2A (p16INK4a) expression in HeLa cell lysate using CDKN2A Antibody clone CDKN2A/7081R. Lane 1: HeLa cell lysate. A band is detected at approximately 15–17 kDa, consistent with the predicted molecular weight of p16INK4a, a cyclin-dependent kinase inhibitor that regulates G1 cell cycle progression through inhibition of CDK4 and CDK6.
CDKN2A Antibody HeLa Cell Line WB. Western blot analysis of Cyclin-dependent kinase inhibitor 2A (p16INK4a) expression in HeLa cell lysate using CDKN2A Antibody clone CDKN2A/7081R. Lane 1: HeLa cell lysate. A band is detected at approximately 15–17 kDa, consistent with the predicted molecular weight of p16INK4a, a cyclin-dependent kinase inhibitor that regulates G1 cell cycle progression through inhibition of CDK4 and CDK6.
CDKN2A Antibody HEK293T Cell Line WB. Western blot analysis of Cyclin-dependent kinase inhibitor 2A (p16INK4a) expression in HEK293T cell lysate using CDKN2A Antibody clone CDKN2A/7081R. Lane 1: HEK293T cell lysate. Bands are detected at approximately 15–17 kDa, consistent with the predicted molecular weight of p16INK4a, a cyclin-dependent kinase inhibitor that regulates G1 cell cycle progression through inhibition of CDK4 and CDK6. The presence of closely migrating bands may reflect isoforms, post-translational modification, or minor proteolytic processing.
Availability 1-3 business days
Species Reactivity Human
Format Purified
Host Rabbit
Clonality Recombinant Rabbit Monoclonal
Isotype Rabbit IgG, kappa
Clone Name CDKN2A/7081R
Purity Protein A/G affinity
UniProt P42771
Localization Nucleus, Cytoplasm
Applications Western Blot : 1-2ug/ml
Immunohistochemistry (FFPE) : 1-2ug/ml
Limitations This CDKN2A antibody is available for research use only.
Review this product on BioCompare and get a $20 Amazon gift card

Related Products

Description

p16INK4a is a tumor suppressor protein. It is a specific inhibitor of cdk4/cdk6, and a tumor suppressor involved in the pathogenesis of a variety of malignancies. Recent analyses of the p16INK4a gene revealed homozygous deletions, nonsense, missense, or frameshift mutations in several human cancers. Although the frequency of p16INK4a abnormalities is higher in tumor derived cell lines than in unselected primary tumors, significant subsets of clinical cases with aberrant p16INK4a gene have been reported among melanomas, gliomas, esophageal, pancreatic, lung, and urinary bladder carcinomas, and some types of leukemia. Expression of p16INK4a (p16 positive) is highly correlated with human papilloma virus (HPV) infection in head and neck squamous cell carcinomas (HNSCC). p16 status is an important prognostic indicator in HNSCC and the p16 positive/HPV16 negative group is likely a distinct subgroup lacking any HPV genotype.

This antibody is part of a broader antibody panel offered by NSJ Bioreagents.

Application Notes

Optimal dilution of the CDKN2A antibody should be determined by the researcher.

Immunogen

Purified recombinant prokaryotic full-length human p16INK4a protein was used as the immunogen for the recombinant CDKN2A antibody.

Storage

Aliquot the CDKN2A antibody and store frozen at -20oC or colder. Avoid repeated freeze-thaw cycles.

Cross
Bulk Quote Request Form
Name*:
Organization*:
Email*:
Phone Number*:
Catalog No.*:
Comments and Specifics(amount, formulation, etc.)*:
Validation code: Captchapackage Image


Can't read the image? click here to refresh.
    *required field

Your bulk quote request has been submitted successfully!

Please contact us if you have any questions.